Logo

American Heart Association

  148
  0


Final ID: Mo3058

Benign Metastasizing Leiomyoma: A Challenging Case with Multifocal Involvement in the Heart, Liver, and Uterus

Abstract Body (Do not enter title and authors here): Case Presentation:
A 39-year-old Southeast Asian female presented with fatigue and exertional dyspnea. She underwent a myomectomy four years ago. Examination showed vital signs within normal limits, except for an SpO2 of 87%. Blood tests indicated microcytic hypochromic anemia and elevated D-Dimer levels of 1479 ng/mL.
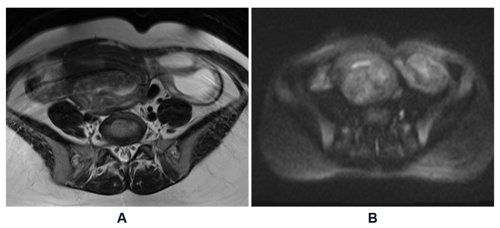
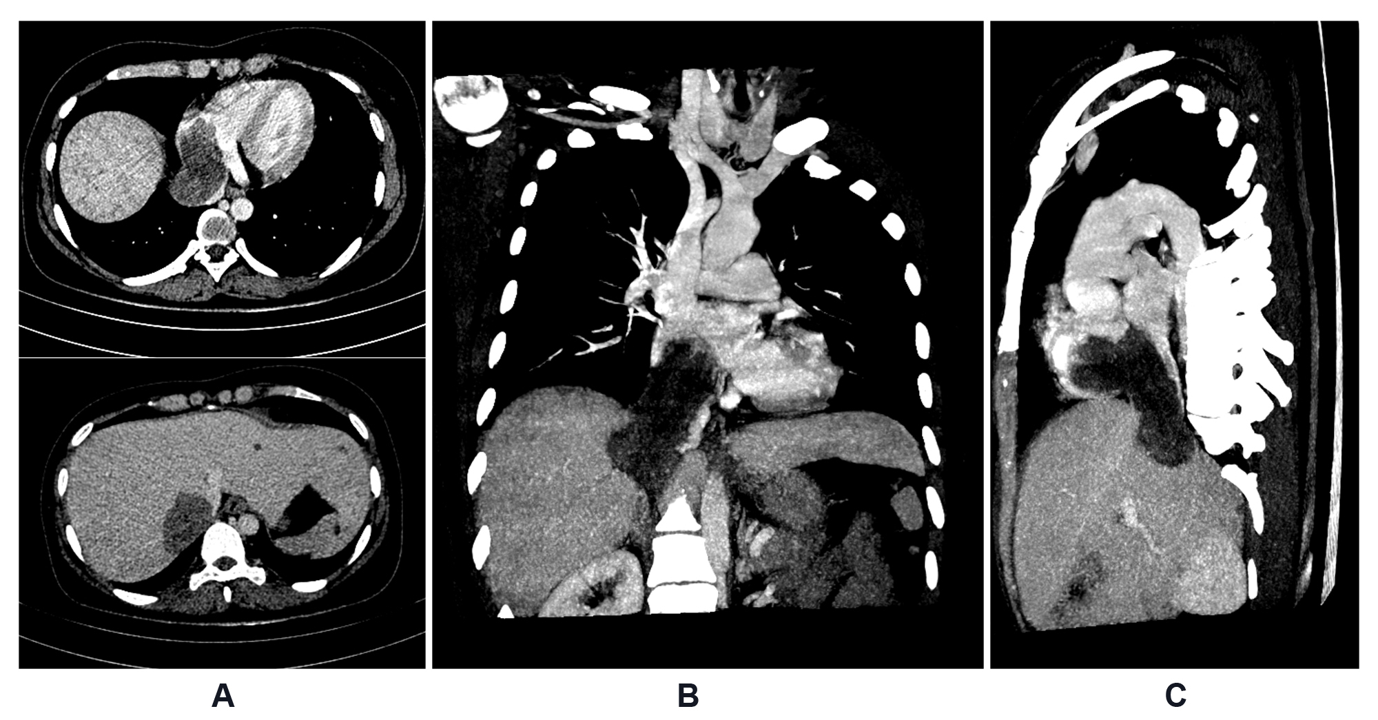
A transthoracic echocardiogram revealed a large mass occupying almost the entire right atrium, extending into the inferior vena cava. A CT scan showed a large, low attenuation, and minimally enhanced mass extending from the right atrium into the inferior vena cava and right hepatic vein, possibly invading segments VII-VIII of the liver (Figure 1). Abdominal CT and MR images revealed multiple degenerating uterine fibroids, bilateral dilated uterine tubes, and mild right hydronephrosis (Figure 2).
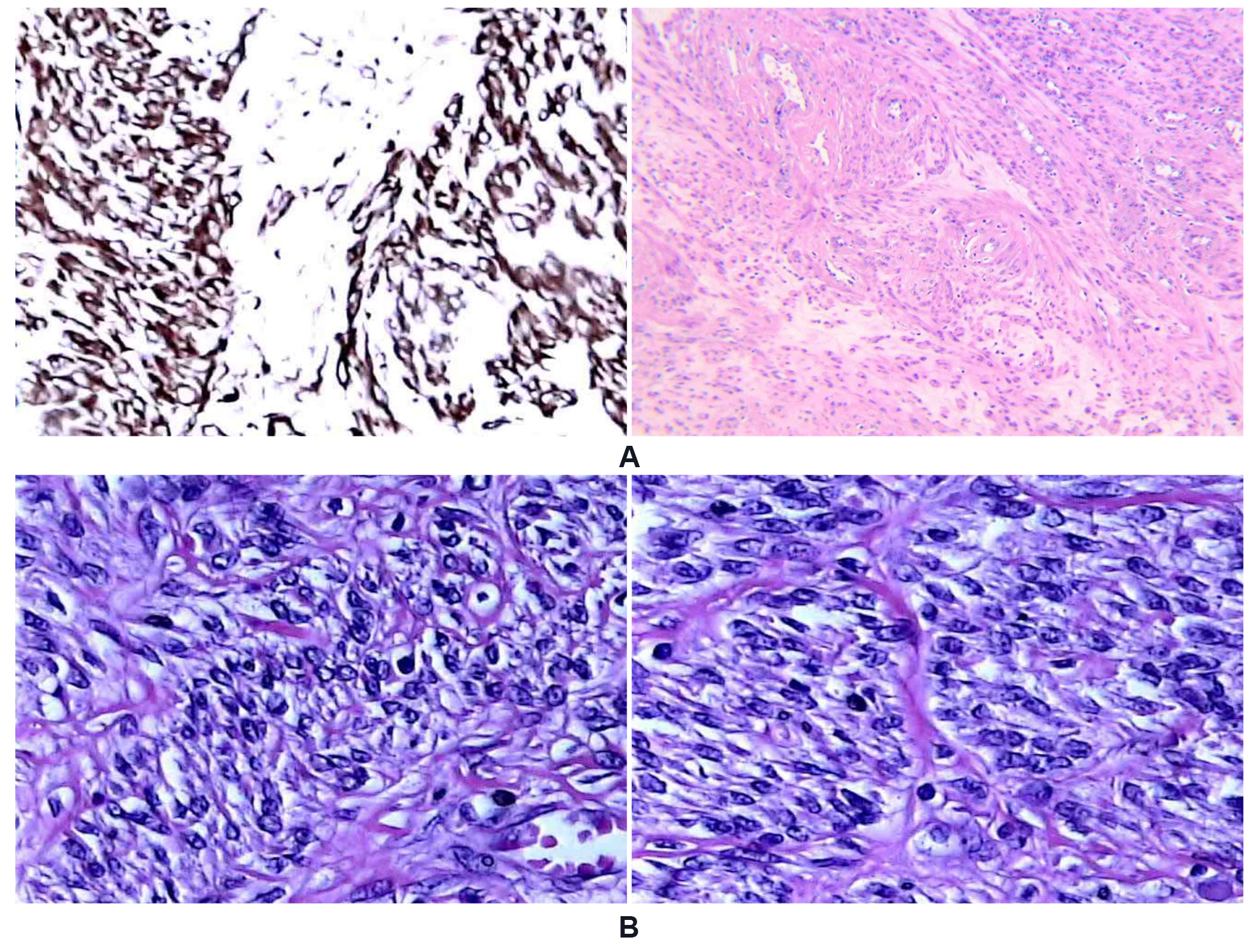
The patient underwent surgical removal of the cardiac mass under general anesthesia with extracorporeal circulation and hypothermia. Pathological examination confirmed a benign tumor characterized by bundles of smooth muscle cells (Figure 3). Immunohistochemical staining with Actin (+), Progesterone receptor (+), Desmin (+), Ki67 (+) was consistent with a diagnosis of benign metastasizing leiomyoma (BML) of the heart. Subsequently, elective hysterectomy and bilateral salpingo-oophorectomy were performed.
