Logo

American Heart Association

  131
  0


Final ID: MDP1390

Navigating the Diagnostic Challenges and Therapeutic Landscape of Giant Cell Myocarditis: A Compelling Case Study of Survival and Recovery

Abstract Body (Do not enter title and authors here): Introduction: Giant cell myocarditis (GCM), a rare and often fatal heart disease, presents diagnostic challenges due to its varied symptoms mimicking other cardiac conditions. Treatment can involve medical management and heart transplant. Early diagnosis and targeted therapy can improve survival without transplant.

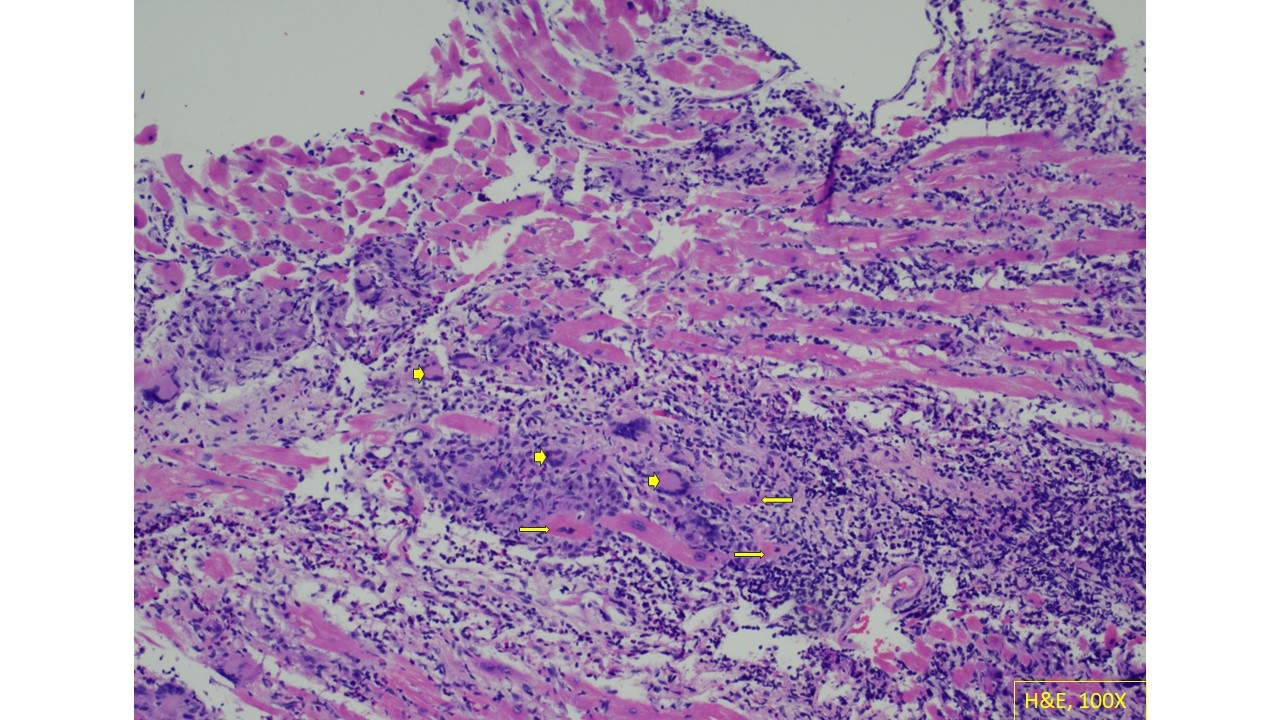
Case presentation: A 66-year-old female with type II diabetes, obesity, and coronary artery disease (CAD), presented with dyspnea, orthopnea, epigastric pain, and hypotension. Laboratory findings showed troponin at 2301 ng/L and lactic acidosis, with nonspecific ST changes on EKG prompting treatment for acute coronary syndrome (ACS). She was started on dobutamine and admitted to the cardiac ICU for cardiogenic shock. An echocardiogram revealed left ventricular ejection fraction (LVEF) of 25% with diffuse hypokinesis. She underwent coronary angiography which showed no significant obstructive CAD. She remained in cardiogenic shock despite inotropic support, prompting placement of an Impella and endomyocardial biopsy. Pathology revealed diffuse interstitial giant cells and multifocal cardiomyocyte necrosis, consistent with GCM. She was treated with pulse-dose steroids, tacrolimus, and placed on the heart transplant list. After 14 days with Impella 5.5 support, her LVEF improved to 45%. She has since been managed with mycophenolate, prednisone, and guideline-directed medical therapy for heart failure.

