Logo

American Heart Association

  71
  0


Final ID: MP1399

The Proof is in the Pillbox: An Elusive Case of Cardiomyopathy

Abstract Body (Do not enter title and authors here): A 63-year-old female with mixed connective tissue disease on long-term immunosuppression (prednisone, azathioprine, hydroxychloroquine (HCQ)) was referred to a tertiary care center for evaluation of progressive dyspnea and exertional chest discomfort. Cardiac history included transient complete heart block and ventricular tachycardia with dual-chamber AICD, and severe aortic stenosis with bicuspid aortic valve.

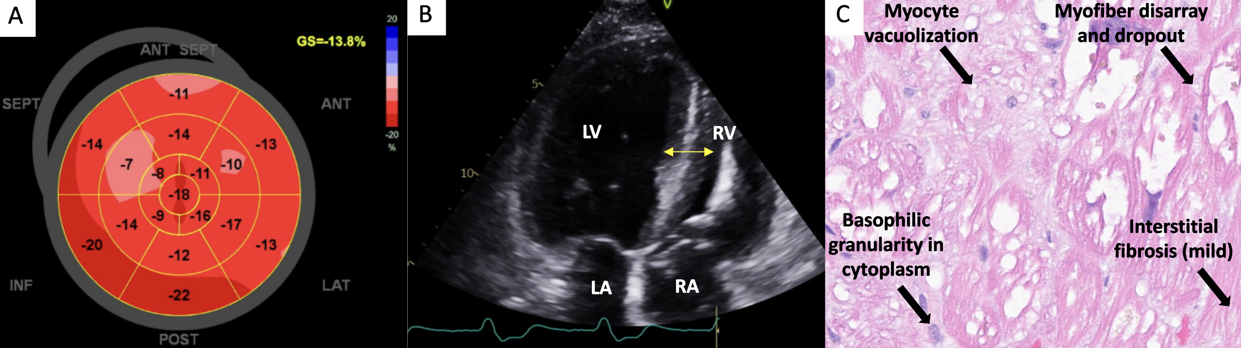
Laboratory evaluation was notable for NT pro-BNP > 5000 pg/mL and elevated but adynamic troponin (300-500 ng/L). Electrocardiogram revealed atrial pacing with first degree atrioventricular block. Echocardiogram confirmed severe aortic stenosis, elevated filling pressures, abnormal left ventricular longitudinal strain and LV hypertrophy. Cardiac MRI, sarcoid PET, and PYP SPECT/CT were without any evidence of edema, scar, inflammation or amyloid deposition. Catheterization revealed severe pulmonary hypertension and elevated filling pressures, without significant coronary disease.

Medical treatment included empagliflozin (discontinued due to urosepsis), bumetanide, spironolactone, and metoprolol succinate. Neither TAVR nor transition to biventricular pacing improved LV function. Ultimately, endomyocardial biopsy was performed, revealing histologic features of HCQ-induced cardiotoxicity, including myocyte hypertrophy and interstitial fibrosis. HCQ was discontinued. She was referred to Rheumatology for alternative treatments.

HCQ induced cardiomyopathy represents <2% of adverse events of patients treated with HCQ, presenting as hypertrophic or restrictive cardiomyopathy with conduction abnormalities. Mean treatment duration in HCQ cardiomyopathies is approximately 12.7 years. Confirmation of diagnosis requires endomyocardial biopsy, as imaging findings are often non-specific. Management involves discontinuing the offending agent and optimizing heart failure therapy. Around 45% of patients with HCQ cardiomyopathy exhibit resolution of cardiac function following medication discontinuation.

This case emphasizes the importance of a systematic approach to unexplained heart failure, particularly in patients with long-term HCQ use. Infiltrative or toxic cardiomyopathies should be considered when imaging suggests myocardial dysfunction. Multimodal imaging and biopsy are crucial for diagnosis. Early recognition is essential to prevent irreversible myocardial damage and improve long-term outcomes.
  • Hagan, Grace  ( Mayo Clinic , Rochester , Minnesota , United States )
  • Donisan, Teodora  ( Mayo Clinic , Rochester , Minnesota , United States )
  • Carey, Patricia  ( Mayo Clinic , Rochester , Minnesota , United States )
  • Kopecky, Kathleen  ( Mayo Clinic , Rochester , Minnesota , United States )
  • Aubry, Marie Christine  ( MAYO CLINIC , Rochester , Minnesota , United States )
  • Bois, John  ( Mayo Clinic , Rochester , Minnesota , United States )
  • Author Disclosures:
    grace hagan: DO NOT have relevant financial relationships | Teodora Donisan: DO NOT have relevant financial relationships | Patricia Carey: DO NOT have relevant financial relationships | Kathleen Kopecky: No Answer | Marie Christine Aubry: No Answer | John Bois: No Answer
Meeting Info:

Scientific Sessions 2025

2025

New Orleans, Louisiana

Session Info:

Clinical Case: Heart Failure and Cardiomyopathy

Sunday, 11/09/2025 , 11:50AM - 01:05PM

Moderated Digital Poster Session

More abstracts on this topic:
Blood Pressure Magnitude as a Modulator of Perivascular Adipose Tissue Fibrotic Response

Rendon C. Javier, Lefkowitz Rebecca, Garver Hannah, Lauver Adam, Fink Gregory, Krieger-burke Teresa, Watts Stephanie, Contreras Andres

A Beta Tubulin Mutation Suppresses Arrhythmias and Improves Connexin 43 Localization in Heart of Duchenne Muscular Dystrophy Mice

Zhou Delong, Liu Tong, Yehia Ghassan, Romanienko Peter, Rodney George, Wehrens Xander, Lampe Paul, Gourdie Robert, Xie Lai-hua, Fraidenraich Diego, Nouet Julie, Mesa Elam, Yegneshwaran Vasisht, Geukgeuzian Geovanni, Adibemma Ifeanyichukwu, Nandakumar Swetha, Ramirez Edwin, Li Hong

More abstracts from these authors:
You have to be authorized to contact abstract author. Please, Login
Not Available