Logo

American Heart Association

  50
  0


Final ID: MP2572

Classification of Adjacent Coronary Arterial Plaques Using Late Phase Effective Atomic Numbers and Electron Densities of Focal Pericoronary Adipose Tissue on Contrast Enhanced Spectral Computed Tomography

Abstract Body (Do not enter title and authors here): Introduction: Inflammation in pericoronary adipose tissues (PCATs) may occur focally at adjacent plaque sites in the coronary arterial system as suggested by abnormal late-phase enhancement on contrast computed tomography (CT).
Hypothesis: Using late-phase effective atomic numbers (EANs) and electron densities (EDs) determined by enhanced spectral CT as new parameters, focal characteristics of PCATs may be used to classify adjacent coronary arterial plaques.
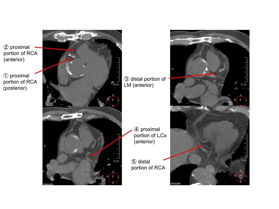
Methods: This is a retrospective analysis of 13 patients (eight males, 60±11 years), scheduled for pulmonary vein isolation, who underwent cardiac spectral CT (7500, Philips) and routine late-phase CT contrast acquisition to evaluate left atrial thrombi. From non-contrast and early- and late-contrast data, EANs and EDs (% relative to water) of PCATs were determined at five sites per patient, as well as coronary arterial plaques, on enhanced CT images.
Results: From a total of 71 sites in 13 patients using early-phase CT, 30 sites had no plaques (group 1), three sites had only calcified plaques (group 2), 26 sites had only non-calcified plaques (group 3), and 12 sites had mixed plaques (group 4). Mean EANs and EDs of PCATs at corresponding sites were 6.7, 6.7, 6.4, and 6.6 (EANs), and 94.8, 95.6, 93.7 and 94.1 (EDs) in groups 1–4, respectively, in non-contrast phase; 6.1, 6.9, 6.1, and 6.2 (EANs) (Group 2>Groups 3 and 4, both P < 0.05), and 93.4, 95.4, 93.6, and 93.5 (EDs) in groups 1–4, respectively, in early phase; 6.9, 7.3, 6.5, and 6.4 (EANs) (Group 4Groups 1, 3, and 4, all P < 0.05) in groups 1–4, respectively, in late phase.
Conclusion: This is the first study to evaluate focal PCATs by EANs and EDs and their site-by-site relationship to coronary arterial plaques. Such new CT parameters, especially in late phase on contrast-enhanced CT, may predict the future occurrence of adjacent coronary arterial plaques related to PCAT inflammation.
  • Sakaguchi, Yamato  ( Chibanishi general hospital , Chiba prefecture , Japan )
  • Kaneko, Aya  ( Chibanishi general hospital , Chiba prefecture , Japan )
  • Funabashi, Nobusada  ( IUHW Ichikawa Hospital , Ichikawa , Japan )
  • Author Disclosures:
    Yamato Sakaguchi: DO NOT have relevant financial relationships | aya kaneko: DO NOT have relevant financial relationships | Nobusada Funabashi: DO NOT have relevant financial relationships
Meeting Info:

Scientific Sessions 2025

2025

New Orleans, Louisiana

Session Info:

Best of Vascular Imaging

Monday, 11/10/2025 , 10:45AM - 12:00PM

Moderated Digital Poster Session

More abstracts on this topic:
A Novel H2 Relaxin B-Chain-Only Peptide Variant B7-33 Improves The Pathophysiology Of Placental Ischemia In The Reduced Uterine Perfusion Pressure Rat Model Of Preeclampsia

Pantho Ahmed F, Hossain Mohammed, Uddin Mohammad, Amaral Lorena, Campbell Nathan, Afroze Syeda, Vora Niraj, Kuehl Thomas, Lindheim Steven, Lamarca Babbette, Bathgate Ross

AI-Derived Cardiac Morphometrics from CAC CT for Heart Failure Risk Prediction

Alkhaleefah Mohammad, Balakrishnan Guha, Li Shuo, Nasir Khurram, Al-kindi Sadeer, Gullapelli Rakesh, Bose Budhaditya, Rockers Elijah, Modanwal Gourav, Hoori Ammar, Madabhushi Anant, Wilson David, Patel Kershaw

You have to be authorized to contact abstract author. Please, Login
Not Available