Logo

American Heart Association

  92
  0


Final ID: MP256

A Rare Case of Acute Undifferentiated Leukemia Presenting as an Isolated Cardiac Mass

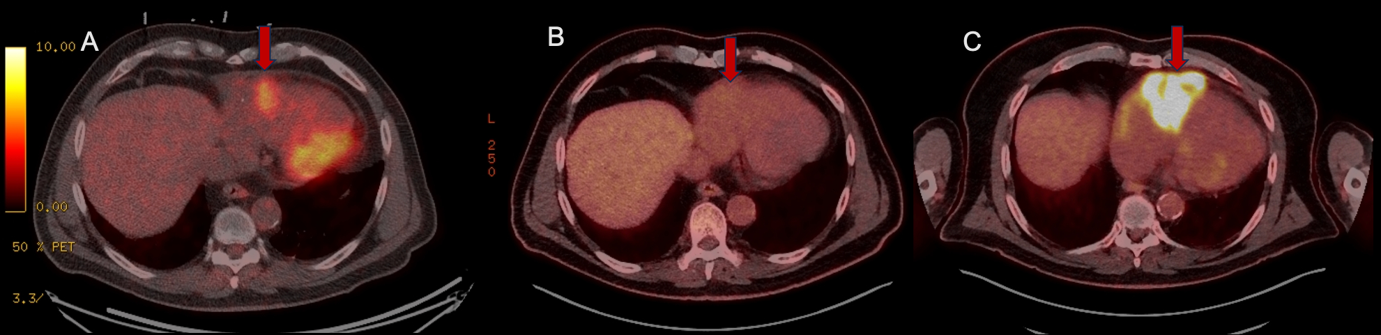
Abstract Body (Do not enter title and authors here): A 65-year-old male with history of coronary artery disease with percutaneous coronary intervention six months earlier presented with one month of fevers, night sweats, chest pain, muscle aches, fatigue, dyspnea on exertion and palpitations. CT chest revealed a 9x5cm mass in the right atrium and right ventricle, which was confirmed on TTE. He had a TTE two weeks earlier without evidence of a mass. Cardiac MRI further revealed a large pericardial effusion and the cardiac mass encasing the right coronary artery and superior vena cava causing near occlusion of the distal SVC. A biopsy and pericardiocentesis revealed acute leukemia of ambiguous lineage, but bone marrow biopsy and serial lumbar punctures were negative for disease. The patient underwent treatment with intravenous and intrathecal chemotherapy. His course was complicated by atrial fibrillation with rapid ventricular response requiring a rate control strategy as his chemotherapy-induced thrombocytopenia prevented anticoagulation. Initial restaging scans one to three months after chemotherapy showed resolution of uptake and reduction in mass size. However, subsequent scans one month after prior scans showed the mass to have increased uptake and size, so partial resection was performed with repeat pathology confirming acute leukemia of ambiguous lineage. Initial plans for bone marrow transplant were placed on hold given local recurrence. Currently, he is receiving palliative radiation as a bridge with hope for more targeted therapy.

Acute undifferentiated leukemia is exceedingly rare and is defined as an absence of definitive myeloid or lymphoid lineage markers. There has never been a reported case of acute undifferentiated leukemia presenting as an isolated cardiac mass as seen in this case. Cardiac involvement in leukemia is rare, and it is usually associated with a distinct myeloid or lymphoid lineage if discovered. Patients with cardiac involvement are frequently asymptomatic and cardiac involvement may only be noted during autopsy. Overall, outcomes for cardiac hematologic malignancies are poor but are slightly more favorable in leukemias.

Cardiac hematologic malignancies are exceedingly rare and can progress quickly. It is important to recognize them quickly and initiate definitive treatment plans as soon as possible to prevent local and metastatic recurrence. More research is needed to understand the progression of acute undifferentiated leukemia presenting as a cardiac mass.
  • Mallipeddi, Tarun  ( Emory University School of Medicine , Atlanta , Georgia , United States )
  • Rantanen, Petra  ( Emory University School of Medicine , Atlanta , Georgia , United States )
  • Debakey, Michael  ( Emory University School of Medicine , Atlanta , Georgia , United States )
  • Cheng, Lily  ( Emory University School of Medicine , Atlanta , Georgia , United States )
  • Waheed, Nida  ( Emory University School of Medicine , Atlanta , Georgia , United States )
  • Author Disclosures:
    Tarun Mallipeddi: DO NOT have relevant financial relationships | Petra Rantanen: DO NOT have relevant financial relationships | Michael DeBakey: DO NOT have relevant financial relationships | Lily Cheng: DO NOT have relevant financial relationships | Nida Waheed: No Answer
Meeting Info:

Scientific Sessions 2025

2025

New Orleans, Louisiana

Session Info:

Beyond the Usual Suspects: Imaging Insights in HCM and Rare Cardiomyopathies

Saturday, 11/08/2025 , 09:15AM - 10:30AM

Moderated Digital Poster Session

More abstracts on this topic:
A large-scale multi-view deep learning-based assessment of left ventricular ejection fraction in echocardiography

Jing Linyuan, Metser Gil, Mawson Thomas, Tat Emily, Jiang Nona, Duffy Eamon, Hahn Rebecca, Homma Shunichi, Haggerty Christopher, Poterucha Timothy, Elias Pierre, Long Aaron, Vanmaanen David, Rocha Daniel, Hartzel Dustin, Kelsey Christopher, Ruhl Jeffrey, Beecy Ashley, Elnabawi Youssef

A Rare Case of Self-Resolving Pheochromocytoma-Induced Reverse Takotsubo Cardiomyopathy Due to Tumor Hemorrhagic Conversion

Cedeno Serna Juan, Jayant Girish, Joseph Christy, Contreras Yametti Felipe, Lorenzatti Daniel, Mangeshkar Shaunak, Morales Nieves, Carruthers David, Sims Daniel

More abstracts from these authors:
Patients’ and Surrogates’ Perspectives on Consent for an Acute Stroke Clinical Trial

Rantanen Petra, Speight Candace, Adeoye Opeolu, Davis Shannon Iris, Linke Michael, Dickert Neal

Use of Pre-procedural Computed Tomography for Ventricular Tachycardia and Pre-ventricular Contraction Ablations

Debakey Michael, Pelling Mary, Mekary Wissam, Sajja Aparna, Shah Anand, Bhatia Neal

You have to be authorized to contact abstract author. Please, Login
Not Available