Logo

American Heart Association

  102
  0


Final ID: WP215

Reliability and Agreement of Artificial Intelligence and Semi-Autonomous Quantification of Anticoagulant-Related Supratentorial Intraparenchymal Hemorrhage

Abstract Body: Background
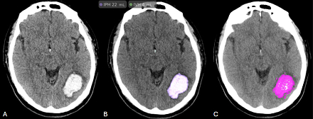
FDA clearance of fully automated artificial intelligence (AI)-based software for quantifying intracerebral hemorrhage (ICH) volumes has the potential to meaningfully impact the acute management of hemorrhagic stroke. ICH volume is a critical prognostic factor, with larger hemorrhages associated with oral anticoagulant (OAC) use typically resulting in poorer outcomes. Quantifying ICH volume in OAC-related ICH presents challenges due to variability of morphology and density. Although prior studies suggest AI models may improve the accuracy of ICH volume calculation compared to the ABC/2 method and Semi-Autonomous Segmentation (SAS), there is limited data evaluating their performance in OAC-related ICH.

Methods
A retrospective analysis was conducted on 161 adults presenting to a comprehensive stroke center from 2016-2021 with acute supratentorial OAC-related ICH. Volumes on initial de-identified CT brain were measured using SAS (Syngo.Via, Siemens) and AI (Viz ICH volume, Viz.ai). Agreement of ICH volumes between SAS and AI was assessed using the Intraclass Correlation Coefficient (ICC) for absolute agreement. A two-way mixed effects model was employed for single measurements. A Bland-Altman (BA) analysis with proportional bias assessment was performed. Data analysis was conducted using R studio.

Results
Out of 161 adults, 50 met eligibility criteria and 39 (78%) CT scans were analyzed by AI and SAS. AI software failed to correctly process 11 scans due to small ICH volumes (n=8), misclassification of lesions as subdural (n=1), or image retrieval issues (n=2). For the 39 scans that were analyzed, the median ICH volume measured by SAS was 15.89 cm3 (IQR 5.69 – 41.86 cm3) and by AI was 17.0 cm3 (IQR 5.0 – 44.5 cm3). The ICC for absolute agreement between the software platforms was 0.973 (95% CI 0.950 – 0.986), indicating excellent reliability. A BA plot revealed a mean difference (bias) of -0.861 cm3 (95% CI -3.1 – 1.37 cm3) with limits of agreement from -14.84 cm3 to 13.12 cm3, demonstrating good agreement between the two methods with no significant proportional bias.

Conclusions
There is strong agreement and reliability in OAC-related ICH volume measurements between SAS and AI. Such local validation is imperative for safe and responsible integration of AI tools into clinical workflows. Further research into limitations of AI, including failure modes and biases is necessary to inform human oversight.
  • Sokola, Maria  ( Cleveland Clinic Foundation , Cleveland , Ohio , United States )
  • Hassett, Catherine  ( Cleveland Clinic Foundation , Cleveland , Ohio , United States )
  • Shah, Chintan  ( Cleveland Clinic Foundation , Cleveland , Ohio , United States )
  • Ahrens, Christine  ( Cleveland Clinic Foundation , Cleveland , Ohio , United States )
  • Gomes, Joao  ( Cleveland Clinic Foundation , Cleveland , Ohio , United States )
  • Author Disclosures:
    Maria Sokola: DO NOT have relevant financial relationships | Catherine Hassett: DO NOT have relevant financial relationships | Chintan Shah: DO have relevant financial relationships ; Individual Stocks/Stock Options:Penumbra Inc:Active (exists now) ; Other (please indicate in the box next to the company name):Pfizer, Inc (Spouse is an employee):Active (exists now) | Christine Ahrens: DO have relevant financial relationships ; Researcher:Chiesi Pharmaceuticals:Active (exists now) | Joao Gomes: DO NOT have relevant financial relationships
Meeting Info:
Session Info:

Intracerebral Hemorrhage Posters I

Wednesday, 02/05/2025 , 07:00PM - 07:30PM

Poster Abstract Session

More abstracts on this topic:
A Deep Learning Digital Biomarker for Mitral Valve Prolapse using Echocardiogram Videos

Al-alusi Mostafa, Khurshid Shaan, Sanborn Danita, Picard Michael, Ho Jennifer, Maddah Mahnaz, Ellinor Patrick, Lau Emily, Small Aeron, Reeder Christopher, Shnitzer Dery Tal, Andrews Carl, Kany Shinwan, Ramo Joel, Haimovich Julian

4D Cardiac Magnetic Resonance Identifies Differences in Regional Strain Patterns Among Pediatric Heart Transplant Patients with Acute Rejection or Cardiac Allograft Vasculopathy

Henderson Christopher, Starnes Joseph, Samyn Margaret, Damon Bruce, Hernandez Lazaro, Goergen Craig, Soslow Jonathan, Prado Marco Aurélio, Earl Conner, Georgedurrett Kristen, Lee Simon, Nandi Deipanjan, Chan Kak-chen, Shugh Svetlana, Kikano Sandra

More abstracts from these authors:
Quantitative Volumetric Computed Tomography Density Predicts Basal Ganglia Hemorrhage Expansion and Enhances Spot Sign Diagnostic Accuracy

Kashkoush Ahmed, Winkelman Robert, Achey Rebecca, Davison Mark, Kshettry Varun, Moore Nina, Gomes Joao, Bain Mark

You have to be authorized to contact abstract author. Please, Login
Not Available

Readers' Comments

We encourage you to enter the discussion by posting your comments and questions below.

Presenters will be notified of your post so that they can respond as appropriate.

This discussion platform is provided to foster engagement, and simulate conversation and knowledge sharing.

 

You have to be authorized to post a comment. Please, Login or Signup.


   Rate this abstract  (Maximum characters: 500)