Logo

American Heart Association

  119
  0


Final ID:

Recurrent Intracerebral Hemorrhage in the Young- Fault in the Genes?

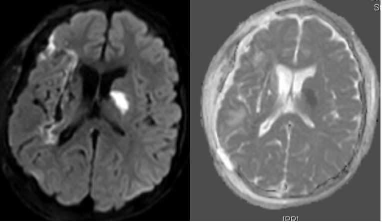
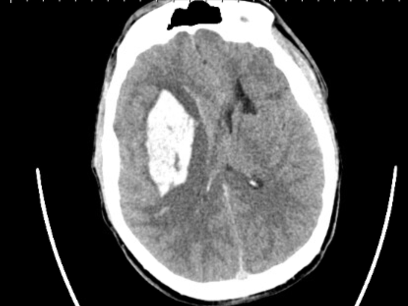
Case Summary: In less than 400 words, please summarize the case. Briefly describe the case and any particular complexities and/or complications encountered.: An 18-year-old male with past medical history of right basal ganglia (BG) intracranial hemorrhage (ICH) at age 6, hypertension, seizures, recurrent gastrointestinal (GI) bleeds, G-tube dependent, subdural hygroma requiring multiple pseudomeningocele taps, developed an episode of slurring of words, worsening left sided weakness, and unresponsiveness at the age of 17 years 6 months. CT head showed recurrent bleed in right BG and was taken for hemicraniectomy and evacuation. A subsequent MRI Brain revealed a left BG infarct.
DSA showed no AVM but presence of microaneurysm at left distal lenticulostriate artery and dissecting aneurysm at left calcarine artery. The patient was discharged to acute rehabilitation. MRA brain completed 3 months later showed multiple hemorrhagic foci in the brain parenchyma and old lacunar infarcts in the deep gray and white matter, concerning for a genetic etiology.
Neurological exam at his follow-up visit 5 months later revealed impaired fluency of speech and continued left sided weakness with spasticity of upper and lower extremities.
Due to concern for genetic etiology given the multiple strokes, microaneuryms on prior DSA, and multiple GI bleeds, whole exome sequencing (WES) was sent.
The WES was positive for 2 pathogenic variants for DADA2 gene (deficiency of adenosine deaminase 2).
Anti-TNF agent is the treatment of choice for patients with DADA2 and was also started for the patient. Anti-TNF treatment is typically lifelong to prevent future strokes.
DADA2 is a monogenic autoinflammatory disease characterized by systemic vasculitis, early-onset stroke, bone marrow failure, and/or immunodeficiency. Presentation with ICH is atypical. This is a rare genetic disorder (with less than 800 diagnosed cases), however, based on allele frequencies of in silico-predicted ADA2 damaging variants, the estimated prevalence of DADA2 could be as high as 4:100,000. The recognition and treatment can have a significant impact on the mortality and morbidity for patients that have this mutation, as well as presymptomatic detection and treatment in family members. This should be considered as a differential in cryptogenic strokes, particularly in the pediatric and young adult population.

Learning points-
The expected prevalence of DADA2 is higher than known.
It most commonly presents with recurrent strokes and must be treated with anti-TNF agents to prevent further strokes. Primary prevention may be indicated for the family members of those affected.
  • Bhayana, Kriti  ( UT Houston , Houston , Texas , United States )
  • Author Disclosures:
    Kriti Bhayana: DO NOT have relevant financial relationships
Meeting Info:
Session Info:

Complexities and Complications: Lessons In Training: Trainee Case Studies Session 1

Thursday, 02/06/2025 , 09:15AM - 10:45AM

ISC Invited Symposium

More abstracts on this topic:
Life Threatening Course of Otitis in a Toddler

Nicoletti Nicholas

Panelist

Mccullough Louise

More abstracts from these authors:
You have to be authorized to contact abstract author. Please, Login
Not Available

Readers' Comments

We encourage you to enter the discussion by posting your comments and questions below.

Presenters will be notified of your post so that they can respond as appropriate.

This discussion platform is provided to foster engagement, and simulate conversation and knowledge sharing.

 

You have to be authorized to post a comment. Please, Login or Signup.


   Rate this abstract  (Maximum characters: 500)