Logo

American Heart Association

  178
  0


Final ID: TMP53

Vessel Wall MRI: Adding value in the diagnostic evaluation of Cervical Artery Dissection

Abstract Body: Introduction:
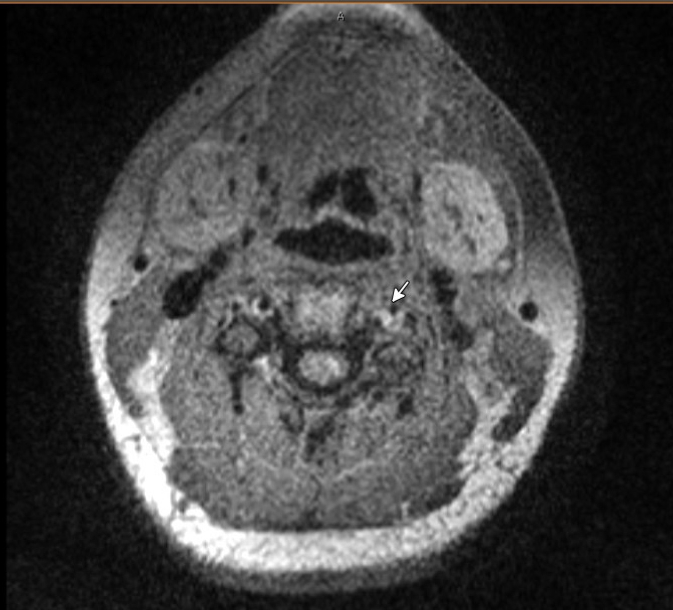
Cervical artery dissections (CAD) are a leading cause of stroke, particularly among younger individuals. Timely and accurate diagnosis is crucial for appropriate treatment and preventing further complications. This study compares a commonly used imaging modality for evaluating CAD; computed tomography angiography (CTA) with a novel imaging modality; Vessel Wall MR Imaging (VW-MRI). The aim is to highlight distinguishing features of CAD on VW-MRI, demonstrating its ability to offer better visualization of vessel wall abnormalities in select cases compared to conventional CTA.

Methodology:
Patients were selected from the University of Washington (UW) hospital system between 2022 and 2024. The screened patients included those either admitted directly from the Emergency Department due to new onset of neurological symptoms or transferred from Telehealth and affiliated hospitals after extensive disease was detected on CTA head and neck scans as part of stroke protocols. In accordance with our institutional stroke protocol all patients had initial vessel imaging with CTA followed by a VW-MRI which was obtained using a 3.0 Tesla scanner.

Results:
A total of 47 patients were identified with intracranial abnormalities initially picked on CTA. Of the total cases, 20 were initially suspected of CAD based on CTA, but only 13 were confirmed with dissections on VW-MRI. Amongst the seven cases which did not have a CAD on VW-MRI - two of them turned out to be artifactual, one of them was Fibromuscular Dysplasia (FMD), three showed atherosclerotic plaque and one was suggestive of a vasculitic process. In two cases, intracranial dissections were easily picked on VW-MRI, and in one case mural hematoma and in other two cases intraluminal thrombus were seen easily on VW-MRI, which were primarily missed on CTA.


Conclusion
Upon reviewing the patients during this period, it is evident that VW-MRI not only aids in localizing acute ischemic strokes but also plays a critical role in identifying CAD. Additionally, intracranial artery dissections, intramural hematomas, intraluminal thromboses and pseudoaneurysms had a better visualization on VW-MRI than on conventional CTA. VW-MRI adds value to the diagnosis of CAD, which can be beneficial in determining etiology of acute ischemic strokes for cases which have some degree of uncertainty and eventually may prove to be helpful in their long-term management.
  • Khan, Natasha  ( University of Washington , Seattle , Washington , United States )
  • Tirschwell, David  ( University of Washington , Seattle , Washington , United States )
  • Mossa-basha, Mahmud  ( University of Washington , Seattle , Washington , United States )
  • Safwat, Ahmed  ( University of Washington , Seattle , Washington , United States )
  • Wang, Maoxue  ( University of Washington , Seattle , Washington , United States )
  • Kharaji, Mona  ( University of Washington , Seattle , Washington , United States )
  • Author Disclosures:
    Natasha Khan: DO NOT have relevant financial relationships | David Tirschwell: DO have relevant financial relationships ; Consultant:AbbVie:Past (completed) ; Research Funding (PI or named investigator):Abbott:Active (exists now) | Mahmud Mossa-basha: DO NOT have relevant financial relationships | Ahmed Safwat: DO NOT have relevant financial relationships | Maoxue Wang: DO NOT have relevant financial relationships | Mona Kharaji: DO NOT have relevant financial relationships
Meeting Info:
Session Info:

Imaging Moderated Poster Tour II

Thursday, 02/06/2025 , 06:00PM - 07:00PM

Moderated Poster Abstract Session

More abstracts on this topic:
Contributions of life-course socioeconomic position to later-life MRI measures of vascular brain injury: Results from SOL-INCA-MRI

Filigrana Paola, Marquine Maria, Perreira Krista, Stickel Ariana, Testai Fernando, Decarli Charles, Isasi Carmen, Moon Jee-young, Gallo Linda, Gonzalez Hector, Lipton Richard, Tarraf Wassim, Cai Jianwen, Daviglus Martha, Kaplan Robert

Early Findings on the Impact of Renin-Angiotensin-Aldosterone System Inhibitors on Bicuspid Aortic Valve Disease Progression: A Single Center Cohort Study

Brem Ofir, Samuels Elchanan, Bental Tamir, Richter Ilan, Kornowski Ran, Hirsch Rafael, Witberg Guy, Schamroth Pravda Nili

You have to be authorized to contact abstract author. Please, Login
Not Available

Readers' Comments

We encourage you to enter the discussion by posting your comments and questions below.

Presenters will be notified of your post so that they can respond as appropriate.

This discussion platform is provided to foster engagement, and simulate conversation and knowledge sharing.

 

You have to be authorized to post a comment. Please, Login or Signup.


   Rate this abstract  (Maximum characters: 500)