Logo

American Heart Association

  38
  0


Final ID: Mo4003

Relationship Between Characteristics of Peri-Left Ventricular Summit Adipose Tissue and Number of Ventricular Arrhythmias on Holter ECG in Patients with Atrial Fibrillation Scheduled for Pulmonary Vein Isolation

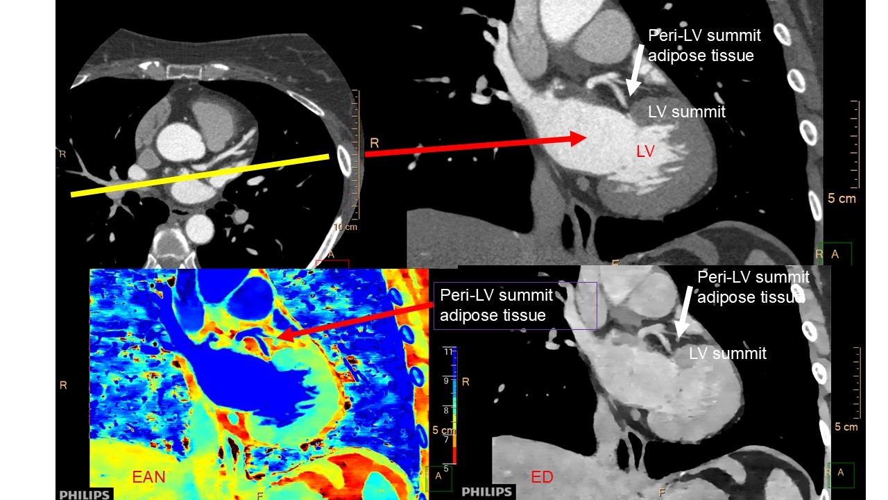
Abstract Body (Do not enter title and authors here): Introduction: The left ventricular (LV) summit (LVS) is the highest point on the epicardial surface of the LV and is located in the LV myocardium just adjacent to and between the proximal portion of the left anterior descending artery and left circumflex arteries, a major site for the origin of idiopathic ventricular arrhythmia (VA). However, endocardial catheter ablation of VAs originating from the LVS at remote structures adjacent to the LVS is not very successful. Inflammation in pericoronary adipose tissue may occur focally at adjacent plaque sites in the coronary arterial system. Similarly, inflammation in peri-LVS adipose tissue may occur focally at the LV myocardium.
Hypothesis: Using effective atomic numbers (EANs) and electron density (ED) measurements determined by spectral CT as new parameters, the focal characteristics of peri-LVS adipose tissue are useful in predicting the occurrence of VAs.
Methods: This is a retrospective analysis of 11 patients (7 males; mean age, 69 ± 12 years; plasma brain natriuretic peptide, 166±145 pg/mL) with atrial fibrillation who were scheduled for pulmonary vein isolation. They underwent dual energy CT (7500, Philips) and routine late phase CT contrast acquisition to evaluate left atrial thrombi and 24-hour Holter ECG. From non-contrast and early- and late-phase contrast data, CT attenuation, EANs and EDs (%ED relative to water) of peri-LVS adipose tissue were determined and compared to those of peri-coronary (proximal portion of right coronary arteries) adipose tissue as a reference on CT images.
Results: Comparing the two sites, on non-contrast CT images, mean CT attenuations of peri-LVS adipose tissue only were significantly lower than those of pericoronary artery adipose tissue at the proximal portion of the right coronary arteries (86 ± 18 vs. 104 ± 16 HU, P = 0.021).
Absolute values of correlation coefficients of each CT attenuation, EAN, and ED peri-LVS adipose tissue against the number of VAs on 24 Holter ECG were greatest for EANs in the LVS (0.471 in non-contrast images), followed by CT attenuation in the LVS (0.395 in late phase CT images).
Conclusion: This is the first study to evaluate focal characteristics of peri-LVS adipose tissue by CT attenuation, EANs, and EDs in non-contrast and early- and late-contrast CT data, and their relationship to numbers of VAs on a 24-hour Holter ECG. Inflammation in peri-LVS adipose tissue may occur focally at the LVS myocardium and may be related to the occurrence of VAs.
  • Funabashi, Nobusada  ( IUHW Ichikawa Hospital , Ichikawa , Japan )
  • Kaneko, Aya  ( Chibanishi general hospital , Chiba prefecture , Japan )
  • Sakaguchi, Yamato  ( Chibanishi general hospital , Chiba prefecture , Japan )
  • Yamashita, Seigo  ( Jikei University School of Medicine , Tokyo , Japan )
  • Nakamura, Kohki  ( Gunma Cardiovascular Center , Maebashi , Japan )
  • Author Disclosures:
    Nobusada Funabashi: DO NOT have relevant financial relationships | aya kaneko: DO NOT have relevant financial relationships | Yamato Sakaguchi: DO NOT have relevant financial relationships | Seigo Yamashita: No Answer | Kohki Nakamura: DO NOT have relevant financial relationships
Meeting Info:

Scientific Sessions 2025

2025

New Orleans, Louisiana

Session Info:

Remodeling, Mechanobiology & Prognostic Trends in Cardiac Disease

Monday, 11/10/2025 , 10:30AM - 11:30AM

Abstract Poster Board Session

More abstracts on this topic:
A multi-proteomic Risk Score Predicts Adverse Cardiovascular Outcomes in Patients with Angina and Non-obstructive Coronary Artery Disease

Huang Jingwen, Lodhi Rafia, Lodhi Saleha, Eldaidamouni Ahmed, Hritani Wesam, Hasan Muhammet, Haroun Nisreen, Quyyumi Arshed, Mehta Puja, Leon Ana, Ko Yi-an, Yang Huiying, Medina-inojosa Jose, Ahmed Taha, Harris Kristen, Alkhoder Ayman, Al Kasem Mahmoud

AI-Derived Cardiac Morphometrics from CAC CT for Heart Failure Risk Prediction

Alkhaleefah Mohammad, Balakrishnan Guha, Li Shuo, Nasir Khurram, Al-kindi Sadeer, Gullapelli Rakesh, Bose Budhaditya, Rockers Elijah, Modanwal Gourav, Hoori Ammar, Madabhushi Anant, Wilson David, Patel Kershaw

You have to be authorized to contact abstract author. Please, Login
Not Available