Logo

American Heart Association

  201
  0


Final ID: Sa4064

Acute Coronary Syndrome in a Patient with Situs Inversus Totalis

Abstract Body (Do not enter title and authors here): INTRODUCTION
Situs inversus totalis (SIT) occurs in 1 in 8000 births. 0.04% of cases involve ACS, posing a clinical challenge. We present a case of NSTE-ACS in a patient with SIT, where a universal diagnostic catheter was used to engage the coronary arteries.

CASE PRESENTATION
51-year-old Caucasian male with situs inversus totalis presented with worsening right-sided chest & right arm pain after shoveling snow. Initial examination was benign, but the EKG showed features of dextrocardia with T wave inversions in V2-V6. Laboratory results showed elevated CKMB (119.2) & up-trending troponin T 1.260 ng/ml. He was started on a Heparin drip and 81 mg of Aspirin with a plan for urgent cardiac catheterization.
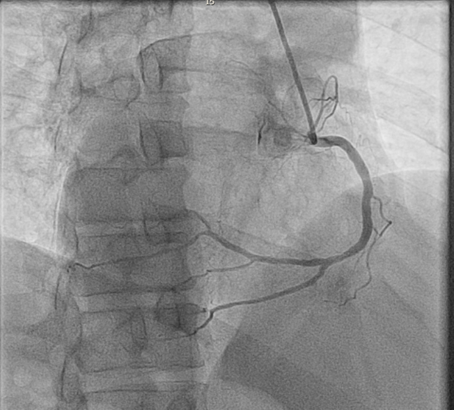
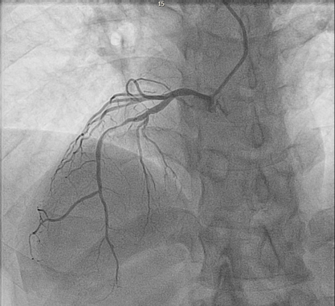
A coronary angiogram from the right radial with a 6 French Tiger Radial Catheter in the right anterior projection (RAO) 30 degrees showed minor luminal irregularities in the RCA, and 90% stenosis in the LAD. RCA was enganged anticlockwise and LCA clockwise.
A 6 French XB 3.5 guide catheter was used to engage the LCA system, and the mid-LAD was stented. DAPT including Aspirin and Ticagrelor, was initiated. A TTE showed an EF of 25-30% with severe anterior, apical, and septal wall hypokinesis. The patient was discharged home with GDMT for coronary artery disease.

DISCUSSION
CAD in dextrocardia can be challenging, requiring reversed limb and precordial leads and a right-sided ECG to show the extent of MI. Failure to recognize dextrocardia can lead to underestimating or missing MI. Typical findings include global negativity in lead I, positively deflected QRS in aVR, negative P-wave in lead II, reverse R-wave progression in precordial leads, and right-axis deviation. Our patient's EKG revealed polarity reversal in leads I and aVL, QS and rS patterns in precordial leads, and positive polarity in aVR, suggesting dextrocardia with T wave inversions, prompting further workup.
Engaging the coronary arteries is challenging. We used a Tiger radial catheter with a reverse torque technique: anticlockwise for the RCA and clockwise for the LCA. Both arteries were engaged in the right anterior oblique view at 30 degrees. The cranial and caudal angulation remained the same, but the standard left anterior oblique view was switched with the right anterior oblique view and vice versa. The double inversion technique is useful during interventions when dealing with unfamiliar anatomy. It is not well-established whether dextrocardia is a risk factor for myocardial infarction.
  • Balani, Prachi  ( St Vincent Hospital , Worcester , Massachusetts , United States )
  • Sharma, Nitish  ( St Vincent Hospital , Worcester , Massachusetts , United States )
  • Ray, Ayita  ( St Vincent Hospital , Worcester , Massachusetts , United States )
  • Sarraf, Rahul  ( Smt NHL Municipal Hospital , Ahmedabad , India )
  • Roumia, Mazen  ( St Vincent Hospital , Worcester , Massachusetts , United States )
  • Angelis, Dimitrios  ( St Vincent Hospital , Worcester , Massachusetts , United States )
  • Author Disclosures:
    Prachi Balani: DO NOT have relevant financial relationships | Nitish Sharma: No Answer | Ayita Ray: DO NOT have relevant financial relationships | Rahul Sarraf: No Answer | Mazen Roumia: No Answer | Dimitrios Angelis: No Answer
Meeting Info:

Scientific Sessions 2024

2024

Chicago, Illinois

Session Info:

Managing the Rarest of Cases: Super Hero Interventionalist to the Rescue!

Saturday, 11/16/2024 , 10:30AM - 11:30AM

Abstract Poster Session

More abstracts on this topic:
A Remote Patient Care Heart Failure Program Drives Improved Clinical Outcomes and Reduced Healthcare Cost and Utilization

Feldman David, Reynolds Spencer, Curnow Randall, Cunningham Eve, Feldman Theodore, Fudim Marat

A Predictive Tool and Diagnostic Screening Algorithm for the Identification of Transthyretin Amyloid Cardiomyopathy in High-Risk Patient Populations

Chai Jocelyn, Sathananthan Janarthanan, Fine Nowell, Davis Margot, Starovoytov Andrew, Campbell Christine, Hawkins Nathaniel, Virani Sean, Luong Michael, Straatman Lynn, Kiess Marla, Worsley Daniel

More abstracts from these authors:
Risk of Suicide, Hair Loss, and Aspiration with Glucagon-like Peptide 1 Receptor Agonists: A Real-World Pharmacovigilance Study from the FAERS database

Nakhla Michael, Dani Sourbha, V Ambica, Balani Prachi, Ujjawal Aditi, Arun Kumar Pramukh, Dasari Mahati, Yukselen Zeynep, Bansal Kannu, Ganatra Sarju

You have to be authorized to contact abstract author. Please, Login
Not Available