Logo

American Heart Association

  25
  0


Final ID: MP2092

Wrong Turn: Isolated Right-Sided Aortic Arch in the setting of non-ST Elevation Myocardial Infarction

Abstract Body (Do not enter title and authors here): Background

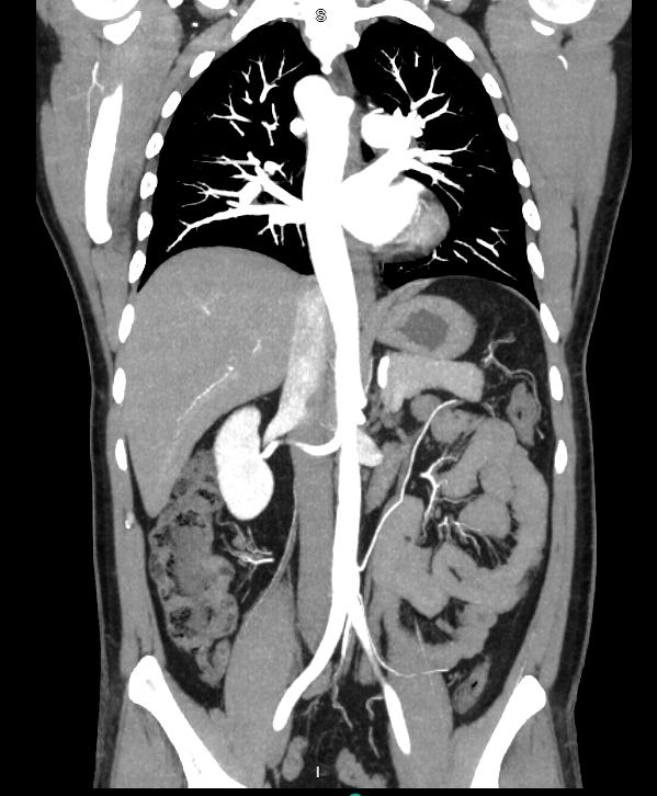
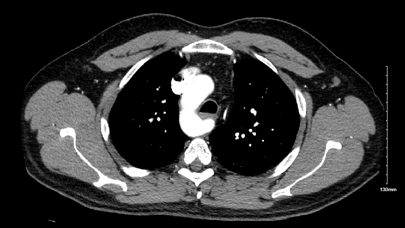
An isolated right-sided aortic arch is a very rare vascular anomaly that usually goes undiagnosed unless symptomatic at birth or during imaging during hospitalization. Here, we present a relatively young patient with a non-ST elevation myocardial infarction (NSTEMI) that was found incidentally to have a right-sided aortic arch.

Case Presentation

A 40-year-old male with a past medical history of hypertension, smoking, previous myocardial infarction for which no percutaneous coronary intervention (PCI) was done who presented to the emergency room with left sided chest pain. Initial electrocardiogram (ECG) revealed normal sinus rhythm and a high sensitivity troponin test on admission at hour 0 was negative. A computed tomography scan with intravenous contrast was done, revealing an incidental isolated right-sided aortic arch and an accessory left renal artery. A repeat troponin 12 hours from the first one revealed a value of 1076. Repeat ECG was done which showed nonspecific T wave changes. The patient was loaded with 300 mg of aspirin, 180 mg of ticagrelor, 60 mg of atorvastatin, 0.4 mg of sublingual nitroglycerin, and started on a heparin drip. Decision was made to admit the patient to the cardiac care unit (CCU) for emergent cardiac catheterization. PCI was done on the 15th hour which revealed a 95% stenosis of the distal left circumflex artery and a 70% stenosis of the distal left anterior descending coronary arteries. Angioplasty of the left distal circumflex was performed and a drug-eluting stent was placed with 0% residual stenosis post intervention. Post catheterization, troponins peaked at 1455 at hour 19 and then decreased, with the next value at 898 at the 27th hour. The patient was managed in the CCU and then discharged with outpatient cardiology follow-up.

Discussion

Congenital large vessel abnormalities are a rare phenomenon and their mechanical impact on vascular diseases are not well established. Right-sided aortic arches are very rare abnormalities and it is possible that this can accelerate shear stress on the endothelial surfaces of the coronary arteries. More studies are needed to elucidate if extra mechanical shear stress could contribute to accelerated atherosclerosis of arteries. Relatively very young patients who present with acute coronary syndrome can be evaluated for congenital vascular structural abnormalities among other causes.
  • Khodaverdian, Hrag  ( NYC HHC South Brooklyn Health , Brooklyn , New York , United States )
  • Vemula, Shree Laya  ( NYC HHC South Brooklyn Health , Brooklyn , New York , United States )
  • Busari, Olukayode  ( NYC HHC South Brooklyn Health , Brooklyn , New York , United States )
  • Prabhu, Sudhakar  ( NYC HHC South Brooklyn Health , Brooklyn , New York , United States )
  • Author Disclosures:
    Hrag Khodaverdian: DO NOT have relevant financial relationships | Shree Laya Vemula: DO NOT have relevant financial relationships | Olukayode Busari: No Answer | Sudhakar Prabhu: No Answer
Meeting Info:

Scientific Sessions 2025

2025

New Orleans, Louisiana

Session Info:

Clinical Case: CAD

Monday, 11/10/2025 , 09:15AM - 10:15AM

Moderated Digital Poster Session

More abstracts on this topic:
A major uremic toxin indoxyl sulfate impairs macrophage efferocytosis and accelerates atherogenesis: a potential mechanism for cardiovascular risk in chronic kidney disease

Jha Prabhash, Kasai Taku, Vromman Amelie, Holden Rachel, Libby Peter, Tabas Ira, Singh Sasha, Aikawa Elena, Aikawa Masanori, Lupieri Adrien, Sonawane Abhijeet, Le Thanh-dat, Becker-greene Dakota, Chelvanambi Sarvesh, Turner Mandy, Nakamura Yuto, Passos Livia

Comparison of 30-Day Readmission Rates in Elective and Nonelective Carotid Endarterectomy and Carotid Artery Stenting: A Nationwide Cohort Study

Padarti Akhil, Amritphale Amod, Upadhyaya Parth

More abstracts from these authors:
Left Bundle Branch Area Pacing Redefines Physiological Stimulation Standards in High-Risk Cardiac Populations

Vemula Shree Laya, Schaeffer Nicolas, Khodaverdian Hrag, Ozga Dawid, Foster Allison, Bowser Carly, Sukhoo-pertab Marc, Khanna Ashok, Hegde Sudhanva

Cardiac Manifestations Drive Clinical Outcomes in Rare Genetic Syndromes

Khodaverdian Hrag, Schaeffer Nicolas, Vemula Shree Laya, Ozga Dawid, Daich Jonathan, Bhogadi Maheshwari, Toreli Aleksandre, Hegde Sudhanva

You have to be authorized to contact abstract author. Please, Login
Not Available