Logo

American Heart Association

  122
  0


Final ID: Sa4018

Coronary fistula as a rare etiology of refractory angina in elderly

Abstract Body (Do not enter title and authors here): Introduction
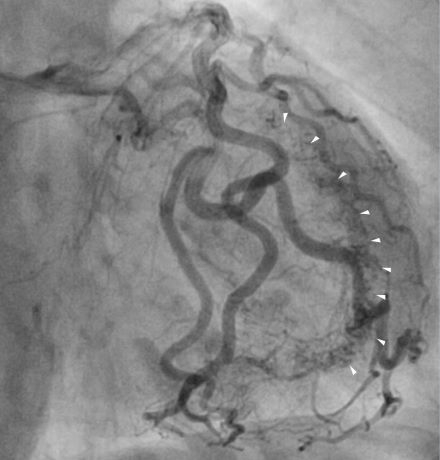
Refractory angina (RA) is a challenging and debilitating condition in the presence of myocardial ischemia regardless of a combination of antianginal drugs and revascularization procedures. Among the phenotypes of RA, there is angina in the absence of obstructive coronary disease (ANOCA). Coronary artery fistulas (CAF) are rare connections between coronary arteries and heart chambers or vessels. 3% of CAF drain into the left ventricle (LV), which can lead to the coronary steal phenomenon and angina in the form of ANOCA. We report here under a case of symptomatic chronic coronary syndrome (CCS) and CAF.
Case report
An 85-year-old woman with CCS had angina progression, reaching functional class 3 and frequent need of nitrate use, despite the use of three antianginal drugs. Stress myocardial perfusion scintigraphy showed reversible hypoperfusion in the lateral, inferolateral and inferior LV walls. A coronary angiogram was performed, revealing the absence of obstructions. However, CAF for the LV was identified around the ischemic territory. It was decided to start our Alopurinol protocol for RA. A treadmill test was done before and after the treatment to assess time to angina occurrence and ST segment change. After 3 months, there were an improvement in the threshold and intensity of angina (class 2) and reduction in nitrate need. In a new scintigraphy, normalization of perfusion was observed, and a new treadmill test showed reduction of 4.1 minutes for angina occurrence with an increase of 1.7 mets and no difference in ST change.
Discussion
CAF are rare, identified in up to 0.2% of angiograms. They can lead to heart failure (HF), myocardial ischemia and arrhythmias. Treatment is based on the clinic, the patient's age and the hemodynamic significance of the CAF. For adults, one of the indications for CAF occlusion is the presence of myocardial ischemia. However, the association between RA and CAF is rarely described in the literature. In the present report, we illustrate the case of an octogenarian with RA, ANOCA and FAC who, before considering interventional treatment, underwent medical optimization with excellent response and improvement in cardiac perfusion and exercise tolerance.
Conclusion
In the scenario of RA and ANOCA, a combination of different antianginal drugs can promote symptoms control and improvement of myocardial perfusion and exercise performance, even in the face of uncommon causes such as the one here reported.
  • Del Vecchio Ziotti, Sara  ( University of Sao Paulo , Sao Paulo , Sao Paulo , Brazil )
  • Grobe, Sarah  ( University of Sao Paulo , Sao Paulo , Sao Paulo , Brazil )
  • Pereira, Thiago  ( University of Sao Paulo , Sao Paulo , Sao Paulo , Brazil )
  • Menezes Machado De Mendonça, Caio  ( University of Sao Paulo , Sao Paulo , Sao Paulo , Brazil )
  • Dourado, Luciana  ( University of Sao Paulo , Sao Paulo , Sao Paulo , Brazil )
  • Rosal, Marcelly  ( University of Sao Paulo , Sao Paulo , Sao Paulo , Brazil )
  • Palácio De Azevedo, Renato  ( University of Sao Paulo , Sao Paulo , Sao Paulo , Brazil )
  • Cesar, Luiz  ( University of Sao Paulo , Sao Paulo , Sao Paulo , Brazil )
  • Gowdak, Luis  ( University of Sao Paulo , Sao Paulo , Sao Paulo , Brazil )
  • Author Disclosures:
    Sara Del Vecchio Ziotti: DO NOT have relevant financial relationships | sarah grobe: DO NOT have relevant financial relationships | Thiago Pereira: DO NOT have relevant financial relationships | Caio Menezes Machado de Mendonça: No Answer | Luciana Dourado: No Answer | Marcelly Rosal: DO NOT have relevant financial relationships | Renato Palácio de Azevedo: No Answer | LUIZ CESAR: DO NOT have relevant financial relationships | Luis Gowdak: No Answer
Meeting Info:

Scientific Sessions 2024

2024

Chicago, Illinois

Session Info:

Complications and Unusual Presentations in ACS

Saturday, 11/16/2024 , 10:30AM - 11:30AM

Abstract Poster Session

More abstracts on this topic:
Ambulatory QT Interval Prolongation and Reduced T-Amplitude Help Identify Veterans with Heart Disease

Shah Amit, Colon-motas Kay, De Leon Katalina, Murtala Abdulkareem, Osei Jeffery, Mourad Rama, Chang Sarah, Ko Yi-an, Zeng Zhaohua, Sheikh Shafa-at, Xu Ying, Koscova Zuzana, Kim Kain, Akoto Natalie, Santana Eric, Alexander Abigail, Suvada Kara, Roberts Tatum, Stefanos Lewam, Vaccarino Viola, Clifford Gari, Li Qiao, Sameni Reza, Bahrami Rad Ali, Karimi Sajjad, Lampert Rachel, Mathew Lejy, Alagar Nikila

A novel reproducible low-cost model of acute myocardial infarction in swine

Li Yichen, Zheng Zilong, Tang Weijie, Chen Wangping, Yang Jinfu, Fan Chengming

More abstracts from these authors:
Patient Demographics and Appropriateness of Elective Percutaneous Coronary Intervention in a Brazilian Cardiology Center

Del Vecchio Ziotti Sara, Pereira Thiago, Grobe Sarah, Serrano Carlos, Cesar Luiz, Abizaid Alexandre, Gowdak Luis Henrique

You have to be authorized to contact abstract author. Please, Login
Not Available