Discussion: Without treatment, GCM has a median survival of 3 months. Early diagnosis is often challenging as symptoms can mimic acute coronary syndrome. Refractory cardiogenic shock with myocardial injury in the presence of benign coronary angiography should prompt an endomyocardial biopsy to investigate uncommon etiologies such as GCM. While treatment primarily involves immunosuppressive therapy and heart transplantation, not all patients are eligible candidates for transplant. In this case, mechanical support stabilized the patient's hemodynamics, allowing immunosuppression to reverse myocardial inflammation, potentially improving survival, and reducing the need for a transplant. We highlight the diagnostic challenges of GCM and the critical role of medical and mechanical therapy in improving outcomes.
  • Bitton, Neria  ( Geisinger Medical Center , Danville , Pennsylvania , United States )
  • Caplan, Alex  ( Geisinger Medical Center , Danville , Pennsylvania , United States )
  • Nelson, Favour  ( Geisinger Medical Center , Danville , Pennsylvania , United States )
  • Olenginski, Gregory  ( Geisinger Medical Center , Danville , Pennsylvania , United States )
  • Gonter, Aric  ( Geisinger Medical Center , Danville , Pennsylvania , United States )
  • De Ridder, Gustaaf  ( Geisinger Health System , Danville , Pennsylvania , United States )
  • Carry, Brendan  ( Geisinger Medical Center , Danville , Pennsylvania , United States )
  • Henry, Lucie  ( Geisinger , Danville , Pennsylvania , United States )
  • Author Disclosures:
    Neria Bitton: DO NOT have relevant financial relationships | Alex Caplan: DO NOT have relevant financial relationships | Favour Nelson: DO NOT have relevant financial relationships | Gregory Olenginski: DO NOT have relevant financial relationships | Aric Gonter: DO NOT have relevant financial relationships | Gustaaf de Ridder: DO have relevant financial relationships ; Speaker:Sanofi:Active (exists now) ; Research Funding (PI or named investigator):Mallinckrodt:Active (exists now) ; Consultant:Mallinckrodt:Past (completed) | Brendan Carry: DO have relevant financial relationships ; Consultant:AstraZeneca:Active (exists now) ; Consultant:Daxor Corporation:Active (exists now) ; Consultant:Alnylam Pharmaceuticals:Active (exists now) ; Consultant:Pfizer:Active (exists now) | Lucie henry: No Answer
Meeting Info:

Scientific Sessions 2024

2024

Chicago, Illinois

Session Info:

Burning Questions: Clinical Scenarios for Inflammatory Cardiomyopathies

Monday, 11/18/2024 , 11:10AM - 12:35PM

Moderated Digital Poster Session

More abstracts on this topic:
A Rare Cause of a Classic Presentation of NSTEMI: Case of 39-Year-Old Female with Hypothyroidism Induced Myocarditis

Quadri Fayz, Qazi Mariam, Teague Taylor

Artificial Intelligence for Predicting Primary Antegrade Wiring Success of Chronic Total Occlusion Crossing

Alexandrou Michaella, Alaswad Khaldoon, Basir Mir, Davies Rhian, Jaffer Farouc, Nicholson William, Azzalini Lorenzo, Gorgulu Sevket, Khatri Jaikirshan, Bangalore Sripal, Rangan Bavana, Rempakos Athanasios, Mastrodemos Olga, Burke M Nicholas, Sandoval Yader, Brilakis Emmanouil, Mutlu Deniz, Strepkos Dimitrios, Carvalho Pedro, Al-ogaili Ahmed, Bahbah Ali, Anastasios Milkas, Tsiafoutis Ioannis

More abstracts from these authors:
Diagnosing An Uncommon Presentation of Cardiac Sarcoidosis with Isolated Bi-Atrial Involvement: A Case Report

Nelson Favour, Rajkarnikar Ruja, Carry Brendan

Management of Severe Non-Rheumatic Mitral Stenosis in Pregnancy

Caplan Alex, Nelson Favour, Henry Lucie, Lesser Henry, Carry Brendan

You have to be authorized to contact abstract author. Please, Login
Not Available