Logo

American Heart Association

  54
  0


Final ID: MP2090

Early Diagnosis of Double Heterozygous Familial Hypercholesterolemia Enables Effective Lipid-Lowering Therapy

Abstract Body (Do not enter title and authors here): Familial hypercholesterolemia is a genetic disorder characterized by markedly elevated low-density lipoprotein cholesterol (LDL-C), most commonly due to mutations in the LDLR or APOB genes. The heterozygous form (HeFH) affects approximately 1 in 250 individuals in the U.S., while the homozygous form (HoFH) is rare (1 in 250,000) and more severe. Patients may also carry a single mutation in two different genes – a disorder known as double heterozygous familial hypercholesterolemia (dhFH). The prevalence of dhFH is not well established, but it is considered less common than the true homozygous form. Available data suggest the dhFH genotype results in LDL-C elevations between those typically observed in HeFH and HoFH. More detailed data on clinical presentation, disease progression, and response to treatment remain limited.
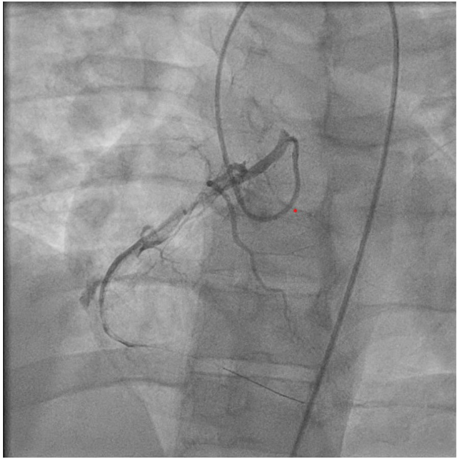
We present a 26-year-old male with dhFH due to mutations in the LDLR and APOB genes. At age 20, he presented with chest pain and was found to have an inferior myocardial infarction. His history was notable for hypercholesterolemia, managed with atorvastatin 20 mg daily, and prior tobacco use. Labs revealed an LDL-C of 214 mg/dL despite medication compliance. Left heart catheterization identified full occlusion of the right coronary artery with heavy thrombus burden and multiple aneurysms. He underwent aspiration thrombectomy and serial balloon dilations with restoration of TIMI 1 flow but persistent thrombus burden. He was discharged on therapeutic anticoagulation, ticagrelor and a week-long course of aspirin 81 mg. At follow-up, genetic counseling was pursued which revealed a dhFH genotype. Lipid-lowering treatment was intensified to a regimen of rosuvastatin 40 mg, ezetimibe 10 mg and evolocumab 140 mg SQ every 14 days, yielding a marked reduction in LDL-C to 67 mg/dL.
This case highlights dhFH as an important and often underrecognized consideration in the evaluation of hypercholesterolemia. Response to lipid-lowering therapy in familial hypercholesterolemia is thought to be influenced by residual LDL receptor pathway activity. In this patient, the presence of one unaffected allele for each mutation may explain the substantial LDL-C reduction observed with LDL-receptor targeted therapy. Early recognition of dhFH, through genetic testing, can facilitate timely intervention and reduce the risk of adverse cardiovascular events. To our knowledge, this is the second reported case of this genotype and the first documented in the U.S.
  • Tekarli, Bassel  ( University of Utah , North Salt Lake , Utah , United States )
  • Anthony, Isaac  ( University of Utah , North Salt Lake , Utah , United States )
  • Wilcox, Tanya  ( University of Utah , North Salt Lake , Utah , United States )
  • Author Disclosures:
    Bassel Tekarli: DO NOT have relevant financial relationships | Isaac Anthony: DO NOT have relevant financial relationships | Tanya Wilcox: No Answer
Meeting Info:

Scientific Sessions 2025

2025

New Orleans, Louisiana

Session Info:

Clinical Case: CAD

Monday, 11/10/2025 , 09:15AM - 10:15AM

Moderated Digital Poster Session

More abstracts on this topic:
A Multi-Population-First Approach Leveraging UK Biobank (UKBB) and All of Us (AoU) Datasets Reveals Higher Cardiomyopathy Variant Burden in Individuals with Myocarditis

Gurumoorthi Manasa, Khanji Mohammed, Munroe Patricia, Petersen Steffen, Landstrom Andrew, Chahal Anwar, Hesse Kerrick, Asatryan Babken, Shah Ravi, Sharaf Dabbagh Ghaith, Wolfe Rachel, Shyam Sundar Vijay, Mohiddin Saidi, Aung Nay

A Perfect Storm: Simultaneous Pulmonary Embolism, STEMI, and Stroke via Paradoxical Embolism in a Hospitalized Patient on DVT Prophylaxis

Khan Abdul Allam, Thukral Jatin, Elgabry Ibrahim, Lamp Garron

More abstracts from these authors:
Longitudinal LDL-C Control Among Patients With ASCVD and Elevated Baseline LDL-C: Insights From the cvMOBIUS-2 Registry

Shoji Satoshi, Jones Laney, Peterson Eric, Navar Ann Marie, Shah Nishant, Shrader Peter, Freeman Nikki, Bittner Vera, Wilcox Tanya, Amanda C Doran, Wojcik Cezary, Jin Ran

Fish-Eye Disease: A Case Report

Anthony Isaac, Tekarli Bassel, Wilcox Tanya

You have to be authorized to contact abstract author. Please, Login
Not Available