Logo

American Heart Association

  100
  0


Final ID: FR413

Beyond the Tumor: Persistent Hypertension and Delayed Cardiac Recovery Following Complex Paraganglioma Resection

Abstract Body: Case Presentation:
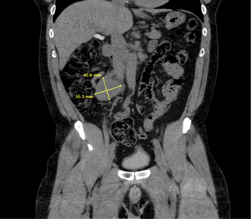
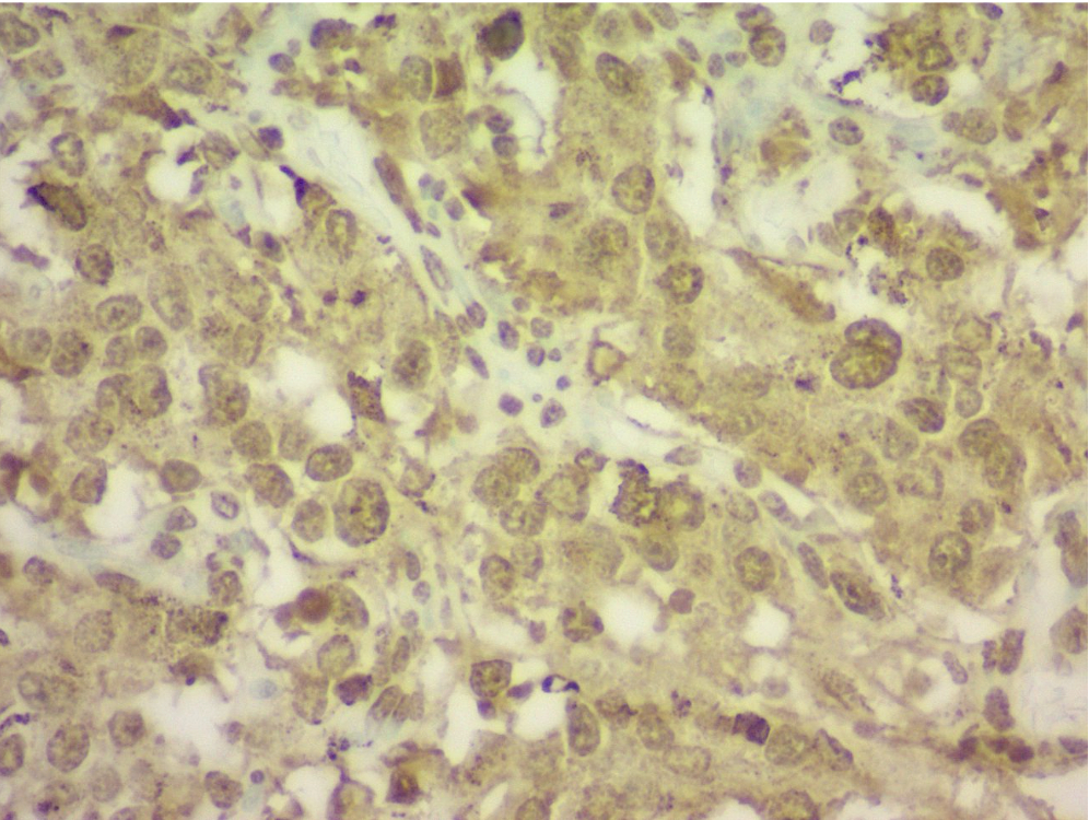
A 47-year-old African-American male with no known cardiac history presented with hypertensive emergency, acute heart failure (LVEF 30–35%), and multiorgan dysfunction. Imaging revealed a 14 cm extra-adrenal paraganglioma encasing the bilateral renal arteries, IVC, and adjacent vascular structures. Preoperative echocardiograms showed a progressive decline in LVEF from 45–50% to 30–35% over five months within diagnosis of paraganglioma. Surgical resection was performed, and histology confirmed paraganglioma. After resection, the patient continued to exhibit persistent hypertension despite adherence to antihypertensive therapy and lifestyle modification.

Differential Diagnosis:
Differentials included essential hypertension, renovascular hypertension, catecholamine-induced cardiomyopathy, and stress cardiomyopathy. The elevated catecholamines, vascular encasement, and classic symptoms confirmed a diagnosis of paraganglioma-associated secondary hypertension.

Treatment and Management:
Following resection, the patient was managed on losartan, carvedilol, prazosin, and nifedipine for blood pressure control, along with guideline-directed medical therapy for heart failure. He was discharged with a wearable defibrillator and referred for outpatient follow-up.

Outcome and Follow-Up:
He reported symptomatic improvement, and an LVEF was noted to improved to 45% after 3 weeks post resection. However, the patient remained severely hypertensive (SBP >180 mmHg) at multiple visits. He was compliant with therapy and lifestyle changes, but socioeconomic barriers limited access to further diagnostic workup and optimization.

Teaching Points:
This case highlights the complexity of managing catecholamine-induced cardiomyopathy, including potential for delayed cardiac recovery and persistent postoperative hypertension. Despite tumor resection and clinical stabilization, irreversible vascular and myocardial remodeling may contribute to long-term cardiovascular risk. Additionally, socioeconomic factors may limit optimal follow-up and secondary hypertension evaluation. Persistent hypertension after biochemical cure should not be underestimated and warrants aggressive, individualised outpatient management.
  • Pitasari, Josephine  ( Mclaren Flint/Michigan State University , Flint , Michigan , United States )
  • Gul, Sajjad  ( University of South Florida , Tampa , Florida , United States )
  • Kundu, Sumana  ( Sutter Health/Alta Bates Summit Medical Center , Oakland , California , United States )
  • Nosheen, Hajra  ( Mclaren Flint/Michigan State University , Flint , Michigan , United States )
  • Kenmoe, Jerry  ( Mclaren Lansing/Michigan State University , Lansing , Michigan , United States )
  • Munir, Ahmad  ( Mclaren Flint/Michigan State University , Flint , Michigan , United States )
  • Author Disclosures:
    Josephine Pitasari: DO NOT have relevant financial relationships | Sajjad Gul: No Answer | Sumana Kundu: No Answer | Hajra Nosheen: No Answer | Jerry Kenmoe: No Answer | Ahmad Munir: No Answer
Meeting Info:
Session Info:

Poster Session 2 with Breakfast Reception

Friday, 09/05/2025 , 09:00AM - 10:30AM

Poster Session

More abstracts on this topic:

A Longitudinal 20-year Analysis Indicates Acceleration of Cardiometabolic Comorbidities on Dementia Risk

Lihua Huang, Danish Muhammad, Auyeung Tw, Jenny Lee, Kwok Timothy, Abrigo Jill, Wei Yingying, Lo Cecilia, Fung Erik

2 Dimensional Echocardiography versus 3 Dimentional Echocardiography to Assess Right Ventricular Function in Pulmonary Hypertension: A Systematic Review

Chaudhry Waleed Razzaq, Hajj Fatima, Bathula Satyamedha, Meghji Mohammed Askari, Pasupuleti Hemalatha, Kiyani Madiha, Shah Syeda Simrah, Neelakantan Ramaswamy Sanathanan, Mirzaeidizaji Nakisa, St. Jacques Jahnoy, Khan Khalil Ullah, Veluchamy Elakkiya, Jesse Joshanna

You have to be authorized to contact abstract author. Please, Login
Not Available