Logo

American Heart Association

  122
  0


Final ID: TMP54

Development and testing of a fully automated tool for the detection, segmentation, and characterization of cervical carotid atherosclerotic disease

Abstract Body: Background: Rapid, accurate diagnosis and characterization of carotid atherosclerosis can help prevent disabling strokes. Although carotid plaques can be identified on CT angiography (CTA), interpretation is challenging for frontline physicians. Quantification of plaque volume/composition requires much manual effort. We developed and tested a fully automated tool for segmenting carotid lumens and delineating atherosclerotic plaque, distinguishing between calcific and hypodense components.

Methods: We used 528 consecutive cases with CTA head/neck from a population of 7,745 patients with ischemic stroke and transient ischemic attack in an entire province (Alberta) presenting from 1-April-2016 to 31-March-2017. Trained readers supervised by a radiologist manually segmented right and left carotid artery lumens from 3 vertebral bodies below the bulb to 3 above, and segmented regions of carotid atherosclerotic plaque, regardless of degree of stenosis, separately labelling calcific and hypodense components. Cases were split 80/20 between training and testing datasets. The fully automated pipeline included coarse-scale detection of regions of interest, a two-stream U-shaped network for detection and segmentation of lumens and plaques, and a geometry-based inference algorithm to distinguish left and right labels. We evaluated plaque detection using diagnostic performance measures and segmentation using the Dice coefficient.

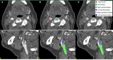
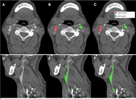
Results: 422 cases were used for training and 106 for testing. In testing data, the fully automated tool achieved excellent performance for bilateral segmentation of carotid lumens (Dice 0.91, 95%CI:0.90-0.92, e.g. Figure 1). For detection of calcific and hypodense plaque components, respectively, the model achieved sensitivity of 96.5% (95%CI:89.3-99.1%) and 97.3% (89.6-99.5%), specificity of 95.2% (74.1-99.8%) and 75.8% (57.4-88.3%), positive predictive value of 98.8% (92.6-99.9%) and 89.9% (80.5-95.2%), negative predictive value of 87.0% (65.3-96.6%) and 92.6% (74.2-98.7%), and accuracy of 96.2% (90.1-98.8%) and 90.6% (82.9-95.1%, e.g. Figure 2). Dice score was 0.73 (0.69-0.76) for calcific plaque and 0.53 (0.49-0.57) for hypodense plaque.

Conclusions: Our fully automated tool achieved good performance for detection and segmentation of carotid plaques. Calcific and hypodense plaque volumes can be automatically generated from these labels. Efforts are underway to further optimize the specificity and segmentation performance for hypodense plaques.
  • Zhang, Jianhai  ( UNIVERSITY OF CALGARY , Calgary , Alberta , Canada )
  • Qiu, Wu  ( Huazhong University of Science and Technology , Wuhan , China )
  • Ganesh, Aravind  ( UNIVERSITY OF CALGARY , Calgary , Alberta , Canada )
  • Barakhanov, Kazbek  ( UNIVERSITY OF CALGARY , Calgary , Alberta , Canada )
  • Kaveeta, Chitapa  ( Siriraj Hospital Mahidol University , Bangkok , Thailand )
  • Alhabli, Ibrahim  ( UNIVERSITY OF CALGARY , Calgary , Alberta , Canada )
  • Pensato, Umberto  ( UNIVERSITY OF CALGARY , Calgary , Alberta , Canada )
  • Ramkumar, Raksha  ( UNIVERSITY OF CALGARY , Calgary , Alberta , Canada )
  • Macdonald, M Ethan  ( UNIVERSITY OF CALGARY , Calgary , Alberta , Canada )
  • Singh, Nishita  ( University of Manitoba , Winnipeg , Manitoba , Canada )
  • Menon, Bijoy  ( UNIVERSITY OF CALGARY , Calgary , Alberta , Canada )
  • Author Disclosures:
    Jianhai Zhang: DO NOT have relevant financial relationships | Wu Qiu: No Answer | Aravind Ganesh: DO have relevant financial relationships ; Ownership Interest:SnapDx Inc:Active (exists now) ; Research Funding (PI or named investigator):Philips Foundation:Past (completed) ; Research Funding (PI or named investigator):Microvention:Past (completed) ; Speaker:Biogen:Past (completed) ; Speaker:Alexion:Past (completed) ; Consultant:Servier Canada:Past (completed) ; Ownership Interest:Let's Get Proof (Collavidence Inc):Active (exists now) | Kazbek Barakhanov: DO NOT have relevant financial relationships | Chitapa Kaveeta: DO NOT have relevant financial relationships | Ibrahim Alhabli: DO NOT have relevant financial relationships | Umberto Pensato: DO NOT have relevant financial relationships | Raksha Ramkumar: DO NOT have relevant financial relationships | M Ethan MacDonald: DO NOT have relevant financial relationships | Nishita Singh: DO NOT have relevant financial relationships | Bijoy Menon: DO have relevant financial relationships ; Individual Stocks/Stock Options:Circle CVI:Active (exists now) ; Advisor:Boehringer Ingelheim:Past (completed)
Meeting Info:
Session Info:

Imaging Moderated Poster Tour II

Thursday, 02/06/2025 , 06:00PM - 07:00PM

Moderated Poster Abstract Session

More abstracts on this topic:
A 50% or Greater Reduction in LDL-Cholesterol Is Associated with Improved Long-Term Outcomes and Lower Health Care Utilization After Myocardial Infarction - a SWEDEHEART study

Reitan Christian, Watanabe Alexandre, Bash Lori, Galvain Thibaut, Arnet Urs, Jernberg Tomas

A major uremic toxin indoxyl sulfate impairs macrophage efferocytosis and accelerates atherogenesis: a potential mechanism for cardiovascular risk in chronic kidney disease

Jha Prabhash, Kasai Taku, Vromman Amelie, Holden Rachel, Libby Peter, Tabas Ira, Singh Sasha, Aikawa Elena, Aikawa Masanori, Lupieri Adrien, Sonawane Abhijeet, Le Thanh-dat, Becker-greene Dakota, Chelvanambi Sarvesh, Turner Mandy, Nakamura Yuto, Passos Livia

More abstracts from these authors:
External Validation of an Automated Hemorrhage Detection and Segmentation Algorithm on Follow-up CT scans in the AcT trial

Zhang Jianhai, Kaveeta Chitapa, Alhabli Ibrahim, Bala Fouzi, Almekhlafi Mohammed, Menon Bijoy, Qiu Wu, Singh Nishita, Ganesh Aravind

Prevalence, Characteristics, and Recurrent Event Risk of Cerebrovascular Fibromuscular Dysplasia in Patients with Ischemic Stroke or Transient Ischemic Attack– A Population-level Study

Kathuveetil Arun, Ray Sucharitha, Hewawasan Yovan, Peters Steven, Menon Bijoy, Singh Nishita, Ganesh Aravind

You have to be authorized to contact abstract author. Please, Login
Not Available

Readers' Comments

We encourage you to enter the discussion by posting your comments and questions below.

Presenters will be notified of your post so that they can respond as appropriate.

This discussion platform is provided to foster engagement, and simulate conversation and knowledge sharing.

 

You have to be authorized to post a comment. Please, Login or Signup.


   Rate this abstract  (Maximum characters: 500)