Logo

American Heart Association

  169
  0


Final ID: Tu060

Unveiling Arrhythmogenic Right Ventricular Dysplasia In Pregnancy

Abstract Body: Introduction: Arrhythmogenic right ventricular dysplasia (ARVD) is a rare autosomal dominant disease, caused by desmosomal gene mutations, and characterized by fibrofatty replacement of right ventricular (RV) myocardium with left ventricular (LV) involvement in advanced stages. It is mostly diagnosed between the second and forth decades of life and can present with ventricular tachycardia and arrhythmic sudden death. Here we present a case of ARVD diagnosis in a female in her forth pregnancy.

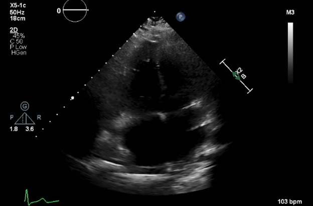
Case description: A 28-year-old female, on her 27th week of gestation (G4P3) was admitted to the hospital with preterm premature rupture of membranes. She also endorsed intermittent chest pressure, palpitations and shortness of breath. Her vital signs were stable, and electrocardiogram (ECG) revealed normal sinus rhythm with frequent premature ventricular contractions (PVCs) and T wave inversions in leads V1- V3. Laboratory studies showed normal troponin and D-dimer levels, and slightly elevated brain natriuretic peptide 240 pg/mL. Patient notably had frequent runs of monomorphic non-sustained ventricular tachycardia (NSVT) arising from RV apical territory, with left bundle branch morphology on telemetry. An echocardiogram revealed a dilated right atrium and RV with hypokinesis of RV; LV size and function were normal. Overall, patient met the revised task force diagnostic criteria for ARVD based on PVC morphology, abnormal ECG and dilated and hypokinetic RV. She had no sustained or hemodynamically unstable VT, no history of syncope or family history of sudden cardiac death and did not meet class I indication for implantable cardioverter defibrillator. She was started on oral metoprolol succinate 25 mg daily with which her arrhythmias significantly improved. She was recommended a cardiac magnetic resonance imaging and genetic testing for confirmation and to assess familial implications.

Conclusion: Recognition of ARVD during pregnancy is challenging given the overlapping symptoms of normal pregnancy-related changes. Hormonal surge and sympathetic drive may have driven the increased frequency of NSVT in our patient and beta blocker was effective in managing these. Early recognition and tailored management are crucial to ensure the well-being of both the mother and the fetus. A close follow-up is necessary to understand the long-term implications for the patient and potential genetic predisposition in the family.
  • Jyothi Ramachandran Nair, Devi Parvathy  ( Tower Health- Reading Hospital , Reading , Pennsylvania , United States )
  • Shah, Smit  ( Tower Health, Reading Hospital , Reading , Pennsylvania , United States )
  • Scheffler, Morgan  ( Tower Health, Reading Hospital , Reading , Pennsylvania , United States )
  • Basnet, Arjun  ( Tower Health, Reading Hospital , Reading , Pennsylvania , United States )
  • Shaikh, Atif  ( Tower Health, Reading Hospital , Reading , Pennsylvania , United States )
  • Author Disclosures:
    Devi Parvathy Jyothi Ramachandran Nair: DO NOT have relevant financial relationships | SMIT SHAH: No Answer | Morgan Scheffler: DO NOT have relevant financial relationships | Arjun Basnet: DO NOT have relevant financial relationships | Atif Shaikh: DO NOT have relevant financial relationships
Meeting Info:

Basic Cardiovascular Sciences

2024

Chicago, Illinois

Session Info:

Poster Session and Reception 2

Tuesday, 07/23/2024 , 04:30PM - 07:00PM

Poster Session and Reception

More abstracts on this topic:
Acute Hemodynamic Effects of Sotatercept in Pulmonary Arterial Hypertension

Kremer Nils, Naeije Robert, Ghofrani Ardeschir, Tello Khodr, Thal Bruno, Janetzko Patrick, Yogeswaran Athiththan, Rako Zvonimir, Pullamsetti Soni, Bonnet Sebastien, Seeger Werner, Grimminger Friedrich

A Failure to Increase Glomerular Filtration Rate during Pregnancy Results in a Greater Susceptibility to Kidney Damage and Renal Impairment in Response to a Postpartum High Salt Diet

Rittmeyer William, Murders Evan, Tchangwa Marvin, Engelbrecht Evan, Humphrey Riley, Mantilla Katherine, Nist Kayla, Brooks Heddwen, Dasinger John Henry

More abstracts from these authors:
The Cardiac Conundrum of Cannabis: A Case of Junctional Bradycardia Triggered by Cannabis Use

Jyothi Ramachandran Nair Devi Parvathy, Shah Smit, Singh Aniruddha

Unsupervised Machine Learning Identifies Distinct Clinical Phenotypes in Acute Heart Failure Hospitalizations: A Nationwide Study Using the National Inpatient Sample

Chilingarashvili Giorgi, Diaz Fraga Julian, Razdan Nandini, Singh Aniruddha, Green Jared, Fagan James, Basnet Arjun, Li Aobo, Tripathi Devendra, Mondal Avilash

You have to be authorized to contact abstract author. Please, Login
Not Available