Logo

American Heart Association

  105
  0


Final ID: Su2176

Decompensated Heart Failure Secondary to a Non-Coronary Sinus of Valsalva to Right Atrium Fistula: A Case Report

Abstract Body (Do not enter title and authors here): Introduction:
Sinus of Valsalva aneurysm (SVA) accounts for 3.5% of all congenital cardiac anomalies. Rupture occurs in 35% of cases and can lead to life-threatening fistulas, predominantly involving the right ventricle or right atrium.

Description of Case:
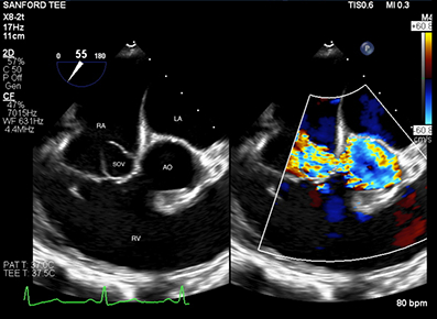
62-year-old female with hypertension and hypothyroidism presented to the ER with progressively worsening dyspnea over the past week. She also reported worsening lower extremity edema, orthopnea, and paroxysmal nocturnal dyspnea. Chest X-ray showed large pleural effusions. Her ejection fraction was 66% ejection fraction with a fistula between the right sinus of Valsalva and the right atrium on transthoracic echocardiogram (TTE) which was also seen on transesophageal echocardiogram (TEE). Her heart failure was due to the fistula as she had no coronary artery disease on coronary angiogram. She had cardiothoracic surgery for fistula repair. Postoperatively, she developed complete heart block requiring a permanent pacemaker. She had no further complications and was discharged home in good condition.

Discussion
SVA affects the right sinus (94%), with the non-coronary (5%) and left sinus (1%) being less commonly involved. Aneurysm rupture typically forms a fistula into the right ventricle (60%), right atrium (29%), left atrium (6%), or left ventricle (4%), and rarely into the pericardial cavity (1%). Symptoms vary by rupture size and location. TTE is the initial diagnostic tool but has limited sensitivity (50%) for detecting fistulas, whereas TEE has a 90% sensitivity. Cardiac MRI and CT can further refine diagnoses, and cardiac catheterization assesses coronary arteries preoperatively. Surgical closure with a patch is the primary treatment for ruptured SVA, significantly improving survival rates compared to non-surgical management.
  • Hasan, Muhammad  ( University of South Dakota Sanford School of Medicine , Sioux Falls , South Dakota , United States )
  • Lavoie, Melanie  ( Sanford USD Medical Center , Sioux Falls , South Dakota , United States )
  • Author Disclosures:
    Muhammad Hasan: DO NOT have relevant financial relationships | Melanie LaVoie: DO NOT have relevant financial relationships
Meeting Info:

Scientific Sessions 2024

2024

Chicago, Illinois

Session Info:

#Trending Clinical Cases in Heart Failure

Sunday, 11/17/2024 , 03:15PM - 04:15PM

Abstract Poster Session

More abstracts on this topic:
A Tale of Two Surgeries: Single Stage Versus Two Staged Approach to Creating an Ovine Model of Fontan Palliation

Kievert Jennifer, Morrison Adrienne, Nelson Kirsten, Heuer Eric, Shinoka Toshiharu, Breuer Christopher, Carrillo Sergio Alejandro, Kelly John, Spiess Joshua, Deshetler Cameron, Yuhara Satoshi, Watanabe Tatsuya, Jimenez Michael, Naguib Aymen, Mckee Christopher, Yates Andrew

6-Nitrodopamine potentiates the positive chronotopic and inotropic effect induced by noradrenaline in the rat isolated heart

Lima Antonio, Sobanski Joao Fernando, Antunes Edson, De Nucci Gilberto

You have to be authorized to contact abstract author. Please, Login
Not Available