Logo

American Heart Association

  103
  0


Final ID: WMP46

FLAIR Hyperintense Vessels in the Right MCA Parietal Region Predict Left Viewer-Centered Neglect in Acute Right Hemisphere Stroke Patients

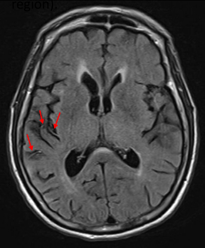
Abstract Body: Both left hemisphere (LH) and right hemisphere (RH) stroke can cause contralesional viewer-centered neglect (VCN) or stimulus-centered neglect (SCN). Studies using perfusion imaging have shown that in acute stroke, hypoperfusion beyond the infarct contributes to deficits, including neglect. However, perfusion imaging is not always available. FLAIR hyperintense vessel (FHV; Fig. 1) number and site estimate the volume and site of hypoperfusion. We hypothesized that FHV rating in the right parietal cortex would contribute to VCN.

A series of 256 consenting acute stroke patients (82 LH and 174 RH) completed a neglect task with 30 ovals – 10 full, 10 with a gap on the left, and 10 with a gap on the right. Patients were asked to circle full ovals and cross out ovals with a gap on either side. We defined VCN as >10% of ovals unmarked after the most extreme mark (Fig. 2), and SCN as neglecting or incorrectly marking >10% of contralesional gaps (Fig. 3). On FLAIR sequences, we identified FHVs in 4 MCA regions: frontal, temporal, parietal, and insular, as well as ACA and PCA territories. Each region was scored from 0 to 2: 0 = no FHVs; 1 = 1-2 FHVs on 1-2 slices; 2 = 3 or more vessels on 1 slice or 3 or more slices with at least 1 FHV (total=0-12). Infarct volume was calculated after manual tracing of lesions on DWI. We used multivariable logistic regression, with the presence of VCN or SCN as the dependent variable, and FHV ratings in each territory, infarct volume, and age as independent variables. We used chi squared tests to test associations between dichotomous variables.

In LH stroke, SCN was more common than VCN (21% vs. 5%; X2= 9.3; p=0.002). VCN was more common in RH than LH stroke (13% vs 5%; X2= 4.1; p=0.04). In RH stroke, left VCN was independently predicted by age (p=0.005), volume of infarct (p<0.0001), and FHV score in the right parietal cortex (p=0.03). Together, these accounted for 40% of the variance in left VCN (pseudo r2= 40.2; p<0.00001). In LH stroke, right VCN was not independently predicted by any variable. However, together, age, infarct volume, and FHV in each region accounted for 52% of the variance in right VCN (pseudo r2= 51.8; p=0.008). SCN was not predicted by these variables.

In conclusion, we showed that left VCN in acute RH stroke can be predicted by age, infarct volume, and FHV score in the right parietal cortex. These results illustrate the usefulness of FHV in specific locations for estimating clinically significant hypoperfusion.
  • Raman, Ashley  ( JOHNS HOPKINS UNIV SCH MED , Baltimore , Maryland , United States )
  • Hillis, Argye  ( JOHNS HOPKINS UNIV SCH MED , Baltimore , Maryland , United States )
  • Author Disclosures:
    Ashley Raman: DO NOT have relevant financial relationships | Argye Hillis: DO have relevant financial relationships ; Research Funding (PI or named investigator):NIH:Active (exists now) ; Independent Contractor:Elsevier:Active (exists now) ; Independent Contractor:AHA:Active (exists now)
Meeting Info:
Session Info:

Clinical Rehabilitation and Recovery Moderated Poster Tour

Wednesday, 02/05/2025 , 06:00PM - 07:00PM

Moderated Poster Abstract Session

More abstracts on this topic:
Contributions of life-course socioeconomic position to later-life MRI measures of vascular brain injury: Results from SOL-INCA-MRI

Filigrana Paola, Marquine Maria, Perreira Krista, Stickel Ariana, Testai Fernando, Decarli Charles, Isasi Carmen, Moon Jee-young, Gallo Linda, Gonzalez Hector, Lipton Richard, Tarraf Wassim, Cai Jianwen, Daviglus Martha, Kaplan Robert

Association Between Computed Tomography Perfusion Parameters and Functional Independence in Acute Ischemic Stroke Post-Endovascular Therapy: A Secondary Analysis from the SELECT Study

Narangoli Adeeb, Sila Cathy, Opaskar Amanda, Xiong Wei, Degeorgia Michael, Duncan Kelsey, Ray Abhishek, Hu Yin, Sunshine Jeffrey, Bambakidis Nicholas, Sarraj Amrou, Yaghmoor Bassam, Pujara Deep, Alshaibi Faisal, Saidi Yazid, Shafiq Ameena, Albedaiwi Mohammed, Al Mostaneer Alhassin, Sundararajan Sophia

More abstracts from these authors:
Naming Decline after Left Hemisphere Stroke

Neal Voss, Zhang Wen, Faria Andreia, Hillis Argye, Stockbridge Melissa

Lesion Volume and Location Correlate with Picture Description using the New NIH Stroke Scale Stimuli

Stockbridge Melissa, Neal Voss, Liu Shun, Diaz-carr Isidora, Kang Joseph, Faria Andreia, Hillis Argye

You have to be authorized to contact abstract author. Please, Login
Not Available

Readers' Comments

We encourage you to enter the discussion by posting your comments and questions below.

Presenters will be notified of your post so that they can respond as appropriate.

This discussion platform is provided to foster engagement, and simulate conversation and knowledge sharing.

 

You have to be authorized to post a comment. Please, Login or Signup.


   Rate this abstract  (Maximum characters: 500)