Logo

American Heart Association

  113
  0


Final ID: TMP56

Comparison of HEmorrhage on CT versus MRI After ThrombEctomy: The HECATE study

Abstract Body: Background
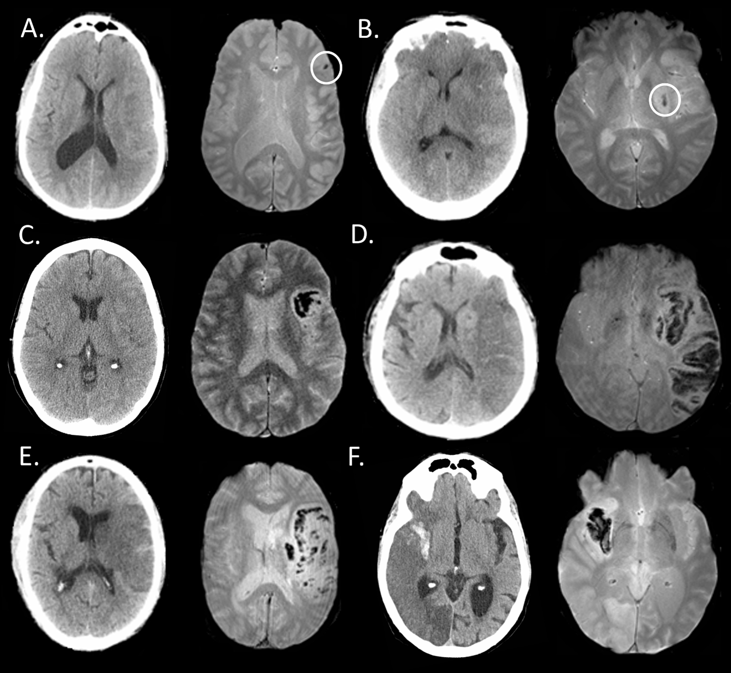
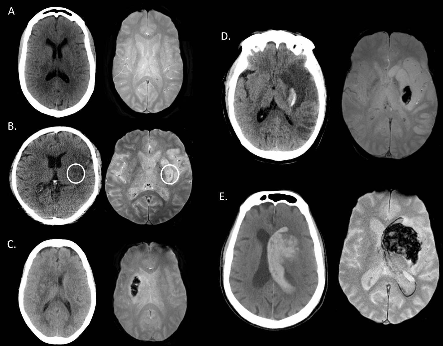
The characterization of hemorrhage following acute stroke intervention has largely been CT-based. We sought to compare MRI- and CT-based scoring of hemorrhage after acute endovascular therapy (EVT) applying the Heidelberg Bleeding Classification (HBC) to assess inter-modal agreement and quantify inter-rater agreement.

Methods
Consecutive acute stroke patients were included in this retrospective study if they: i) had MRI and CT ≤12 hours of each other OR ii) had CT bracketed by MRI pre- and post-CT [i.e. MRI-CT-MRI] ≤7 days post-EVT. The concordance of the HBC ratings by consensus panel were compared between CT and T2*GRE MRI.

Results
For the 87 EVT-treated patients included, median age was 68 years [60-74], admit NIHSS 18 [13-23], 47% were treated with IV/IA thrombolytics, and 93% were successfully recanalized (mTICI 2b/3). Hemorrhage was detected on at least one modality in 60% (52/87) of patients. We found a 68% (59/87, 95% CI [57-77%]) agreement overall between CT and MRI for hemorrhage classification post-EVT. MRI had the best inter-rater agreement for HBC 0 (no hemorrhage) with excellent concordance (κ=0.882), compared to CT (κ=0.683). T2*GRE MRI tended to have increased sensitivity to scattered petechial hemorrhage (HBC 1a) as compared to CT with 17% (2/12) inter-modal agreement. The inter-rater agreement of HBC class 2 (i.e. PH-2) was substantial for MRI (κ=0.781) and excellent in CT (κ=0.951), with 67% (8 /12) inter-modal agreement. SAH was detected in 24% (21/87) of patients on CT and/or MRI with 29% (6/21) inter-modal agreement.

