Logo

American Heart Association

  94
  0


Final ID: TH273

UNMASKING THE SILENT THUNDER : LATE POSTPARTUM ECLAMPSIA PROGRESSING INTO POSTERIOR REVERSIBLE ENCEPHALOPATHY SYNDROME (PRES)

Abstract Body:

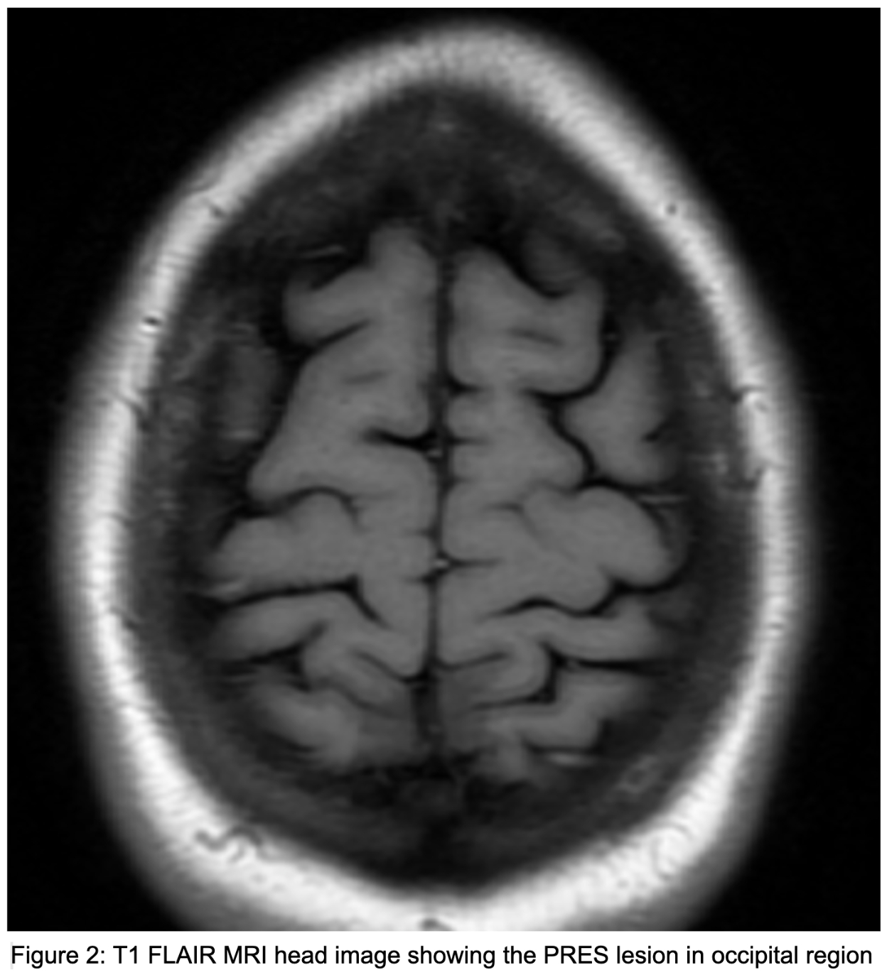
INTRODUCTION – Posterior reversible encephalopathy syndrome(PRES) is a rare but serious clinical-neuroradiological entity, with a series of neurological symptoms and imaging showing subcortical vasogenic edema at bilateral parietal and occipital lobes, with the most common causes being pre-eclampsia and eclampsia.

CASE PRESENTATION – A 32-year-old female with gravida 8, parity 3, abortions 4 and ectopic pregnancy 1, status post a recent normal vaginal delivery 10 days back, but with no significant past medical history, was brought to the ED after a witnessed seizure at home. She had been having a generalised headache for the past few days but could not remember details of the seizure. She complained of associated neck and back pain but denied nausea, vomiting, fever, chills, shortness of breath, chest pain, dizziness, and excessive vaginal bleeding. She had an uncomplicated vaginal delivery recently, and it was her 8th pregnancy, with the previous two being normal deliveries. The patient had seizure episodes at the hospital and mildly elevated blood pressure on admission. She was evaluated by gynaecology and was started on magnesium drip for possible eclampsia. Magnesium level was followed and maintained at 5-8 mg/dl. EEG done showed seizure potentials, but no active seizures. She got amlodipine and labetalol for elevated blood pressure. MRI brain showed subcortical white matter disease in the parieto-occipital region, with PRES. She was started on Keppra 500 mg twice daily. Her symptoms got better over a few days.

DISCUSSION – With the exact aetiology of PRES being not completely clear, one hypothesis is various risk factors causing vasospasm followed by hypoperfusion resulting in brain vasogenic edema leading to PRES. Late postpartum eclampsia with PRES is not that common. Particularly in PRES, visual impairment is common, with some patients showing decreased or asymmetric limb muscle strength, while tendon reflexes being active. The neurological symptoms, signs and radiographic changes usually disappear completely in 1-2 weeks, but if diagnosis gets delayed, then irreversible damage of neurones can occur, leading to permanent damage and also making it even life-threatening. As symptoms of pre-eclampsia does not get reported, very few get diagnosed with it at the first place, increasing the risk of onset of PRES. This particular case illustrates post vaginal delivery in females, it's important to be vigilant for maintaining normal blood pressure.
  • Bogati, Sunil  ( NYMC - St. Mary's and St. Clare's , Denville , New Jersey , United States )
  • Guragain, Ashish  ( NYMC - St. Mary's and St. Clare's , Denville , New Jersey , United States )
  • Poudel, Urusha  ( Lumbini Medical College , Palpa , Lumbini Province , Nepal )
  • Prakash, Atul  ( St Marys General Hospital, Passaic , Cedar Grove , New Jersey , United States )
  • Author Disclosures:
    Sunil Bogati: DO NOT have relevant financial relationships | Ashish Guragain: No Answer | Urusha Poudel: No Answer | Atul Prakash: No Answer
Meeting Info:
Session Info:

Poster Session 1 and Reception (includes TAC Poster Competition)

Thursday, 09/04/2025 , 05:30PM - 07:00PM

Poster Session

More abstracts on this topic:
Advanced Lipid Status Parameters in Women With Preeclampsia

Gojkovic Tamara, Saric Matutinovic Marija, Ivanisevic Jasmina, Vladimirov Sandra, Spasojevic Kalimanovska Vesna, Mikovic Zeljko, Stefanovic Aleksandra, Ardalic Daniela, Antonic Tamara, Banjac Gorica, Zeljkovic Aleksandra, Vekic Jelena, Miljkovic Trailovic Milica, Munjas Jelena, Jovicic Snezana

Association between Preeclampsia and Risk of Arrhythmias and Stroke: A Meta-analysis of 3,871,787 women patients.

Jaiswal Vikash, Jaiswal Akash, Hanif Muhammad, Tibon Deborah, Rajak Kripa, Tummala Nayanika, Biswas Monodeep

More abstracts from these authors:
New-onset atrial fibrillation following coronary artery bypass graft surgery: A systematic review

Gandhi Darshan, Prakash Atul, Patel Gaurav, Vaz Clint, Garcia Risk Ariadna, Guragain Ashish

Branch vs septum: A meta analysis of ventricular synchrony in Left bundle branch pacing vs left ventricular septal pacing with subgroup analysis based on baseline LVEF.

Mannam Raam, Medarametla Ravi, Patel Nirmit, Patel Kaushal, Bogati Sunil, Patel Gaurav, Prakash Atul

You have to be authorized to contact abstract author. Please, Login
Not Available