Logo

American Heart Association

  26
  0


Final ID: MP80

Left Ventricular Diastolic Collapse in a Loculated Malignant Pericardial Effusion

Abstract Body (Do not enter title and authors here): Background:
Acute cardiac tamponade occurs when rising intrapericardial pressure compresses the heart, most commonly affecting right-sided chambers. However, in postoperative or malignant settings, pericardial adhesions or loculated effusions may produce regional tamponade, a variant where localized pressure causes isolated chamber compression. Left ventricular (LV) diastolic collapse, though rare, is a hallmark of this phenomenon when localized intrapericardial pressure exceeds LV diastolic pressure.

Case Presentation:
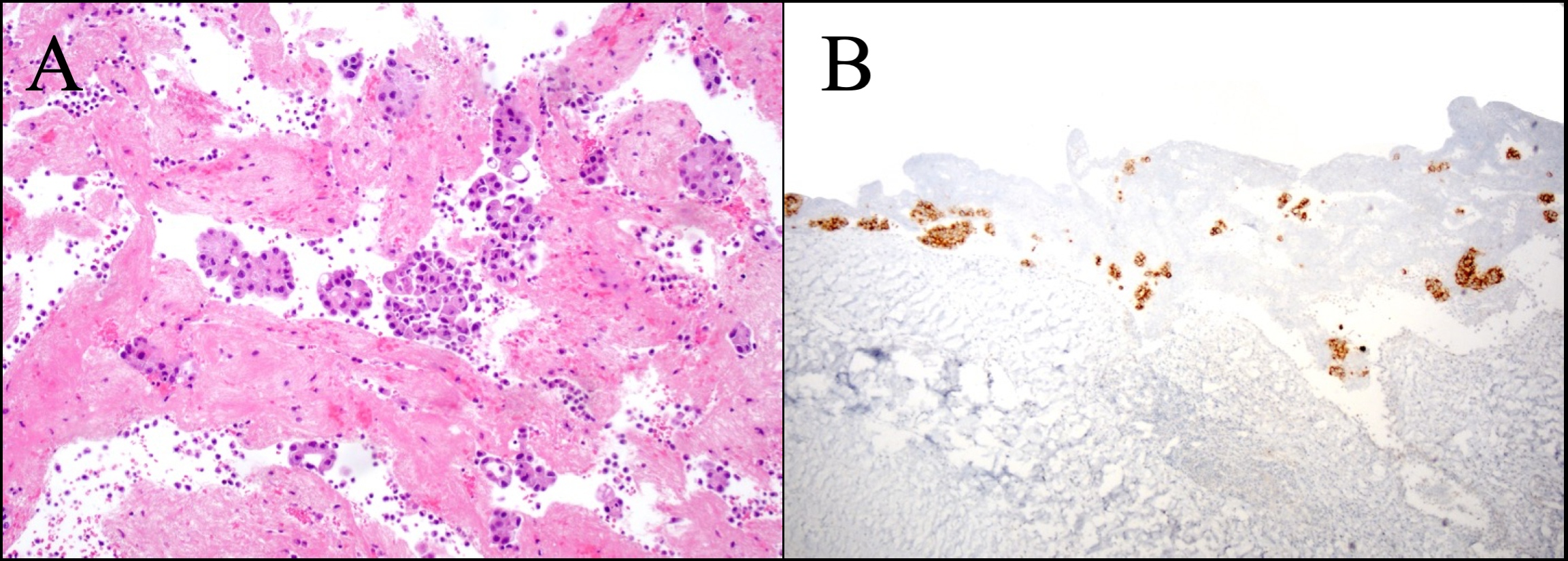
A 63-year-old man with metastatic EGFR-positive non–small-cell lung cancer and recent pulmonary embolism on rivaroxaban was admitted following elective pleural-peritoneal shunt placement for recurrent malignant pleural effusions. Transthoracic echocardiography (TTE) was notable for a small pericardial effusion on post-operative day 1. On post-operative day 2, he developed hypotension (BP 86/56 mmHg), tachycardia (HR 115 bpm), and elevated lactate (2.9 mmol/L; normal range 0.5 – 2.0 mmol/L). Exam revealed distant heart sounds and jugular venous distension. Repeat TTE demonstrated a large, loculated pericardial effusion with diastolic collapse of the lateral and apical LV (Figure 1), right ventricle, and atria, along with respirophasic mitral/tricuspid inflow variation and expiratory hepatic vein flow reversal. Emergent subxiphoid surgical pericardial window revealed dense adhesions and evacuated 500cc bloody effusion, with immediate hemodynamic improvement. Histopathology confirmed malignant pericardial involvement with clusters of malignant adenocarcinoma cells (Figure 2).

