Logo

American Heart Association

  72
  0


Final ID: 4357266

Anomalous Origins: Hereditary Transthyretin Cardiac Amyloidosis Mimicking Ischemia in a Patient with Congenital Coronary Anomalies

Abstract Body (Do not enter title and authors here): Background: The management of coronary artery anomalies (CAA) remains a clinical dilemma as the prognostic implications are poorly understood. The presence of ischemia and CAA does not establish causality. We report the first documented case of hereditary transthyretin cardiac amyloidosis (ATTR-CA) in a patient with CAA, highlighting the diagnostic and therapeutic complexity of this dual pathology.
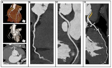
Case: A 65-year-old man with a history of carpal tunnel syndrome, hypertension, and CAA presented with exertional dyspnea. Family history included a brother with hypertrophic cardiomyopathy. Stress testing noted ischemia in the left anterior descending (LAD) and left circumflex (LCX) territories. Invasive angiography and cardiac computed tomography (CT) confirmed an anomalous LAD arising from the right coronary cusp with an interarterial course and a retroaortic LCX arising from the ostium of the right coronary artery without obstructive disease (Figure 1). Echocardiography revealed concentric LV thickening, severe diastolic dysfunction, an apical sparing strain pattern, and dynamic left ventricular outflow tract obstruction (Figure 2). Light-chain amyloidosis was excluded, and cardiac scintigraphy confirmed ATTR-CA (Figure 3). Genetic testing revealed a rare TTR variant of previously uncertain significance (p.Val113Leu), prompting cascade screening.
Discussion: The diagnosis of ATTR-CA reframed the patient’s ischemia and prompted reevaluation of the family’s cardiac history. ATTR-CA likely contributed to ischemia through microvascular dysfunction and supply-demand mismatch rather than epicardial coronary obstruction. Surgical reimplantation of CAA was deferred in favor of aggressive medical management resulting in symptomatic improvement. Subsequent testing of the patient’s sibling identified ATTR-CA with the same mutation (p.Val113Leu), supporting reclassification of the variant as likely pathogenic.
Conclusion: This case underscores the importance of an integrated anatomic and functional assessment of ischemia in patients with CAA. The presence of infiltrative disease, specifically ATTR-CA, may amplify the ischemic potential of CAA. Furthermore, the identification of ATTR-CA redefined a presumed familial diagnosis and provides compelling evidence supporting reclassification of the rare TTR genetic variant (p.Val113Leu) as likely pathogenic. This finding carries significant implications for genetic counseling and management strategies of affected families.
  • Labin, Jonathan  ( Cleveland Clinic , Cleveland , Ohio , United States )
  • Carmona Rubio, Andres  ( Cleveland Clinic , Cleveland , Ohio , United States )
  • Liu, Joseph  ( Cleveland Clinic , Cleveland , Ohio , United States )
  • Hanna, Mazen  ( Cleveland Clinic , Cleveland , Ohio , United States )
  • Menon, Venu  ( Cleveland Clinic , Cleveland , Ohio , United States )
  • Higgins, Andrew  ( Cleveland Clinic , Cleveland , Ohio , United States )
  • Author Disclosures:
    Jonathan Labin: DO NOT have relevant financial relationships | Andres Carmona Rubio: No Answer | Joseph Liu: DO NOT have relevant financial relationships | Mazen Hanna: DO have relevant financial relationships ; Advisor:Pfizer:Active (exists now) ; Advisor:Alnylam:Active (exists now) ; Advisor:ATTRALUS:Active (exists now) ; Advisor:Alexion:Active (exists now) ; Advisor:Ionis:Active (exists now) ; Advisor:Bridge Bio:Active (exists now) | Venu Menon: DO NOT have relevant financial relationships | Andrew Higgins: DO have relevant financial relationships ; Speaker:Abbott:Past (completed)
Meeting Info:

Scientific Sessions 2025

2025

New Orleans, Louisiana

Session Info:

Laennec Fellow In Training (FIT) Clinician Award Competition

Saturday, 11/08/2025 , 01:30PM - 02:45PM

Abstract Oral Session

More abstracts on this topic:
A Health Coach-Based Multi-Level Personalized Strategy Lowers LDL-Cholesterol and Enhances Lipid Control in Veterans with Atherosclerotic Cardiovascular Disease – The VA Lipid Optimization Reimagined Quality Improvement Project at VA New York Harbor Healthcare System

Chen Tina, Ingerman Diana, Haley Leah, Salovaara Priscilla, Nicholson Andrew, Illenberger Nicholas, Natarajan Sundar

CMR can discriminate need for biopsy and rejection therapy in children post heart transplant

Vegulla Ravi, Staffa Steven, Zurakowski David, Cross Russell, Olivieri Laura, Ceneri Nicolle, Richmann Devika, Mouzakis Nicholas, Hamman Karin, Kanter Joshua, Berger John, Downing Tacy, Loke Yue-hin

More abstracts from these authors:
Ten-Year Survival in AL Cardiac Amyloidosis: Does Mayo Staging still matter in the Recent era?

Mohamed Ahmed, Anwer Faiz, Hanna Mazen, Basali Diana, Zou Yan, Wang Xiaofeng, Martyn Trejeeve, Carmona Rubio Andres, Finet J. Emanuel, Mansour Ahmed, Valent Jason

The Predictive Utility of Serial Graded Cardiac Response on Survival in AL Cardiac Amyloidosis: Real-World Data from a Large Amyloidosis Center

Mohamed Ahmed, Anwer Faiz, Hanna Mazen, Basali Diana, Zou Yan, Wang Xiaofeng, Martyn Trejeeve, Carmona Rubio Andres, Finet J. Emanuel, Elbahloul Mohammed A., Valent Jason

You have to be authorized to contact abstract author. Please, Login
Not Available