Logo

American Heart Association

  106
  0


Final ID: Sa4161

Native Tricuspid Valve Hematoma and Pulmonary Artery Pseudoaneurysm Mimicking Cardiac Behcet's

Abstract Body (Do not enter title and authors here): We report a case of a giant organizing hematoma attached to a native tricuspid valve in a 32-year-old man. In the absence of predisposing valvular disease, trauma, endocarditis, or a hypercoagulable disorder, intracardiac hematoma formation on a native tricuspid valve is an extremely rare entity with no reported incidence.

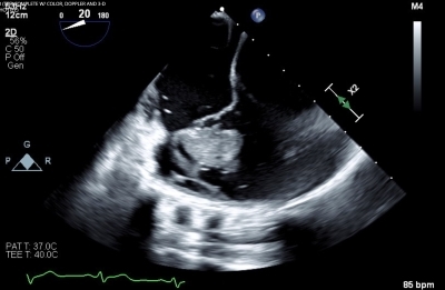
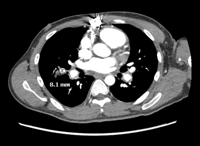
A recently incarcerated 32-year-old man presented with subacute hemoptysis, dyspnea, and night sweats. He had a history of unexplained penile ulcers. His exam was notable for multiple tattoos and a systolic murmur. Chest CTA revealed a 4.6 cm x 2.5 cm right ventricular mass, multiple pulmonary nodules, and bilateral pulmonary emboli. Transesophageal echocardiogram identified a large irregularly bordered mass attached to the anterior tricuspid valve leaflet and right ventricular free wall. Cardiac MRI confirmed a lobulated mass within the right ventricle and an additional 2 cm lesion adjacent to the septum. Multiple sets of blood cultures were negative. Patient had a positive QuantiFERON TB gold and a negative AFB culture, suggesting TB latency. An extensive infectious, hematologic, and rheumatologic workup was otherwise negative. Despite anticoagulation and antibiotics, the mass remained unchanged. The mass was surgically resected, and the tricuspid valve was replaced with a bioprosthetic valve. Histopathology demonstrated an exuberant inflammatory response with organizing granulation tissue from a non-neoplastic process such as organizing hematoma. Postoperatively, the patient developed worsening hemoptysis, requiring intubation and bronchoscopic removal of large airway clots, and upper extremity deep venous thrombosis. Repeat CTA showed multiple pulmonary artery pseudoaneurysms, raising suspicion for vasculitis.

Our patient met the International Criteria for Behcet’s, with a score > 4. Hughes Stovin Syndrome is a rare hypothesized cardiovascular variant of Behcet’s Disease that presents with pulmonary artery aneurysms, venous thrombosis, and intracardiac thrombi. Hematomas on a native cardiac valve in this context have never been reported and may result from similar local endothelial vasculitic processes. Steroids are the mainstay treatment, and anticoagulation is avoided in the presence of pulmonary artery pseudoaneurysms.

Vasculitis should be considered in cases of unusual cardiac masses. Although vascular lesions in Behcet’s syndrome are rare, their recognition is essential as they can be fatal if improperly treated.
  • Naseer, Zaid  ( Mary Washington Healthcare , Fredericksburg , Virginia , United States )
  • Motaweih, Mohammad  ( Mary Washington Healthcare , Fredericksburg , Virginia , United States )
  • Issa, Najy  ( Mary Washington Healthcare , Fredericksburg , Virginia , United States )
  • Kerley, John  ( Inova Fairfax Hospital , Falls Church , Virginia , United States )
  • Aiken, Matthew  ( Mary Washington Healthcare , Fredericksburg , Virginia , United States )
  • Choudhry, Mohammed  ( Mary Washington Healthcare , Fredericksburg , Virginia , United States )
  • Schatz, Aaron  ( Mary Washington Healthcare , Fredericksburg , Virginia , United States )
  • Author Disclosures:
    Zaid Naseer: DO NOT have relevant financial relationships | Mohammad Motaweih: DO NOT have relevant financial relationships | Najy Issa: DO NOT have relevant financial relationships | John Kerley: No Answer | Matthew Aiken: No Answer | Mohammed Choudhry: No Answer | Aaron Schatz: DO NOT have relevant financial relationships
Meeting Info:

Scientific Sessions 2024

2024

Chicago, Illinois

Session Info:

Intricate Valve Pathologies: Case Studies and Diagnostic Dilemmas

Saturday, 11/16/2024 , 02:00PM - 03:00PM

Abstract Poster Session

More abstracts on this topic:
Evolution of Tricuspid Regurgitation and Clinical Outcomes in Patients with Heart Failure with Preserved Ejection Fraction: Insights from the PURSUIT-HFpEF Registry

Okada Masato, Nakatani Daisaku, Sotomi Yohei, Sakata Yasushi, Tanaka Nobuaki, Iwakura Katsuomi, Seo Masahiro, Hayashi Takaharu, Yano Masamichi, Yamada Takahisa, Yoshio Yasumura, Hikoso Shungo

Association Between Right Ventricular-Pulmonary Arterial Coupling and Outcomes in Patients with Heart Failure with Preserved Ejection Fraction

Sherafati Alborz, Dragomirescu Catalin, Brewster Pamela, Kennedy David, Gupta Rajesh, Khouri Samer, Kloster Alex, Manandhar Sareeta, Fares Anas, Aradhyula Vaishnavi, Dube Prabhatchandra, Elzanaty Ahmed, Sajdeya Omar, Khatib-shahidi Bella

You have to be authorized to contact abstract author. Please, Login
Not Available