Logo

American Heart Association

  124
  0


Final ID: MDP1586

Aortic Stenosis in Pregnancy: A Multidisciplinary Team Approach

Abstract Body (Do not enter title and authors here): Introduction: The hemodynamic adaptations that occur during pregnancy can have significant effects on patients with aortic stenosis (AS). These changes can lead to structural changes identified on echocardiogram even during uncomplicated pregnancies. While some cases can be managed with medical therapy and activity modification, others may require valve intervention in the gestational period.
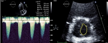
Case: A 29-year-old female with history of congenital bicuspid aortic valve, G1P0 presented at 42+2 weeks of pregnancy and was admitted to cardiac intensive care unit for continuous hemodynamic monitoring via use of arterial line. Her prior aortic valve disease was treated by valve repair with valvotomy, removal of tissue from pseudo raphe, removal of calcified scar tissue from both commissures, and a mitral valve repair for closure of an iatrogenic tear in her anterior leaflet. She followed closely with maternal fetal medicine and cardiology but became symptomatic at week 28 with lightheadedness, shortness of breath and decreased exercise tolerance (NYHA Class II). By week 33 she noticed lower extremity edema. Despite recommendations for planned delivery, she opted to wait until full term for delivery. Surveillance echoes revealed rising velocities yet stable valve area by planimetry. She ultimately underwent an uncomplicated Cesarean delivery of baby boy in week 42. At 6 months post partum she had successful transcatheter aortic valve replacement.
Discussion: As the severity of valvular disease worsens there is a higher risk of complications during pregnancy. In our case, aortic valve velocities were elevated due to the expected hemodynamic changes of pregnancy. Thus, echocardiography monitoring should be used to assess the left ventricle’s ability to tolerate and compensate for these changes, while intervening based on symptoms and NYHA classification. We highlight the importance of multidisciplinary collaboration for safe and successful delivery in patients with AS.
  • Caplan, Alex  ( Geisinger Medical Center , Danville , Pennsylvania , United States )
  • Jackson, Jordan  ( Geisinger Medical Center , Danville , Pennsylvania , United States )
  • Kalot, Mohamad  ( Geisinger Medical Center , Danville , Pennsylvania , United States )
  • Yost, Gregory  ( Geisinger Medical Center , Danville , Pennsylvania , United States )
  • Author Disclosures:
    Alex Caplan: DO NOT have relevant financial relationships | Jordan Jackson: No Answer | Mohamad kalot: DO NOT have relevant financial relationships | Gregory Yost: DO have relevant financial relationships ; Individual Stocks/Stock Options:Shockwave:Active (exists now)
Meeting Info:

Scientific Sessions 2024

2024

Chicago, Illinois

Session Info:

Sex Differences in Aortic Stenosis Progression and Treatment, and in MVP Risk

Monday, 11/18/2024 , 09:30AM - 10:55AM

Moderated Digital Poster Session

More abstracts on this topic:
Adoptive transfer of placental CD4+ T Cells from preeclamptic patients with a history of COVID-19 causes hypertension and cognitive dysfunction postpartum in a pregnant rat model of preeclampsia

Deer Evangeline, Simmons Kimberly, Herrock Owen, Campbell Nathan, Roman Richard, Zheng Baoying, Morris Rachael, Lamarca Babbette

Advanced Lipid Status Parameters in Women With Preeclampsia

Gojkovic Tamara, Saric Matutinovic Marija, Ivanisevic Jasmina, Vladimirov Sandra, Spasojevic Kalimanovska Vesna, Mikovic Zeljko, Stefanovic Aleksandra, Ardalic Daniela, Antonic Tamara, Banjac Gorica, Zeljkovic Aleksandra, Vekic Jelena, Miljkovic Trailovic Milica, Munjas Jelena, Jovicic Snezana

More abstracts from these authors:
Microbubbles In the Pericardial Space: An Unusual Echocardiographic Finding

Rajkarnikar Ruja, Harmon Rob, Yost Gregory

Management of Severe Non-Rheumatic Mitral Stenosis in Pregnancy

Caplan Alex, Nelson Favour, Henry Lucie, Lesser Henry, Carry Brendan

You have to be authorized to contact abstract author. Please, Login
Not Available