Logo

American Heart Association

  201
  0


Final ID: P-208

Chromophobe Renal Cell Carcinoma Presenting as Hypertension in a Young Adult: A Case Report

Abstract Body: Introduction
Renal cell carcinoma (RCC) is a recognized but rare cause of secondary hypertension. Hypertension in RCC can arise through several mechanisms, including direct renin secretion by the tumor (renin-secreting RCC), the tumor creating a mass effect on renal blood supply, decreasing it and activating the RAAS, or the presence of adrenal tissue within the tumor. Given these mechanisms, it is essential to consider renal tumors in the differential diagnosis of secondary hypertension.
This case reports uncontrolled hypertension as the presenting complaint in a young female with a chromophobe RCC.

Case Presentation
A 32-year-old female presented with intermittent headache, fatigue, and uncontrolled hypertension despite adherence to standard antihypertensive treatment. Laboratory tests revealed serum aldosterone at 37.9 ng/dL and markedly elevated plasma renin activity at 11.7 ng/mL/hr, suggesting hyperreninemic aldosteronism as the cause of her hypertension.
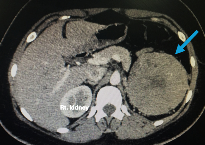
A CT scan revealed a large, mildly enhancing mass in the upper pole of the left kidney, measuring 93 x 92 x 96 mm (Figure 1).
Nephrectomy was discussed with the patient as part of her treatment plan and as a potential means of treating her hypertension. The patient consented, and the surgery was performed. Microscopic examination confirmed a chromophobe RCC extending into the renal sinus.

Conclusion
This case underscores the importance of considering RCC in the differential diagnosis of secondary hypertension, even in young adults. Early recognition and surgical intervention, such as nephrectomy, are crucial, as they may alleviate hypertension and potentially serve as an early indicator for tumor detection before further progression.
  • Al Kayed, Hadeel  ( The University of Jordan , Amman , Jordan )
  • Alqatawneh, Maryam  ( Jordanian Royal Medical Services , Amman , Jordan )
  • Maaita, Mahmoud  ( Medical Service Clinics , Amman , Jordan )
  • Alsuradi, Awni  ( Eye Speciality Hospital , Amman , Jordan )
  • Odaibat, Husam  ( Jordanian Royal Medical Services , Amman , Jordan )
  • Author Disclosures:
    Hadeel Al Kayed: DO NOT have relevant financial relationships | Maryam Alqatawneh: No Answer | Mahmoud Maaita: DO NOT have relevant financial relationships | Awni Alsuradi: No Answer | Husam Odaibat: No Answer
Meeting Info:
Session Info:

Poster Session 1: TAC Competition and Reception

Thursday, 09/05/2024 , 05:30PM - 07:00PM

TAC Poster Session Competition

More abstracts on this topic:
Blood pressure polygenic score predicts long-term blood pressure control and treatment-resistant hypertension

Cho So Mi, Honigberg Michael, Fahed Akl, Patel Aniruddh, Hornsby Whitney, Natarajan Pradeep, Ruan Yunfeng, Lee Hyeok-hee, Koyama Satoshi, Juraschek Stephen, Allen Norrina, Yang Eugene, Mcevoy John, Secemsky Eric

Angiotensin-(1-7) Induces A Decrease In Proinflammatory Genes Expression Through A Mas Receptor-Mediated Translocation To Brainstem Nuclei Of Spontaneously Hypertensive Rats

Pineda Angelica, Rukavina Mikusic Natalia, Rinaldi Debora, Lazartigues Eric, Grecco Hernan, Gironacci Mariela

More abstracts from these authors:
MicroRNAs: Potential Biomarkers and Therapeutic Targets for Hypertensive Nephropathy

Al Kayed Hadeel, Altintas Mehmet, Oktay Ahmet

Resolution of Resistant Hypertension with Unilateral Adrenalectomy in Bilateral Primary Aldosteronism: A Case Report from Jordan

Al Kayed Hadeel, Qussous Jwana, Hajjaj Nada, Alwahedy Saba, Maaita Mahmoud, Alsuradi Awni, Tabbalat Ramzi

You have to be authorized to contact abstract author. Please, Login
Not Available