Logo

American Heart Association

  153
  0


Final ID: Sa4074

Quantifying the Coronary Artery Slow Flow Phenomenon: Insight from Dynamic Angiography and Deep Learning

Abstract Body (Do not enter title and authors here): Background
The coronary slow-flow phenomenon is frequently seen in patients with coronary stenosis, coronary endothelium dysfunction, microvascular dysfunction, etc. It is diagnosed as TIMI-2 flow grade (requiring ≥ 3 cardiac cycles to opacify the vessel) or a corrected TIMI frame count (TFC) greater than 27 frames. However, the TFC has variability due to its dependence on injection force.
In cases without autonomic injection, how could to quantify frame count with minimal bias?
Methods:
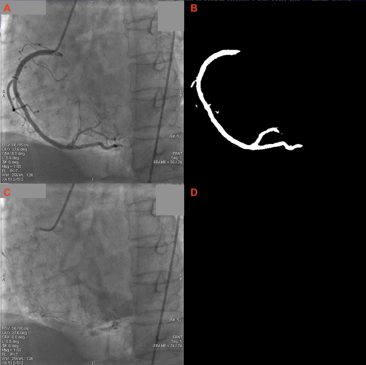
All patients underwent the angiogram included, and the exclusive criteria were patients with heart failure, cardiomyopathy, congenital heart disease, valvular disease, and multivessel disease. The angiographic recording began with the injection of contrast into the coronary artery and continued with the white-colored blood moving until all the contrast had been washed out from the arteries. The review of coronary was 15 frames per second and focused on the white-colored blood flow against a black contrast background. The arterial phase (AP) calculation started when the blood began moving and ended when all the contrast was washed out of the distal arterial vasculature. The artificial intelligence program was built based on U-net and Densenet-121. At first, a segmentation model and a Convolutional neural network (CNN) model are responsible for detecting the starting frame of AP with a full index of contrast. In the end, the CNN model will detect the ending frame of AP.
Results:
151 patients met the inclusion criteria, and 76.8% were males. Subgroup analysis of patients with patent coronary arteries showed that the AP of the group with slow flow at the distal segment was 32.3 ± 4.4 frames. There was a statistically significant difference compared to the no-slow-flow group (p<0.001). The AP of patients with patent coronary artery was 25.8 ± 4.4 frames, compared with the AP of the group with a significant lesion, which was 32.2 ± 4.0 frames (p<0.001). The cut-off value of the AP frame count in diagnosing coronary slow flow was 27.5 frames, with a sensitivity of 91% and a specificity of 67%. Moreover, the Deep Learning model for calculating AP frames was successfully trained, achieving a root mean square error of 5.1 frames.
Conclusion:
In addition to TIMI frame count, AP frame count analysis is feasible for cath labs without autonomic injection. The preliminary results suggest AP is a potential marker for diagnosing the slow flow phenomenon.
  • Vu, Loc  ( Tan Tao University , Long An , Viet Nam )
  • Le, Pham Thao Vy  ( Cardiovascular Research Laboratories, , Merrillville , Indiana , United States )
  • Nguyen, Hieu  ( Cardiovascular Research Laboratories, , Merrillville , Indiana , United States )
  • Lam, Vinh Sieu  ( Cardiovascular Research Laboratories, , Merrillville , Indiana , United States )
  • Ho, Dung  ( Thong Nhat Hospital , Ho Chi Minh City , Viet Nam )
  • Nguyen, Thach  ( Cardiovascular Research Laboratories, , Merrillville , Indiana , United States )
  • Mai, Minh  ( Tan Tao University , Long An , Viet Nam )
  • Huynh, Thuan  ( Thong Nhat Hospital , Ho Chi Minh City , Viet Nam )
  • Nguyen, Chinh  ( Can Tho S.I.S International General Hospital , Can Tho City , Viet Nam )
  • Pham, Thanh Tam  ( Hai Phong University of Medicine and Pharmacy , Hai Phong , Viet Nam )
  • Pham, Huan  ( Conemaugh Memorial Medical Center , Johnstown , Pennsylvania , United States )
  • Nguyen, Hien  ( Tan Tao University , Long An , Viet Nam )
  • Truyen, Thien Tan Tri Tai  ( Cedars-Sinai Medical Center , Los Angeles , California , United States )
  • Ngo, Khiem  ( UTRGV , Harlingen , Texas , United States )
  • Author Disclosures:
    Loc Vu: DO NOT have relevant financial relationships | Pham Thao Vy Le: DO NOT have relevant financial relationships | Hieu Nguyen: DO NOT have relevant financial relationships | Vinh Sieu Lam: DO NOT have relevant financial relationships | Dung Ho : DO NOT have relevant financial relationships | Thach Nguyen: DO NOT have relevant financial relationships | Minh Mai: No Answer | Thuan Huynh: DO NOT have relevant financial relationships | Chinh Nguyen: DO NOT have relevant financial relationships | Thanh Tam Pham: DO NOT have relevant financial relationships | Huan Pham: DO NOT have relevant financial relationships | Hien Nguyen: DO NOT have relevant financial relationships | THIEN TAN TRI TAI TRUYEN: DO NOT have relevant financial relationships | Khiem Ngo: DO NOT have relevant financial relationships
Meeting Info:

Scientific Sessions 2024

2024

Chicago, Illinois

Session Info:

Vascular and Microvascular Considerations for Coronary Intervention

Saturday, 11/16/2024 , 10:30AM - 11:30AM

Abstract Poster Session

More abstracts on this topic:
Abbreviated Ticagrelor-Based Dual Antiplatelet Therapy in Acute Coronary Syndrome: A Systematic Review and Meta-Analysis

Harmouch Wissam, Elbadawi Ayman, Thakker Ravi, Khalid Umair, Khalife Wissam, Kleiman Neal, Rangasetty Umamahesh, Kayani Waleed, Jneid Hani, Al Hemyari Bashar

Anomalous Origin Of Left Circumflex Artery From Right Pulmonary Artery Resulting In Heart Failure: A Rare Vascular Steal Phenomenon

Chander Yogesh, Bhardwaj Rajeev, Nandal Rajesh, Mittal Saurav, Pruthi Taniya, Singh Subeg

More abstracts from these authors:
Plaque Eccentricity and Delayed Flow as Predictors of Vulnerable Lesions in Unstable Angina: Insights from Dynamic Angiography, IVUS, and Deep Learning for Personalized Management

Vu Loc, Nguyen Thach, Ho Dung, Ngo Khiem, Le Minh, Huynh Thuan, Nguyen Quan, Tran Trien, Le Bao Huy, Truyen Thien Tan Tri Tai

Superiority of Ultrahigh-Resolution Photon-Counting Computed Tomography in Follow-up In-Stent Restenosis

Nguyen Chinh, Nguyen Thach, Tran Cuong, Ngo Minh Tuan, Bui Bich, Nguyen Duong Quoc Anh, Dang Hoang Tuyen, Ngo Khiem, Vu Loc, Ho Dung

You have to be authorized to contact abstract author. Please, Login
Not Available