Discussion:
Here we highlight a visually compelling example of tamponade with LV diastolic collapse secondary to a loculated malignant pericardial effusion. LV diastolic collapse is a hallmark sign of regional cardiac tamponade, especially in malignancy or postsurgical states. Prior studies utilizing canine models of regional cardiac tamponade demonstrated that LV diastolic collapse correlated with significant reductions in cardiac output and mean arterial pressure prior to decompensated tamponade. Early recognition of regional tamponade and hallmark signs including LV diastolic collapse is critical to guide interventions and avoid hemodynamic deterioration.
  • Matasic, Daniel  ( JOHNS HOPKINS HOSPITAL , Baltimore , Maryland , United States )
  • Brown, Ashley  ( JOHNS HOPKINS HOSPITAL , Baltimore , Maryland , United States )
  • Matoso, Andres  ( JOHNS HOPKINS HOSPITAL , Baltimore , Maryland , United States )
  • Ha, Jinny  ( JOHNS HOPKINS HOSPITAL , Baltimore , Maryland , United States )
  • Wu, Katherine  ( JOHNS HOPKINS HOSPITAL , Baltimore , Maryland , United States )
  • Czarny, Matthew  ( JOHNS HOPKINS HOSPITAL , Baltimore , Maryland , United States )
  • Author Disclosures:
    Daniel Matasic: DO NOT have relevant financial relationships | Ashley Brown: No Answer | Andres Matoso: No Answer | Jinny Ha: No Answer | Katherine Wu: DO NOT have relevant financial relationships | Matthew Czarny: No Answer
Meeting Info:

Scientific Sessions 2025

2025

New Orleans, Louisiana

Session Info:

Cases that Challenge: Lessons from the Frontlines

Saturday, 11/08/2025 , 03:15PM - 04:30PM

Moderated Digital Poster Session

More abstracts on this topic:
A Pressure-Volume Loops Approach Predicts Outcomes After Double Switch Operation For Congenitally Corrected Transposition Of The Great Arteries with Intact Ventricular Septum

Thatte Nikhil, Del Nido Pedro, Ghelani Sunil, Hammer Peter, Marx Gerald, Beroukhim Rebecca, Gauvreau Kimberlee, Callahan Ryan, Prakash Ashwin, Emani Sitaram, Hoganson David

Divergent Biventricular Mechano-Energetic Responses to VA-ECMO Flow Ramping After Cardiac Arrest: A Preclinical ECPR Swine Model

Owyang Clark, King Andrea, Finkelstein Robert, Berlin David, Martin-flores Manuel, Heerdt Paul, Araos Joaquin, Teran Felipe, Landau Aaron, Suh Caleb, Satalin Joshua, Lopez Daniel, Searles Bruce, Nejatollahi Maryam, Kulthinee Supaporn

More abstracts from these authors:
CT-Based Radiomics Offers Prognostic Insight in Cardiomyopathy Patients Undergoing ICD Implantation

Mojarrad Sani Maryam, Zandieh Ghazal, Abdollahi Ashkan, Engels Marc, Wu Katherine, Lima Joao Ac, Zimmerman Stefan, Ambale-venkatesh Bharath, Chrispin Jonathan

Imaging and sudden cardiac death

Wu Katherine, Russo Andrea

You have to be authorized to contact abstract author. Please, Login
Not Available