Logo

American Heart Association

  54
  0


Final ID: Su3137

A Silent Storm: Incidental Discovery of IVC and Right Atrium Thrombus in a Patient with Uterine Stromal Sarcoma

Abstract Body (Do not enter title and authors here): Introduction:
Patients with malignancy, especially high-grade uterine sarcomas, are at elevated risk for venous thromboembolism (VTE), including deep vein thrombosis (DVT), pulmonary embolism (PE), and intracardiac thrombi. The coexistence of thrombi in the inferior vena cava (IVC), pulmonary arteries, and right heart is rare and potentially life-threatening, even in asymptomatic individuals. Early recognition and intervention are crucial to prevent catastrophic embolic events.

Case Presentation:
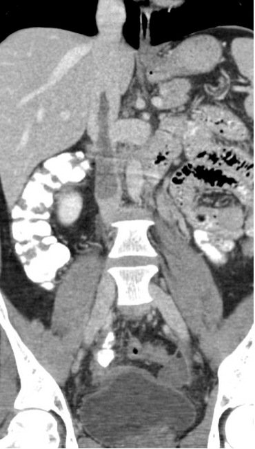
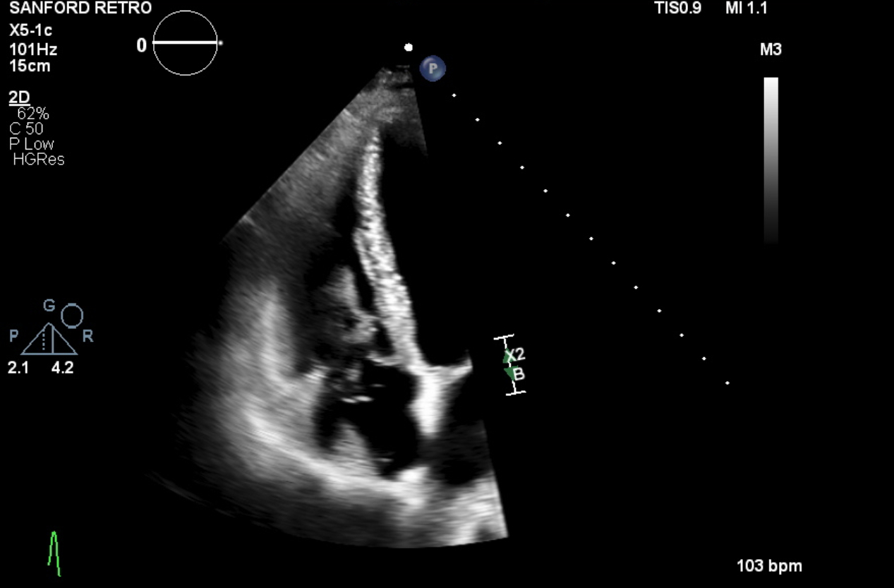
A 48-year-old female with a recent total abdominal hysterectomy for high-grade uterine stromal sarcoma presented for outpatient CT imaging to evaluate disease extent. Imaging revealed extensive IVC thrombus, a small pulmonary embolism, and a possible right atrial thrombus. The patient, who was on prophylactic-dose low molecular weight heparin (Lovenox) and had taken her morning dose, denied leg swelling or pelvic pain. Notably, she had a prior right lower extremity DVT six months earlier following an ankle fracture, treated with a three-month course of anticoagulation. She was referred to the emergency department, where transthoracic echocardiography (TTE) showed a large, mobile thrombus extending into the right atrium and ventricle. She underwent emergent mechanical thrombectomy, with complete removal of the thrombus. Post-procedure transesophageal echocardiography (TEE) confirmed no residual thrombus.

Discussion:
This case highlights the thrombotic potential in patients with uterine stromal sarcoma, particularly in the postoperative period despite prophylaxis. The development of extensive VTE in the absence of symptoms is a dangerous diagnostic blind spot. The presence of a right heart thrombus, although rare, carries a high mortality risk if left untreated. Prompt use of imaging and mechanical thrombectomy can be life-saving. This case also calls attention to the potential need for therapeutic rather than prophylactic anticoagulation in select high-risk cancer patients.

Conclusion:
Asymptomatic patients with high-risk malignancies may harbor extensive and life-threatening thrombi despite appropriate prophylaxis. This case underscores the importance of vigilance, comprehensive imaging, and timely intervention in preventing fatal embolic events in oncologic populations.
  • Wasef, Natale  ( Sanford USD Medical Center , Sioux Falls , South Dakota , United States )
  • Fatima, Tehreem  ( University of South Dakota , Sioux Falls , South Dakota , United States )
  • Stys, Adam  ( Sanford Cardiovascular Institute , Sioux Falls , South Dakota , United States )
  • Author Disclosures:
    Natale Wasef: DO NOT have relevant financial relationships | Tehreem Fatima: DO NOT have relevant financial relationships | Adam Stys: No Answer
Meeting Info:

Scientific Sessions 2025

2025

New Orleans, Louisiana

Session Info:

Life as a Vascular Medicine Specialist: Cases and Clinical Experiences

Sunday, 11/09/2025 , 11:30AM - 12:30PM

Abstract Poster Board Session

More abstracts on this topic:
18F-NaF and 18F-FDG and calcification predict the development of abdominal aortic aneurysms and is attenuated by drug therapy

Nakahara Takehiro, Miyazawa Raita, Iwabuchi Yu, Tonda Kai, Narula Nupoor, Strauss Harry, Narula Jagat, Jinzaki Masahiro

4D Cardiac Magnetic Resonance Identifies Differences in Regional Strain Patterns Among Pediatric Heart Transplant Patients with Acute Rejection or Cardiac Allograft Vasculopathy

Henderson Christopher, Starnes Joseph, Samyn Margaret, Damon Bruce, Hernandez Lazaro, Goergen Craig, Soslow Jonathan, Prado Marco Aurélio, Earl Conner, Georgedurrett Kristen, Lee Simon, Nandi Deipanjan, Chan Kak-chen, Shugh Svetlana, Kikano Sandra

More abstracts from these authors:
When a Cutie Takes Your Breath Away: A Case of Cutibacterium Acne-induced Pericardial Effusion

Wasef Natale, Benjamin Patrick, Stys Adam

The value of Coronary Artery Disease Polygenic Risk Score (CAD PRS) and Coronary Artery Calcium Score (CACS) in the prediction of Atherosclerotic Cardiovascular Diseases (ASCVD)

Wasef Natale, Larson Eric, Stys Adam, Rajpurohit Naveen, Petrasko Marian, Stys Tom, Biskupski Patrick, Alsaiqali Mahmoud, Stys Krystina, Hajek Catherine, Bartaria Shubhi, Gu Shaopeng, Guo Xiuqing, Rotter Jerome

You have to be authorized to contact abstract author. Please, Login
Not Available