Discussion:
Although rare, uterine leiomyoma can exhibit metastatic behavior, disseminating to extraneous anatomical sites. BML should be considered in the differential diagnosis when patients present with an atypical cardiac mass and have a history of uterine leiomyoma, myomectomy, or hysterectomy.
BML of the heart is an exceptionally rare condition, predominantly affecting middle-aged women who have undergone hysterectomy or myomectomy. While BML commonly occurs in pre-menopausal patients and shares a potentially similar mechanism with endometriosis, as indicated by its response to estrogen-blocking agents, the occurrence of BML in post-menopausal women suggests the involvement of other contributing factors.
Multiple imaging modalities play a significant role in the diagnosis and preparation for surgical management.
  • Vu, Huong  ( University Medical Center of Ho Chi Minh City , Ho Chi Minh City , Viet Nam )
  • Bui, Hanh  ( University Medical Center of Ho Chi Minh City , Ho Chi Minh City , Viet Nam )
  • Huynh, Hai  ( University Medical Center of Ho Chi Minh City , Ho Chi Minh City , Viet Nam )
  • Vo, Duc  ( University Medical Center of Ho Chi Minh City , Ho Chi Minh City , Viet Nam )
  • Minh, Le Huu Nhat  ( IGPM, Taipei Medical University , Taipei , Taiwan )
  • Nguyen, Hien  ( Methodist Hospital , New York , New York , United States )
  • Author Disclosures:
    Huong Vu: No Answer | Hanh Bui: No Answer | Hai Huynh: No Answer | Duc Vo: No Answer | Le Huu Nhat Minh: DO NOT have relevant financial relationships | Hien Nguyen: DO NOT have relevant financial relationships
Meeting Info:

