Logo

American Heart Association

  136
  0


Final ID: Su4076

A Silent Murmur: Incidental Finding of a Cardiac Paraganglioma

Abstract Body (Do not enter title and authors here): Background:
Paragangliomas are rare neuroendocrine tumors, arising from neural crest cell lines in the autonomic system. The detection of these tumors has risen in recent years with the growing availability and use of intrathoracic imaging.
Case Presentation:
A 59-year-old male with a past medical history of HTN, HIV, syphilis, and treated prostate cancer presented to the clinic for a new-patient evaluation and was incidentally found to have a 2/6 diastolic murmur, reportedly present since childhood. He was asymptomatic apart from brief episodes of dizziness when leaning forward or standing during exercise. Family history was notable for an aortic aneurysm in his father and valvular disease in his mother.
Clinical Decision Making:
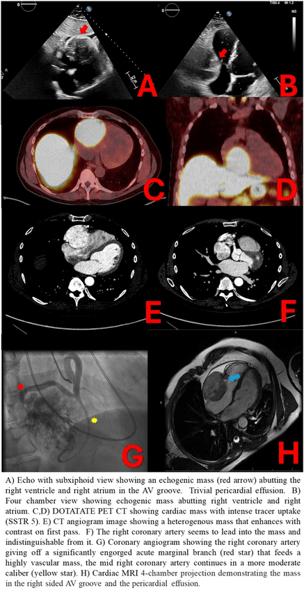
A TTE showed a 5.7 x 5.9 cm echogenic mass pushing against the RV and RA. Prospective ECG-gated CT scan of the chest revealed a highly vascular intrapericardial mass (6.0 x 7.7 mm) anterior to the RA and RV with the RCA leading into it. Cardiac MRI showed a large, circumscribed mass moving within the RV-free wall without evidence of depressed RV ejection fraction or significant coronary artery compression. Coronary angiogram found an engorged acute marginal branch feeding the highly vascular mass and the RCA continuing under the mass to give off a small PDA and a small RPL. There were normal filling pressures and no significant obstructive CAD. A multidisciplinary team determined a high concern for cardiac paraganglioma. Serological workup was notable for elevated serum epinephrine (335 pmol/L). 24-hour urinary dopamine was elevated (831.5 ug/TV) while 24-hour urinary catecholamines/metanephrines were normal. A DOTATATE PET/CT scan confirmed presence of a cardiac paraganglioma. Genetic workup did not reveal presence of any succinate dehydrogenase (SDH) mutations.
Conclusion:
Here we present a highly unusual case of an asymptomatic intra-pericardial paraganglioma in a 59-year-old male. Given the lack of guidelines for management and the complexity of the case due to the location of the tumor, a multidisciplinary team comprising cardiology, endocrinology, and surgery is evaluating the patient, with considerations of surgical removal and CABG to PDA after neurohormonal blockade.
  • Min, Kyung  ( Kaiser Permanente San Francisco Med , San Francisco , California , United States )
  • Srikanth, Kishan  ( Kaiser Permanente , San Francisco , California , United States )
  • Lien, Tann  ( Kaiser Permanente San Francisco Med , San Francisco , California , United States )
  • Hernandez, Salvador  ( Kaiser Permanente San Francisco Med , San Francisco , California , United States )
  • Colicci, Steven  ( Kaiser Permanente San Francisco Med , San Francisco , California , United States )
  • Wheeler, Amber  ( Kaiser Permanente San Francisco Med , San Francisco , California , United States )
  • Ting, Jennifer  ( The Permanente Medical Group , San Francisco , California , United States )
  • Author Disclosures:
    Kyung Min: DO NOT have relevant financial relationships | Kishan Srikanth: DO NOT have relevant financial relationships | Tann Lien: DO NOT have relevant financial relationships | Salvador Hernandez: DO NOT have relevant financial relationships | Steven Colicci: DO NOT have relevant financial relationships | Amber Wheeler: DO NOT have relevant financial relationships | Jennifer Ting: DO NOT have relevant financial relationships
Meeting Info:

Scientific Sessions 2024

2024

Chicago, Illinois

Session Info:

Cardiac Tumors: The Masses Speak

Sunday, 11/17/2024 , 11:30AM - 12:30PM

Abstract Poster Session

More abstracts on this topic:
Accelerated Coronary Atherosclerosis Following Relugolix Versus Leuprolide Androgen Deprivation Therapy in Men with Prostate Cancer (REVELUTION): An Open-Label Randomized Controlled Trial

Patel Sagar, Sebastian Nikhil, Dhere Vishal, Hershatter Bruce, Patel Pretesh, Stillman Arthur, De Cecco Carlo, Sanda Martin, Jani Ashesh, Mandawat Anant, Yadalam Adithya, Van Assen Marly, Cantu Stephanie, Onnis Carlotta, Zheng Bill, Goyal Subir, Liu Yuan, Liu Chang



A Case of Possible IgG4-Related Constrictive Pericarditis Masquerading as Idiopathic Pericarditis: A Rare and Elusive Diagnosis

Nandyal Shreyas, Sharma Bharosa, Gajjar Rohan, Varma Revati, Ezegwu Olisa, Amdetison Gedion Yilma, Tottleben Jon

More abstracts from these authors:
Primary Pericardial Mesothelioma: Diagnostic dilemma and rapid decline

Hamilton Steven, Ting Jennifer, Colicci Steven, So-rosillo Rosendo, Lapunzina Paul, Ren Xiushui

Silent Storm: Aortitis and Coronary Compression Unveiled in a Healthy Woman

Ye Linda, Min Kyung, Lien Tann, Lee Emily, Hamilton Steven, Mina Rina, Leung Gordon

You have to be authorized to contact abstract author. Please, Login
Not Available