Logo

American Heart Association

  155
  0


Final ID: MDP908

Venous Remodeling and Occlusion Accompany Arterial Pathology in Patients with Chronic Limb Threatening Ischemia

Abstract Body (Do not enter title and authors here): BACKGROUND: Chronic limb threatening ischemia (CLTI) is defined as the presence of peripheral artery disease (PAD) in combination with rest pain or tissue loss and represents advanced arterial occlusive disease. Little is known about associated venous pathology as prior pathologic reports were limited to evaluation of maximally diseased arterial lesions.

OBJECTIVES: To characterize arterial and venous histopathology in patients with CLTI.

METHODS: Tissue containing peripheral arteries and veins from the femoropopliteal to distal tibial arteries was harvested from 10 patients who underwent amputation for CLTI (Fig 1). Vessels were sectioned at 0.5 cm intervals, and histopathologic features were catalogued across 535 arterial and 493 venous sections.

RESULTS: Consistent with PAD, atherosclerotic lesions were more prevalent in proximal than distal arteries; 81.8% (27/33) femoropopliteal sections compared to 26.6% (134/502) of tibial sections. Severe stenosis (>90%) was noted in 21.9% (117) of sections and was associated with atherosclerosis (pathological intimal thickening, fibroatheroma, fibrocalcific or fibro-osseous lesions) in 10.3% (12), luminal thrombi in 68.4% (80), or both in 21.4% (25) of arterial sections.

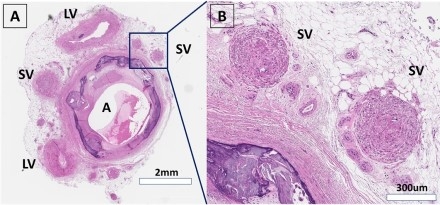
In all patients and in 99.0% (488/493) of venous sections, irrespective of the degree of arterial luminal stenosis, adjacent large (≥1000µm) and small diameter veins revealed marked thickening of the vessel wall comprised of fibrosis and smooth muscle hyperplasia (Fig 2). While large veins retained luminal patency, small veins exhibited severe luminal stenosis or obliteration. Venous thrombosis was uncommon, occurring in 3.0% (15/493) of sections.

CONCLUSIONS: Venous remodeling with stenosis and occlusion is highly prevalent and coincides with arterial disease pathology in patients with CLTI. This novel finding of previously underappreciated and severely altered venous pathology suggests a possible additional mechanism for limb ischemia in CLTI.
  • Beach, Jocelyn  ( Dartmouth-Hitchcock Medical Center , Lebanon , New Hampshire , United States )
  • Narula, Navneet  ( University of Texas Health Sciences Center , Houston , Texas , United States )
  • Aikawa, Elena  ( Brigham and Womens Hospital , Newton , Massachusetts , United States )
  • Marinho, Lucas  ( Brigham and Womens Hospital , Newton , Massachusetts , United States )
  • Turner, Mandy  ( Brigham and Womens Hospital , Newton , Massachusetts , United States )
  • Clift, Cassandra  ( Harvard Medical School , Boston , Massachusetts , United States )
  • Morrison, Alan  ( Alpert Medical School at Brown Univ , Providence , Rhode Island , United States )
  • Narula, Jagat  ( University of Texas, McGovern Medical School , Houston , Texas , United States )
  • Pradhan, Aruna  ( Brigham and Womens Hospital , Newton , Massachusetts , United States )
  • Author Disclosures:
    Jocelyn Beach: DO NOT have relevant financial relationships | Navneet Narula: DO NOT have relevant financial relationships | Elena Aikawa: DO NOT have relevant financial relationships | Lucas Marinho: DO NOT have relevant financial relationships | Mandy Turner: DO NOT have relevant financial relationships | Cassandra Clift: DO NOT have relevant financial relationships | Alan Morrison: No Answer | Jagat Narula: DO NOT have relevant financial relationships | Aruna Pradhan: DO have relevant financial relationships ; Other (please indicate in the box next to the company name):Bristol Myers Squibb:Active (exists now)
Meeting Info:

Scientific Sessions 2024

2024

Chicago, Illinois

Session Info:

Tomorrow's Solutions Today: Discovery Science in Vascular Disease

Sunday, 11/17/2024 , 11:10AM - 12:15PM

Moderated Digital Poster Session

More abstracts on this topic:
Deep Learning-based OCT-FLIm Imaging for Quantitative Assessment of Plaque Compositions

Kim Jin Hyuk, Nam Hyeong Soo, Kang Dong Oh, Kim Ryeong Hyun, Shin Seung Ho, Kim Hyun Jung, Park Ye Hee, Yoo Hongki, Kim Jin Won

Analysis of Near-Infrared Spectroscopy Vascular Occlusion Test as a Complement to Ankle-Brachial Index and 6-Minute Walk Test in Patients Diagnosed with Peripheral Artery Disease

Rodriguez Cesar, Lanka Santh Prakash, Maraj Joshua, Alsabbagh Yaman, Farres Sam, Ade Carl, Liu Xiuwen, Delp Judy

More abstracts from these authors:
You have to be authorized to contact abstract author. Please, Login
Not Available