Logo

American Heart Association

  169
  0


Final ID: WMP71

Brain Frailty location is an independent predictor of functional outcome in patients undergoing recanalization treatment for Large Vessel Occlusion Stroke.

Abstract Body: Background
There is an unmet need to better understand the likelihood of a good functional outcome in older and frailer populations undergoing endovascular therapy (EVT) following large-vessel occlusion (LVO) ischemic stroke. One approach is to improve the understanding of pre-morbid brain health (“brain frailty”) as a predictor of functional outcome. This study explored the relationship between the spatial pattern of brain atrophy and functional outcome to determine whether this is a predictor of outcomes following EVT.
Methods
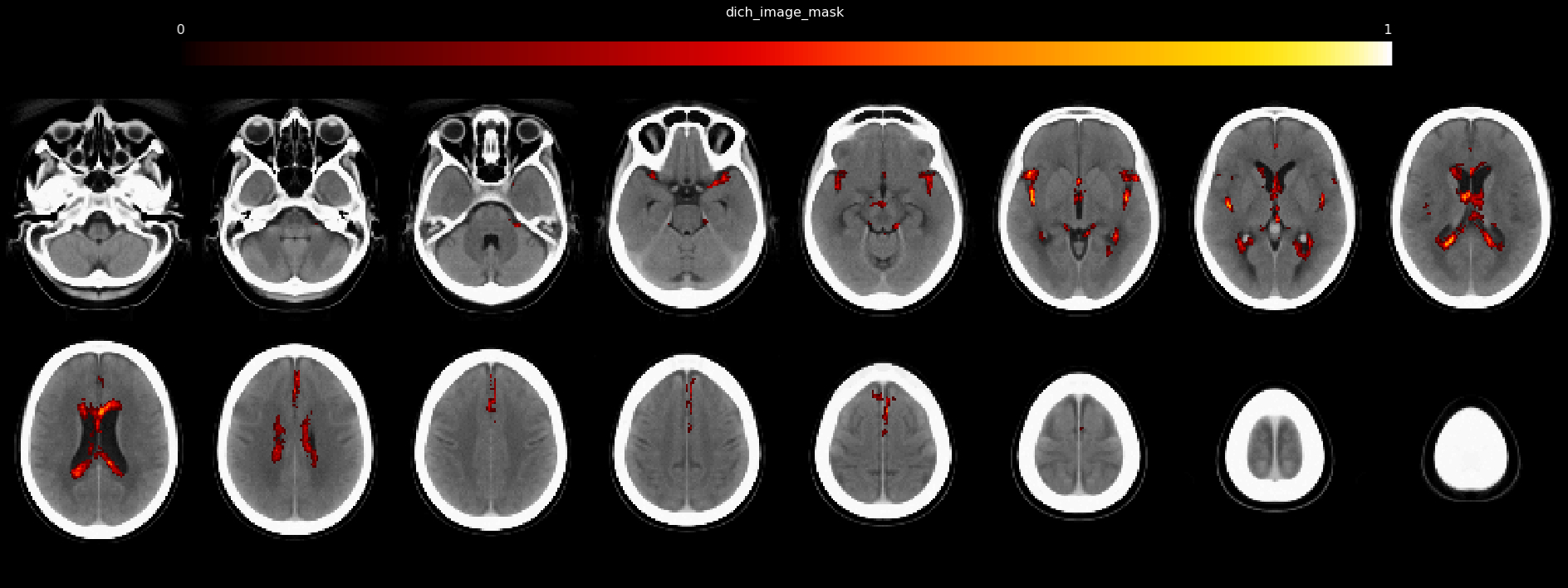
Patients with LVO from four hospitals in Europe and the USA were included. Three cohorts were used as a derivation cohort, and the fourth served for validation. Presenting CT imaging was processed using Brainomix in-house software to automatically localize and quantify atrophy (frailty-index). Masks from the derivation cohort were used to localize regions of atrophy significantly associated with poorer functional outcome (modified Ranking Scale 3-6) using a voxel-based, multivariate method (Sparse Canonical-Correlation-Analysis) (see Figure 1). For both derivation and validation cohorts, the degrees of overlap between each patient’s atrophy mask and the regions associated at a group level with poor outcome were calculated. This was used as an independent predictor of functional outcome in multivariate analysis adjusting for overall brain frailty-index, recanalization status, and ASPECT score
Results
The derivation cohort consisted of 658 patients (mean age 69.6±15.0, median ASPECTS 9 [7-10]), while the validation cohort consisted of 447 patients (mean age 64.7 ±15.5, median ASPECTS 8 [5-10] ). Atrophy localized to the lateral ventricles and sylvian fissure was significantly associated with poorer outcomes (Figure 1). In both derivation and validation cohort, the presence of this spatial pattern of brain frailty (quantified using the degree of overlap) was an independent predictor of poor functional outcome (Table 1).
Conclusion
A better understanding of pre-stroke brain health, such as the distribution of atrophy, may provide additional information to inform the prediction of outcome following LVO. This could improve patient selection for treatment following ischemic stroke through better prognostication and a more personalized approach to decision making.
  • Carone, Davide  ( Oxford University Hospitals NHS Foundation Trust , Oxford , United Kingdom )
  • Garrard, James  ( Brainomix , Oxford , United Kingdom )
  • Brinjikji, Waleed  ( Mayo Clinic , Rochester , Minnesota , United States )
  • Al Halak, Abdulrahman  ( West Virginia University , Morgantown , West Virginia , United States )
  • Rai, Ansaar  ( West Virginia University , Morgantown , West Virginia , United States )
  • Kallmes, David  ( Mayo Clinic , Rochester , Minnesota , United States )
  • Harston, George  ( Oxford University Hospitals , Oxford , United Kingdom )
  • Author Disclosures:
    Davide Carone: DO have relevant financial relationships ; Employee:Brainomix Ltd:Active (exists now) | James Garrard: DO have relevant financial relationships ; Employee:Brainomix:Active (exists now) | Waleed Brinjikji: No Answer | Abdulrahman Al Halak: DO NOT have relevant financial relationships | Ansaar Rai: DO have relevant financial relationships ; Consultant:Stryker Neurovascular:Active (exists now) ; Consultant:Anaconda:Active (exists now) ; Consultant:Cerenovus:Active (exists now) | David Kallmes: DO have relevant financial relationships ; Individual Stocks/Stock Options:Piraeus Medical:Active (exists now) ; Research Funding (PI or named investigator):Stryker:Past (completed) ; Research Funding (PI or named investigator):Medical Device Engineering:Active (exists now) ; Research Funding (PI or named investigator):Octapharma:Active (exists now) ; Research Funding (PI or named investigator):Sensome:Active (exists now) ; Research Funding (PI or named investigator):Cerenovus:Active (exists now) ; Ownership Interest:Superior Medical Editors:Active (exists now) ; Individual Stocks/Stock Options:Nested Knowledge:Active (exists now) ; Ownership Interest:Conway Medical:Active (exists now) | George Harston: DO have relevant financial relationships ; Employee:Brainomix:Active (exists now)
Meeting Info:
Session Info:

