Logo

American Heart Association

  163
  0


Final ID: Su2180

A Case of Double Chambered Right Ventricle Associated with Ventricular Septal Defect- an Overlooked Congenital Heart Disease

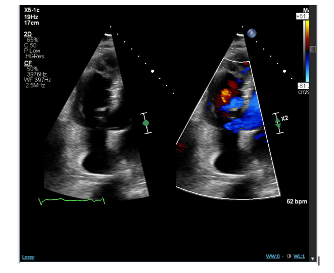
Abstract Body (Do not enter title and authors here): Case description: A 68-year-old man with history of prostate cancer, anal and scrotal squamous cell carcinoma presented to the cardiology clinic with dyspnea on exertion with exercise tolerance limited to 2 flights of stairs. Physical examination showed grade 3/6 holosystolic murmur best heard at the left lower sternal edge. A transthoracic echocardiograph (TTE) revealed an ejection fraction of 65%, prominent muscle bound right ventricular outflow tract obstruction (RVOT) consistent with double chambered right ventricle (DCRV), and a Windsock deformity of the membranous interventricular septum through which there was a VSD with left to right shunting. The maximal pressure gradient across the VSD was approximately 116mmHg. The pulmonary artery systolic pressure was 61mmHg; consistent with severe pulmonary artery hypertension.
Discussion
DCRV is a rare condition accounting for 0.5 to 2% of congenital heart diseases. It is characterized by abnormal muscle bands that divide the right ventricle into two chambers; a proximal high-pressure and distal low-pressure chamber, leading to progressive right ventricular outflow tract obstruction (RVOT). This condition rarely occurs in isolation and is often ventricular septal defect (VSD), which is seen in up to 90% of DCRV cases. DCRV may go undiagnosed until adulthood. As the degree of RVOT increases, patients present with shortness of breath and decreased exercise tolerance. TTE is an invaluable tool for diagnosing and determining the severity of obstruction through pulsed and continuous wave doppler to measure the gradient across the hypertrophied muscle bundles. Current guidelines recommend surgery in asymptomatic patients with severe right ventricular obstruction with a pressure gradient greater than 40 mmHg between the proximal and distal compartments within the right ventricle. Even though our patient was mildly symptomatic, his significant pressure gradient of 116 mmHg warrants surgical evaluation.
Conclusion
DCRV is a rare and often overlooked congenital heart disease. The patient, despite mild symptoms, exhibited classic features of DCRV and associated VSD, highlighting the potential for this condition to persist undiagnosed into late adulthood. The presence of severe pulmonary hypertension further emphasizes the importance of early detection and ongoing management to prevent severe complications such as heart failure and sudden cardiac death.
  • Wang, Roy  ( Suny Downstate , Brooklyn , New York , United States )
  • Gorantla, Asher  ( Suny Downstate , Brooklyn , New York , United States )
  • Budzikowski, Adam  ( SUNY Downstate Medical Center , Brooklyn , New York , United States )
  • Graham-hill, Suzette  ( Kings County Hospital , Brooklyn , New York , United States )
  • Bukharovich, Inna  ( Suny Downstate , Brooklyn , New York , United States )
  • Abdulfattah, Ammar  ( SUNY Downstate Medical Center , Brooklyn , New York , United States )
  • Palmer, Wayne-andrew  ( SUNY Downstate Health Sciences University , New York , New York , United States )
  • Chandrakumar, Harshith  ( Suny Downstate , Brooklyn , New York , United States )
  • Schaible, Michael  ( Suny Downstate , Brooklyn , New York , United States )
  • Allison, Elizabeth  ( SUNY Downstate , Brooklyn , New York , United States )
  • Thambireddy, Monica  ( Suny Downstate , Brooklyn , New York , United States )
  • Nnadi, Ekenedilichukwu  ( Suny Downstate , Brooklyn , New York , United States )
  • Nevolina, Anna  ( Suny Downstate , Brooklyn , New York , United States )
  • Author Disclosures:
    Roy Wang: DO NOT have relevant financial relationships | Asher Gorantla: DO NOT have relevant financial relationships | Adam Budzikowski: No Answer | Suzette Graham-Hill: DO NOT have relevant financial relationships | Inna Bukharovich: DO NOT have relevant financial relationships | Ammar Abdulfattah: DO NOT have relevant financial relationships | Wayne-Andrew Palmer: DO NOT have relevant financial relationships | Harshith chandrakumar: DO NOT have relevant financial relationships | Michael Schaible: No Answer | Elizabeth Allison: DO NOT have relevant financial relationships | Monica Thambireddy: No Answer | Ekenedilichukwu Nnadi: DO NOT have relevant financial relationships | Anna Nevolina: DO NOT have relevant financial relationships
Meeting Info:

Scientific Sessions 2024

2024

Chicago, Illinois

Session Info:

#Trending Clinical Cases in Heart Failure

Sunday, 11/17/2024 , 03:15PM - 04:15PM

Abstract Poster Session

More abstracts on this topic:
CARDIAC TUMORS EVOLUTION IN PATIENTS WITH TUBEROUS SCLEROSIS

Hotta Viviane, Ribeiro Anna Christina, Quadro Matos Maria Rosa, Tanaka Ana Cristina, Soliani Marilia, Oishi Gardenia, Rocha Ruiza, Miura Nana, Fernandes Fabio

Acute Cardiac Function Change After Catheter Ablation of Ventricular Arrhythmias in Patients with Arrhythmogenic Right Ventricular Cardiomyopathy

Davis Nathaniel, Asirvatham Samuel, Friedman Paul, Killu Ammar, Ezzeddine Fatima, Sugrue Alan, Siontis Konstantinos, Kapa Suraj, Kowlgi Gurukripa, Giudicessi John, Bois John, Chang Ian C

More abstracts from these authors:
Trends in Mortality and 30-Day Readmission Rates Among Heart Failure Patients Undergoing Cardiac Rehabilitation: A Nationwide Analysis from 2017 to 2020

Aiwuyo Henry, Nnadi Ekenedilichukwu, Mitre Cristina, Jha Mayank, Perry Jamal, Akinti Oluwasegun, Ayinalem Yonael, Asfaw Yonathan, Nevolina Anna, Offor Rita, Nigussie Bisrat

Impact of Fibromuscular Dysplasia on Clinical Outcomes Among Spontaneous
Coronary Artery Dissection Patients: A Propensity-Matched Analysis Using the
TriNetX Research Network

Agyekum Abena, Essien Ekow, Osei Nana, Masara Maureen, Bonnah Godslove, Graham-hill Suzette, Bukharovich Inna, Mcfarlane Samy

You have to be authorized to contact abstract author. Please, Login
Not Available