Logo

American Heart Association

  137
  0


Final ID: TP179

Hyperintense Acute Reperfusion Marker Sign in Patients with Diffusion Weighted Image-negative Transient Ischemic Attack

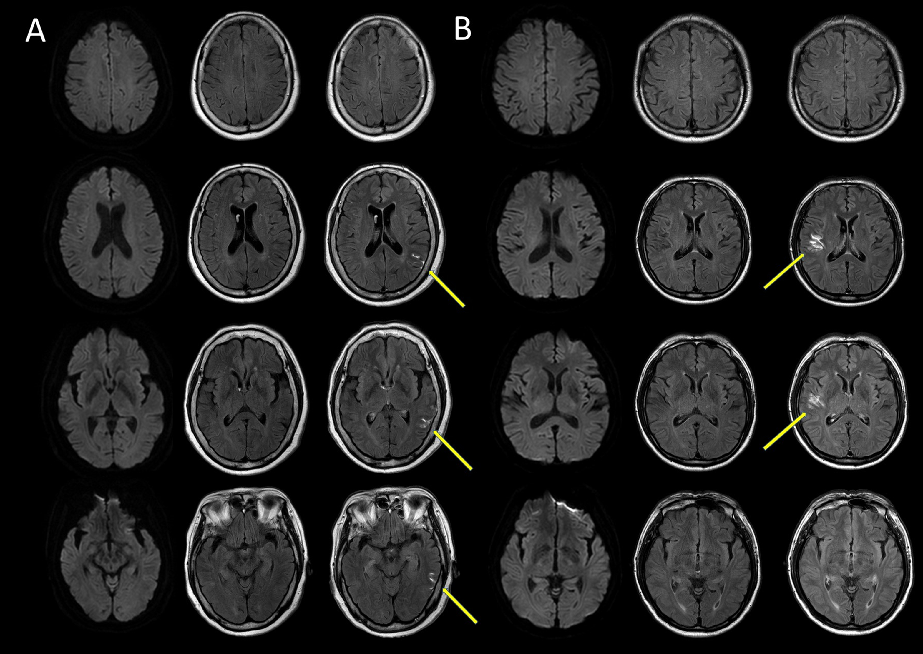
Abstract Body: Background: The hyperintense acute reperfusion marker (HARM) sign is a hyperintense signal observed on postcontrast fluid-attenuated recovery inversion images and is strongly associated with cerebral ischemic insults. The clinical significance of the HARM sign in transient ischemic attack (TIA) has rarely been studied, unlike that in stroke. This study investigated the relationship between the HARM sign and various clinical factors in diffusion-weighted imaging (DWI)-negative TIA. Furthermore, we investigated the relationship between the HARM sign with recurrence of TIA and ischemic stroke.
Methods: We included 329 consecutive patients with DWI-negative TIA and divided them into two groups according to the HARM sign: 299 patients in the HARM(-) group and 30 patients in the HARM(+) group. Clinical information, brain imaging, and follow-up data were gathered from medical records and phone calls and compared using the HARM sign.
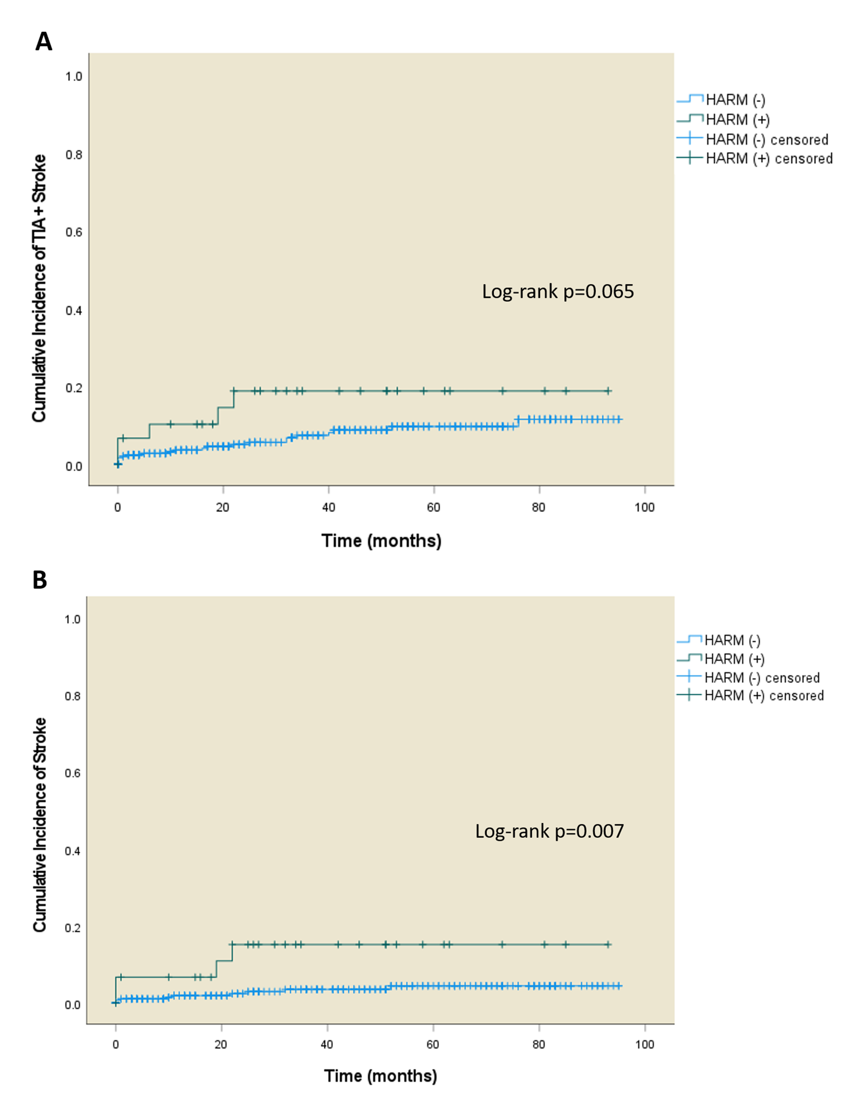
Results: The patients with HARM sign were older (70.7 vs. 64.4 years, p = 0.007), had more previous TIA or stroke history within 12 months (26.7% vs. 4.0%, p < 0.001), and had higher systolic blood pressure (154.3 vs. 144.1, p = 0.022). The HARM(+) group also had a shorter symptom duration of <1 hour (63.3% vs. 38.8%, p = 0.009) and more symptomatic stenosis (50–99%) or occlusion (60.0% vs. 14.0%, p < 0.001). Among the transient neurological symptoms, only cortical symptoms were more prevalent in the HARM(+) group (30.0% vs. 8.7%, p = 0.002). The total follow-up duration of both groups was similar, and the Kaplan-Meier analysis showed a higher cumulative incidence of recurrent stroke in the HARM(+) group (log-rank test, p = 0.007). However, multivariate Cox analysis indicated that symptomatic stenosis or occlusion, rather than the HARM sign, was independently associated with stroke recurrence.
Conclusion: The HARM sign in DWI-negative TIA patients is linked to older age, recent cerebrovascular events, shorter symptom duration, and large artery stenosis or occlusion. While the HARM sign correlates with higher recurrence of ischemic stroke, large artery stenosis or occlusion is the primary independent predictor.
  • Kim, Taewoo  ( Asan Medical Center , Seoul , Korea (the Republic of) )
  • Heo, Sung Hyuk  ( KYUNG HEE UNIVERSITY HOSPITAL , Seoul , Korea (the Republic of) )
  • Woo, Ho  ( Kyung Hee University Hospital , Seoul , Korea (the Republic of) )
  • Kim, Bum Joon  ( ASAN MEDICAL CENTER , Seoul , Korea (the Republic of) )
  • Lee, Kyung Mi  ( Kyung Hee University Hospital , Seoul , Korea (the Republic of) )
  • Chang, Dae-il  ( KYUNG HEE UNIVERCITY HOSPITAL , Seoul , Korea (the Republic of) )
  • Park, Sangil  ( Kyung Hee University Hospital , Seoul , Korea (the Republic of) )
  • Author Disclosures:
    Taewoo Kim: DO NOT have relevant financial relationships | Sung Hyuk Heo: DO NOT have relevant financial relationships | Ho Woo: No Answer | Bum Joon Kim: DO NOT have relevant financial relationships | Kyung Mi Lee: No Answer | Dae-il Chang: DO NOT have relevant financial relationships | Sangil Park: No Answer
Meeting Info:
Session Info:

