Logo

American Heart Association

  165
  0


Final ID: Sa4053

Clinical Case: Flipping the Script: Tackling CAD in Dextrocardia During Cardiac Catheterization

Abstract Body (Do not enter title and authors here): Introduction:
Dextrocardia is a rare congenital condition where the heart's apex points to the right, with an incidence of about 0.01%. Patients usually have a normal life expectancy unless other structural heart diseases are present. The prevalence of atherosclerotic coronary artery disease (CAD) in these individuals is believed to be similar to that of the general population.
Due to its rarity, data on coronary interventions in this subset are scarce, with available literature mostly limited to case reports. Patients with dextrocardia present a diagnostic challenge, particularly in the context of acute coronary syndrome.

Case Presentation:
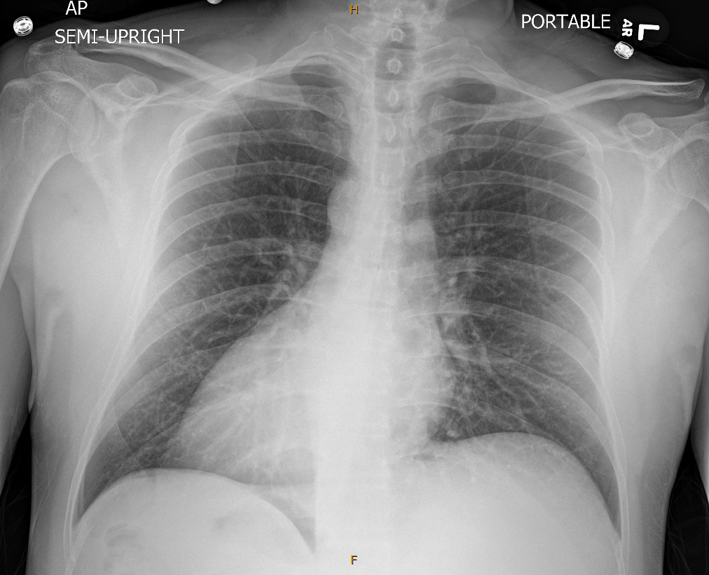
A 49-year-old male with a medical history of dextrocardia, hypothyroidism, dyslipidemia and hypertension was referred to a cardiologist by his primary physician due to a 3-week history of unstable angina. His vital signs were normal, and the physical examination was unremarkable. Electrocardiogram (ECG) showed a prominent S wave in the left-sided leads and a prominent R wave in the right-sided chest leads, suggesting dextrocardia. Although he had a normal echocardiogram and stress test a year ago at a different hospital, due to his symptoms and intermediate-high risk probability of coronary artery disease (CAD), the decision was made to proceed with a cardiac catheterization using a trans-radial approach with a horizontal sweep technique. During the procedure, a 6-French tiger catheter (TIG) was guided into the left coronary sinus and advanced into the left ventricle under fluoroscopic guidance.

The left main coronary artery was widely patent bifurcating into the left anterior descending and left circumflex. The left circumflex had 80% proximal stenosis with minimal luminal irregularities in the mid to distal portion. After guidewire crossing, balloon angioplasty was performed, and a drug-eluting stent was deployed. An intravascular ultrasound was also performed, which was negative for vessel dissection. There were no post-procedure complications, and the patient was discharged on beta blockers and dual antiplatelet agents.

Conclusion:
Performing cardiac catheterization in patients with dextrocardia presents unique technical challenges due to the mirror-image anatomy. This case report highlights the modifications in standard techniques, emphasizing the need for specialized skills and strategies to achieve successful outcomes in such cases.
  • Riya, Fnu  ( Loyola Medicine MacNeal Hospital , Berwyn , Illinois , United States )
  • Iqbal, Naveed  ( Loyola Medicine MacNeal Hospital , Berwyn , Illinois , United States )
  • Author Disclosures:
    FNU Riya: DO NOT have relevant financial relationships | Naveed Iqbal: No Answer
Meeting Info:

Scientific Sessions 2024

2024

Chicago, Illinois

Session Info:

Novel Insights in Coronary Intervention

Saturday, 11/16/2024 , 10:30AM - 11:30AM

Abstract Poster Session

More abstracts on this topic:
A Systematic Review and Network Meta-Analysis of Metastatic Castrate-Resistant Prostate Cancer Therapy Cardiotoxicity Given Metastatic Hormone-Sensitive Prostate Cancer Treatment History

Aziz Moez, Swaby Justin, Deng Brett, Hartshorne Taylor, Desai Shubh, Zhang Allan, Xiao Daniel, Sanchez Darren, Imber Jared, Song Jeffrey, Rivas Alexis, Molony Donald, Guhan Maya, Ranganath Shreyas, Jacob Jerril, Ziaolhagh Ali, Ali Abdelrahman, Yusuf Syed, Canfield Steven, Iliescu Cezar, Monlezun Dominique, Higgason Noel, Brunckhorst Oliver, Roland Jerry, Owen Christopher, Iacobucci Alexander Samuel, Galan Jacob

A Novel Missense Mutation in TNNT2 Gene in a Lebanese Pedigree With Ebstein Anomaly And Wolf-Parkinson-White Syndrome: A Case Report

Atasi Montaser, Dankar Razan, Barakat Salim, Wehbi Jad, Refaat Marwan

More abstracts from these authors:
Comparison of Right Ventricular Dysfunction Following Catheter-Directed, Half-Dose, and Full-Dose Thrombolysis for Acute Pulmonary Embolism

Koura Simran, Shah Parth, Sutherland David, Kumar Amudha, Wroblewski Igor, Darki Amir, Mallery Quinn, Clarke Jacob, Greathouse Frances, Choi Myoung Hyun, Riya Fnu, Bruno Elizabeth, Arora Punit, Malas Waddah

Beat Heart failure rehospitalization!

Riya Fnu, Sardone-ponnappan Jennifer

You have to be authorized to contact abstract author. Please, Login
Not Available