Logo

American Heart Association

  17
  0


Final ID: MP2534

Medical Management Triumph: Spontaneous Resolution of a Large Native Valve Vegetation in a Case of Pediatric Infective Endocarditis

Abstract Body (Do not enter title and authors here): Introduction:
Native valve endocarditis (NVE) is rare in children, particularly in structurally normal hearts. Vegetations >10 mm pose a high embolic risk and often prompt surgical evaluation. We report a rare pediatric case where a large mitral valve vegetation resolved completely with medical therapy alone.

Case Presentation:
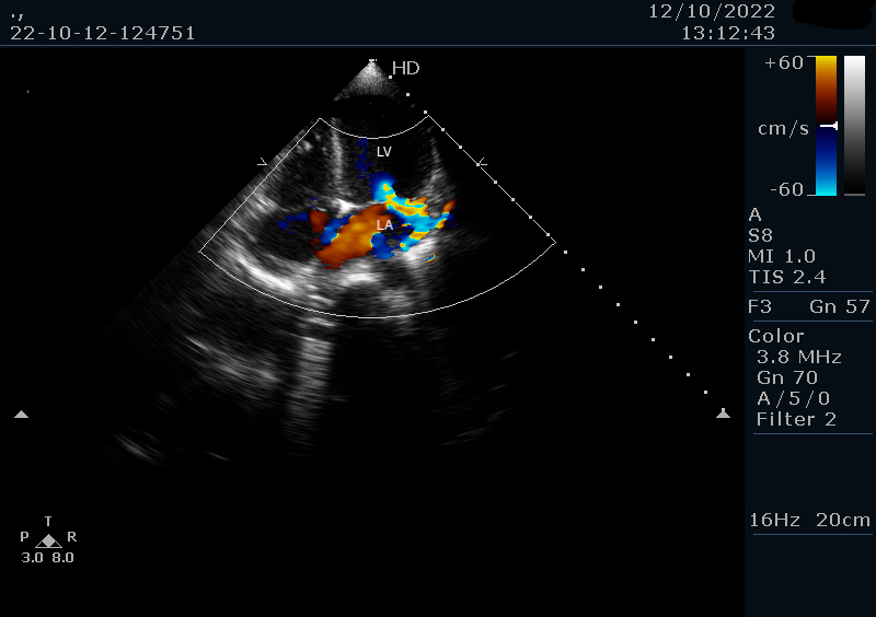
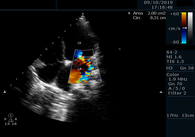
A previously healthy 6-year-old girl from a rural, socioeconomically disadvantaged background presented with a 2-week history of persistent high-grade fever, fatigue, and poor oral intake. She had no prior cardiac or chronic illnesses. Initial management for presumed enteric fever was unsuccessful. On admission, she was febrile (38.5°C), tachycardic (110 bpm), normotensive (90/70 mmHg), and had a grade III/VI pansystolic murmur. The rest of the exam was unremarkable. Labs showed leukocytosis (WBC 17,500/μL) with neutrophilia and elevated inflammatory markers. Chest X-ray and abdominal ultrasound were normal. Transthoracic echocardiography (TTE) revealed a mobile 11 mm vegetation on the anterior mitral leaflet with severe mitral regurgitation (Figure 1). Blood cultures grew methicillin-resistant Staphylococcus aureus (MRSA). IV vancomycin and gentamicin were initiated. No anticoagulation was given. Cranial CT and neurologic assessment were normal. After 14 days, repeat TTE showed a reduction in vegetation size to 8 mm. She remained afebrile and clinically improved. Antibiotics were continued for 6 weeks. A follow-up echo 4 weeks post-discharge showed complete resolution of the vegetation with persistent moderate mitral regurgitation (Figure 2). No embolic or neurologic events occurred. At 3-year follow-up, TTE confirmed no vegetation recurrence and stable MR (Figure 3) .

Discussion:
This case demonstrates that even large vegetations in pediatric NVE can resolve fully with antibiotics alone in clinically stable patients. While surgical intervention is often considered for vegetations >10 mm, this case supports a tailored, conservative approach with close echocardiographic follow-up, especially where access to surgery may be limited.
  • Ramaka, Srinivas  ( SRINIVASA HEART CENTRE , WARANGAL , India )
  • Mohammed, Adil  ( Central Michigan University , Saginaw , Michigan , United States )
  • Gudi, Pratap  ( Kakatiya Medical College , Warangal , India )
  • Yasmeen, Umera  ( Mamata Medical College , Khammam , India )
  • Nanda, Navin  ( ALABAMA BIRMINGHAM UNIV , Birmingham , Alabama , United States )
  • Author Disclosures:
    Srinivas Ramaka: DO NOT have relevant financial relationships | Adil Mohammed: DO NOT have relevant financial relationships | Pratap Gudi: DO NOT have relevant financial relationships | Umera Yasmeen: DO NOT have relevant financial relationships | Navin Nanda: DO NOT have relevant financial relationships
Meeting Info:

Scientific Sessions 2025

2025

New Orleans, Louisiana

More abstracts on this topic:
Beyond Antibiotics: Transcatheter AngioVac Debulking of Right-Sided Methicillin-Resistant Staphylococcus aureus Endocarditis in a Hemodialysis Patient

Aghasili Chukwuemeka, Nawaz Haleema, Frimpong Smith, Hassan Rafla, Al-abboud Omar, Ahmad Tariq Ali

Acceptability and Gain of Knowledge of Community Educational Tools About Rheumatic Heart Disease Integrated With Screening In Low-Income Settings

Abrams Jessica, Nunes Maria, Diniz Marina, Fraga Lucas, Paula Luiza, Coelho Cecilia, Tacuri Chavez Luz Marina, Lemos Larissa, Correia Julliane, Ribeiro Antonio, Nascimento Bruno, Sable Craig, Spaziani Alison, Zuhlke Liesl, Cardoso Clareci, Vinhal Wanessa, Ribeiro Isabely, Oliveira Kaciane, Amaral Ingred Beatriz

More abstracts from these authors:
Mapping the Burden: Racial and Social Vulnerability Clusters in Elderly Ischemic Heart Disease Related Mortality Across US Counties

Yasmeen Umera, Ghani Muhammad Usman, Mohammed Adil, Mohammed Zaki Ur Rahman, Mathew Joanne, Tera Chenna Reddy, Begum Iramunisa, Mohammed Fatima, Rasul Mubina, Rasul Favziya

Global And Regional Burden Of Alcoholic Cardiomyopathy From 1980 To 2021: An Analysis Of Global Burden Of Disease (GBD) Study 2021

Rehman Wania, Shaukat Muhammad Talha, Rehman Aqeeb Ur, Mohsin Aleenah, Rahman Saad Ur, Abbott Jinnette, Nanda Navin

You have to be authorized to contact abstract author. Please, Login
Not Available