Imaging Posters II

Thursday, 02/06/2025 , 07:00PM - 07:30PM

Poster Abstract Session

More abstracts on this topic:
Creating an Acute Sleep Medicine Service for Veterans Hospitalized with an Acute Ischemic Stroke or Transient Ischemic Attack – A Comparative Case Study from the Addressing Sleep Apnea Post-Stroke/TIA Hybrid Type I Stepped-Wedge Cluster Randomized Trial

Sico Jason, Perkins Anthony, Daggy Joanne, Bravata Dawn, Rattray Nicholas, Burrone Laura, Sexson Ali, Miech Edward, Story Kristin, Koo Brian, Taylor Stanley, Myers Laura

A Novel Imaging Biomarker to Make Precise Outcome Predictions for Patients with Acute Ischemic Stroke

Mallavarapu Monica, Kim Hyun Woo, Iyyangar Ananya, Salazar-marioni Sergio, Yoo Albert, Giancardo Luca, Sheth Sunil, Jeevarajan Jerome

More abstracts from these authors:
Factors associated with Silent Brain Infarcts after the Middle Cerebral Artery Stenting or Balloon Angioplasty

Lee Kyubong, Kim Bum Joon

EFFICACY OF OTAPLIMASTAT IN ACUTE STROKE PATIENTS REQUIRING REPERFUSION THERAPY STANDARD OF CARE: A POOLED ANALYSIS OF TWO DOUBLE-BLIND, RANDOMIZED, PLACEBO-CONTROLLED STUDIES

Kim Jong, Park Jongho, Park Man Seok, Oh Kyungmi, Park Jong-moo, Ju Chung, Kim Byung Su, Kim Won-ki, Man Ryu Jei, Lee Kyung Bok, Bae Hee-joon, Cha Jae-kwan, Kwon Jee-hyun, Chang Dae-il, Sung Sang Min, Kim Eung, Hwang Yangha

You have to be authorized to contact abstract author. Please, Login
Not Available

Readers' Comments

We encourage you to enter the discussion by posting your comments and questions below.

Presenters will be notified of your post so that they can respond as appropriate.

This discussion platform is provided to foster engagement, and simulate conversation and knowledge sharing.

 

You have to be authorized to post a comment. Please, Login or Signup.


   Rate this abstract  (Maximum characters: 500)