Imaging Moderated Poster Tour I

Wednesday, 02/05/2025 , 06:00PM - 07:00PM

Moderated Poster Abstract Session

More abstracts on this topic:
AI-driven Measurement of Myosteatosis in Coronary Artery Calcium Scans Predicts Atrial Fibrillation and Heart Failure. An AI-CVD Study within the Multi-Ethnic Study of Atherosclerosis (MESA)

Naghavi Morteza, Wong Nathan, Vliegenthart Rozemarijn, Mcconnell Michael, Maron David, Branch Andrea, Kloner Robert, Mechanick Jeffrey, Ma Ning, Yip Rowena, Fan Wenjun, Azimi Amir, Roy Sion, Nasir Khurram, Molloi Sabee, Fayad Zahi, Kakadiaris Ioannis, Abela George, Narula Jagat, Williams Kim, Shah Prediman, Benjamin Emelia, Atlas Kyle, Levy Daniel, Zhang Chenyu, Reeves Anthony, Atlas Thomas, Yankelevitz David, Mirjalili Seyed Reza, Henschke Claudia

A Simple One-Item Nursing Falls Assessment Predicts Outcomes For Patients With Stage D Heart Failure Undergoing Surgical Advanced Therapies

Salvador Vincent, Perez Jaime Abraham, Hudec Paige, Gorodeski Eiran, Oneill Thomas

More abstracts from these authors:
How dark is too dark? A multicentric retrospective study exploring the role of Net-Water-Uptake in predicting futile recanalization following mechanical thrombectomy.

Carone Davide, Brinjikji Waleed, Perry Alistair, Al Halak Abdulrahman, Vaclavik Daniel, Zamarro Joaquin, Rai Ansaar, Kallmes David, Harston George

Using CTP based Disconnectome Mapping to identify optimal candidates for endovascular treatment in acute ischemic stroke.

Carone Davide, Garrard James, Zarrintan Armin, Brinjikji Waleed, Harston George, Kallmes David

You have to be authorized to contact abstract author. Please, Login
Not Available

Readers' Comments

We encourage you to enter the discussion by posting your comments and questions below.

Presenters will be notified of your post so that they can respond as appropriate.

This discussion platform is provided to foster engagement, and simulate conversation and knowledge sharing.

 

You have to be authorized to post a comment. Please, Login or Signup.


   Rate this abstract  (Maximum characters: 500)