Scientific Sessions 2024

2024

Chicago, Illinois

Session Info:

Challenging Clinical Cases in Women

Monday, 11/18/2024 , 01:30PM - 02:30PM

Abstract Poster Session

More abstracts on this topic:
Acute Electronic Cigarette Exposure Induces Heat Shock Response and Protein Aggregation in Vascular Smooth Muscle Cells

Damiani Isabella, Huiting Wouter, Qin Guyu, Basu Sugandha, Easwaran Meena, Direnzo Elizabeth, Jarosz Daniel, Kim Juyong

Artificial Intelligence-Derived Myosteatosis on Coronary Artery Calcium CT Scans Predicts Incident COPD: An AI-CVD Study within the Multi-Ethnic Study of Atherosclerosis (MESA)

Naghavi Morteza, Maron David, Vliegenthart Rozemarijn, Mcconnell Michael, Zulueta Javier, Williams Kim, Branch Andrea, Mechanick Jeffrey, Ma Ning, Yip Rowena, Fan Wenjun, Azimi Amir, Roy Sion, Budoff Matthew, Molloi Sabee, Kakadiaris Ioannis, Shah Prediman, Abela George, Narula Jagat, Benjamin Emelia, Levy Daniel, Mehran Roxana, Atlas Kyle, Kloner Robert, Zhang Chenyu, Reeves Anthony, Wasserthal Jakob, Wong Nathan, Henschke Claudia, Yankelevitz David

More abstracts from these authors:
Interposed Abdominal Compression CPR Associated With Improved Hemodynamic and Clinical Outcomes: A Systematic Review and Meta-Analysis

Phan Huu Hung, Nguyen Dang, Phan Son, Huynh Han, Le Hoai, Le Nhi Huu Hanh, Tang Minh, Tran Tam, Le Minh

Thirty-Day Readmissions After Hospitalization for Takotsubo Syndrome: A Nationwide Readmissions Database Analysis

Ahluwalia Vibhor, Senapati Sidhartha, Chilingarashvili Giorgi, Ahluwalia Vaibhav, Tran Viet Nghi, Le Minh, Kieu Ngoc Thai, Chung Eugene, Truong Vien

You have to be authorized to contact abstract author. Please, Login
Not Available