Logo

American Heart Association

  161
  0


Final ID: 4136566

Primary Pericardial Mesothelioma: Diagnostic dilemma and rapid decline

Abstract Body (Do not enter title and authors here): Description of case:
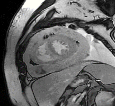
A 33-year-old man with no medical history or environment exposures, presented with dyspnea, nausea, and vomiting. He was tachycardic, with jugular venous distension, pulsus paradoxus, low voltage QRS and echocardiogram (TTE) showed a large pericardial effusion with ventricular interdependence. He underwent pericardiocentesis with negative fluid studies, including cytology. Two months later he represented with dyspnea and pleuritic chest pain, was diagnosed with pericarditis, and found to have recurrent pericardial effusion without tamponade. He was treated with aspirin and colchicine and discharged, with surveillance TTE showing a stable pericardial effusion but with significant adhesions and constrictive physiology (confirmed on right heart catheterization). Negative QuantiFERON was obtained and Anakinra started. Two months later he remained symptomatic with new pleural effusions and was sent for positron emission tomography scan which revealed diffuse intensely hypermetabolic pericardial thickening/fluid, up to 3.8 cm in maximal thickness and increased uptake in mediastinal nodes. Next, a cardiac MRI showed extensive circumferential thickening of the pericardial space approximately 2.5 cm in thickness. Both the visceral and parietal pericardium exhibited extensive scattered delayed hyperenhancement. Subsequent pericardial biopsy showed markedly fibrotic pericardium and pathology showed biphasic malignant pericardial mesothelioma. Immunosuppressive medications were stopped, and he underwent thoracentesis. After multidisciplinary discussions, he was started on nivolumab every two weeks and ipilimumab with a plan for surgery based on response to therapy. However, progressive symptoms and worsening constriction physiology led to palliative consultation and comfort care transition, with him dying shortly after.
Discussion:
Recurrent pericarditis and pericardial effusion, along with negative typical pericardial fluid studies, raised suspicion for a non-benign etiology. Multimodality imaging was employed and led to a pericardial biopsy. Constrictive pericarditis is an uncommon presentation of primary pericardial mesothelioma. Biphasic mesotheliomas from pleural or peritoneal origins are normally treated with systemic therapy with preference for combined immunotherapy. Primary pericardial mesothelioma is associated with a late presentation and high mortality rate, with surgery, if able to be done early appearing to be the recommended approach.
  • Hamilton, Steven  ( Kaiser Permanente , San Francisco , California , United States )
  • Ting, Jennifer  ( The Permanente Medical Group , San Francisco , California , United States )
  • Colicci, Steven  ( Kaiser Permanente , San Francisco , California , United States )
  • So-rosillo, Rosendo  ( Kaiser Permanente , San Francisco , California , United States )
  • Lapunzina, Paul  ( Kaiser Permanente , San Francisco , California , United States )
  • Ren, Xiushui  ( Kaiser Permanente , San Francisco , California , United States )
  • Author Disclosures:
    Steven Hamilton: DO NOT have relevant financial relationships | Jennifer Ting: DO NOT have relevant financial relationships | Steven Colicci: DO NOT have relevant financial relationships | Rosendo So-rosillo: No Answer | Paul LaPunzina: No Answer | Xiushui Ren: No Answer
Meeting Info:

Scientific Sessions 2024

2024

Chicago, Illinois

Session Info:

Laennec Fellow In Training (FIT) Clinician Award Competition

Saturday, 11/16/2024 , 03:15PM - 04:30PM

Abstract Oral Session

More abstracts on this topic:


A Case of Possible IgG4-Related Constrictive Pericarditis Masquerading as Idiopathic Pericarditis: A Rare and Elusive Diagnosis

Nandyal Shreyas, Sharma Bharosa, Gajjar Rohan, Varma Revati, Ezegwu Olisa, Amdetison Gedion Yilma, Tottleben Jon

Cardiac Tamponade And Constrictive Effusive Pericarditis Caused By Metastatic High-Grade Follicular-Derived Thyroid Carcinoma

Achuthanandan Supraja, Tamazyan Vahagn, Naeem Azka, Harutyunyan Hakob, Munoz Martinez Alejandro, Sadiq Adnan, Hollander Gerald

More abstracts from these authors:
Racial disparities in heart transplantation: long term graft survival and non-mortality outcomes

Hamilton Steven, Wayda Brian, Weng Yingjie, Zhang Shiqi, Khush Kiran

A Silent Murmur: Incidental Finding of a Cardiac Paraganglioma

Min Kyung, Srikanth Kishan, Lien Tann, Hernandez Salvador, Colicci Steven, Wheeler Amber, Ting Jennifer

You have to be authorized to contact abstract author. Please, Login
Not Available