Conclusions
With the exception of SAH and minor petechial hemorrhagic transformation, we found that MRI and CT are overall interchangeable for detecting and classifying hemorrhage after endovascular therapy, reassuring findings for both clinical-decision making and research application. Given the complexity of hemorrhage subtypes post-EVT, work to further refine a post-EVT hemorrhage classification scale with clinical correlation would be beneficial.
  • Hsia, Amie  ( MEDSTAR HEALTH , Washington , District of Columbia , United States )
  • Latour, Lawrence  ( NINDS-NIH , Gaithersburg , Maryland , United States )
  • Somani, Sana  ( MedStar Washington Hospital Center , Washington , District of Columbia , United States )
  • Lomahan, Carolyn  ( NIH and Karolinska Institutet , Bethesda , Maryland , United States )
  • Kim, Yongwoo  ( MEDSTAR HEALTH , Washington , District of Columbia , United States )
  • Lynch, John  ( NIH , Bethesda , Maryland , United States )
  • Luby, Marie  ( NIH , Glastonbury , Connecticut , United States )
  • Author Disclosures:
    Amie Hsia: DO NOT have relevant financial relationships | Lawrence Latour: DO NOT have relevant financial relationships | Sana Somani: DO NOT have relevant financial relationships | Carolyn Lomahan: DO NOT have relevant financial relationships | Yongwoo Kim: DO NOT have relevant financial relationships | John Lynch: No Answer | Marie Luby: DO NOT have relevant financial relationships
Meeting Info:
Session Info:

Imaging Moderated Poster Tour II

Thursday, 02/06/2025 , 06:00PM - 07:00PM

Moderated Poster Abstract Session

More abstracts on this topic:
Age- and Sex-Related Coronary Atherosclerosis by Artificial Intelligence Quantitative Coronary CT Angiography from the INVICTUS Registry

Okubo Ryo, Ichikawa Keishi, Abe Mitsunori, Kitagawa Toshiro, Ikenaga Hiroki, Osawa Kazuhiro, Saji Mike, Iguchi Nobuo, Nakazawa Gaku, Takahashi Kuniaki, Ijichi Takeshi, Matsuo Hitoshi, Mikamo Hiroshi, Kurata Akira, Moroi Masao, Iijima Raisuke, Crabtree Tami, Min James, Earls James, Nakanishi Rine, Sobue Yoshihiro, Kaneko Umihiko, Sato Hideyuki, Fujimoto Shinichiro, Nozaki Yui, Kajiya Takashi, Miyoshi Toru

Acute intracranial stenting among patients with large vessel occlusion: Clinical and radiological outcomes of the RESISTANT International registry

Requena Manuel, Lopez-frias Alfonso, Hassan Ameer, Miller Samantha, Zapata-arriaza Elena, De Alboniga-chindurza Asier, Bergui Mauro, Molinaro Stefano, Sousa Joao Andre, Gomes Fábio, Alexandre Andrea, Olive-gadea Marta, Pedicelli Alessandro, Hofmeister Jeremy, Machi Paolo, Scarcia Luca, Kalsoum Erwah, Meira Torcato, Amorim José, Ortega-gutierrez Santiago, Rodriguez Aaron, Capasso Francesco, Kaesmacher Johannes, Renieri Leonardo, Romano Daniele, Barcena Eduardo, Abdalkader Mohamad, Perry Da Camara Catarina, Yavagal Dileep, Vega Pedro, Ozdemir Atilla Ozcan, Smajda Stanislas, Khalife Jane, Mujanovic Adnan, Biraschi Francesco, Castro Pedro, Siddiqui Adnan, Navia Pedro, Ntoulias Nikolaos, Velo Mariano, Zamarro Joaquin, Zaidat Osama, Sierra-gomez Alicia, Marto Joao Pedro, Geyik Serdar, Tomasello Alejandro, Senadim Songul, Cervo Amedeo, Salcuni Andrea, Moreu Manuel

You have to be authorized to contact abstract author. Please, Login
Not Available

Readers' Comments

We encourage you to enter the discussion by posting your comments and questions below.

Presenters will be notified of your post so that they can respond as appropriate.

This discussion platform is provided to foster engagement, and simulate conversation and knowledge sharing.

 

You have to be authorized to post a comment. Please, Login or Signup.


   Rate this abstract  (Maximum characters: 500)