Logo

American Heart Association

  69
  0


Final ID: MP178

Navigating the Uncharted Waters of Granulomatosis Polyangiitis - A Rare Case of Systemic Sequelae Leading to Organ Transplant in a Young Male

Abstract Body (Do not enter title and authors here): Systemic Granulomatous polyangiitis (GPA) can extend to rare organ involvement, including the heart which pose significant diagnostic and therapeutic challenges.
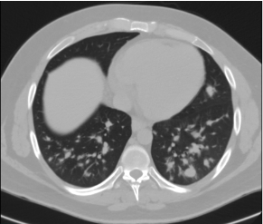
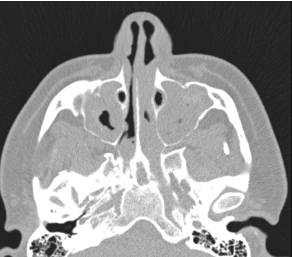
A 26-year-old male with chronic sinusitis presented to clinic for evaluation of nasal crusting and bloody discharge (Image 1). He had a history of nasal polyposis resection. Laboratory evaluation was significant for leukocytosis and mild anemia. CXR showed nonspecific multifocal patchy infiltrates. Chest CT revealed numerous bilateral pulmonary nodules with central cavitation (Image 2). Immunological testing revealed the presence of c-ANCA and proteinase 3 (PR3) antibodies. GPA was suspected and the patient was started on prednisone. Bronchoscopy showed friable nasal mucosa with cobble stoning. Infectious workup was negative. He was initiated on high dose steroid with a plan to add rituximab (RTX). Few days later, he presented with chest pain, he was hypertensive and tachycardiac, he had elevated BNP and troponin. EKG showed no ST changes, but Echocardiogram revealed an EF of 50% with dilated left ventricle. Coronary vasculitis was suspected, cyclophosphamide (CYC) induction was initiated. Cardiac MRI demonstrated moderate systolic dysfunction with EF 34% and atypical myocarditis. Left heart catheterization (LHC) revealed disseminated vasculitis with diffuse involvement of distal coronary arteries. He was initiated on guideline-directed medical therpay and given RTX. A week later, he presented with elevated creatinine. Renal biopsy revealed ANCA-mediated focal crescentic glomerulonephritis. He underwent plasmapheresis with imporvement of his kidney function. A month later, he presented with recurrence of chest pain. Troponins were elevated, EKG demonstrated inferior ST elevation, and LHC revealed progression of coronary vasculitis. Repeat echocardiogram showed an EF of 15%. He was treated with steroids, and CYC. However, he continued to worsen, and eventually progressed to cardiogenic shock with multiorgan failure and was put on VA-ECMO support. The patient was transferred to a higher level of care center for LVAD and heart transplant.
The nonspecific presentation of GPA often results in significant diagnostic delays, leading to increased morbidity and mortality. Cardiac complications are rare, posing severe risks. Standard treatment includes induction therapy with high-dose glucocorticoids combined with CYC or RTX for severe GPA. However, some cases remain refractory to therapy.
  • Thakkar, Keval  ( Willis Knighton Health , Shreveport , Louisiana , United States )
  • Abuazzam, Farah  ( Willis Knighton Health , Shreveport , Louisiana , United States )
  • Shah, Kashish  ( Willis Knighton Health , Shreveport , Louisiana , United States )
  • Joel, Joseph  ( Willis Knighton Health , Shreveport , Louisiana , United States )
  • Virani, Ahmed  ( Willis Knighton Health , Shreveport , Louisiana , United States )
  • Author Disclosures:
    Keval Thakkar: DO NOT have relevant financial relationships | Farah Abuazzam: DO NOT have relevant financial relationships | kashish shah: No Answer | Joseph Joel: DO NOT have relevant financial relationships | Ahmed Virani: DO NOT have relevant financial relationships
Meeting Info:

Scientific Sessions 2025

2025

New Orleans, Louisiana

Session Info:

Silent Drivers: Cardiovascular Risk in Chronic Kidney Disease

Saturday, 11/08/2025 , 10:45AM - 12:00PM

Moderated Digital Poster Session

More abstracts on this topic:
Accelerated Biological Aging, Early-Life Exposure to Tobacco, and Incident Aortic Aneurysm: A Large-Scale Prospective Cohort Study in UK Biobank

Yang Miaomiao, Feng Weijing, Dang Aimin, Gu Yingzhen

Combined electrocardiography artificial intelligence and echocardiography model to characterize precapillary versus postcapillary pulmonary hypertension in end stage chronic kidney disease.

Scalia Isabel, Alsidawi Said, Barry Timothy, Scott Robert, Ayoub Chadi, Mour Girish, Arsanjani Reza, Farina Juan, Pereyra Milagros, Baba Nima, Mahmoud Ahmed K., Abbas Mohammed Tiseer, Kamel Moaz, Awad Kamal, Sell-dottin Kristen

More abstracts from these authors:
You have to be authorized to contact abstract author. Please, Login
Not Available