Logo

American Heart Association

  127
  0


Final ID: Mo1114

When a Cutie Takes Your Breath Away: A Case of Cutibacterium Acne-induced Pericardial Effusion

Abstract Body (Do not enter title and authors here):
Introduction
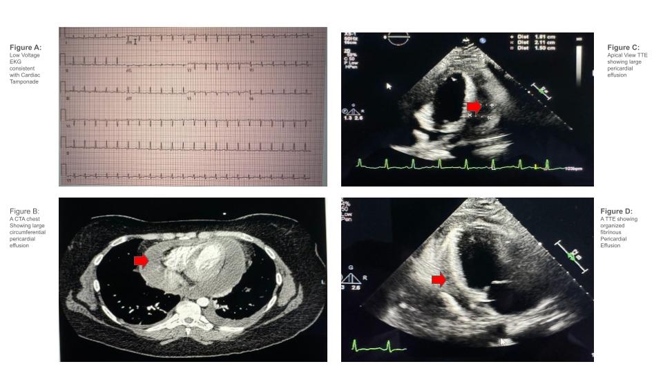
Pericarditis is an inflammation of the pericardium, a thin sac-like membrane surrounding the heart, which can progress to life threatening cardiac tamponade. It can be caused by infections (viral, bacterial, fungal, or parasitic), autoimmune conditions, injuries, or underlying medical conditions. Common symptoms include chest pain, fever, shortness of breath, and fatigue. In the case presented, the patient suffered from a severe form of pericarditis caused by a rare infectious etiology, leading to the development of cardiac tamponade.
Case Summary
A 29-year-old female with type II diabetes and hypothyroidism presented with a week of shortness of breath, chest pain, lightheadedness, and loss of consciousness. Workup showed WBC (20.6), CRP (283), and ESR (85). Echocardiogram revealed a large pericardial effusion with right ventricular collapse, indicating cardiac tamponade. She underwent pericardiocentesis, draining 400 ml of exudative fluid. Unfortunately, the effusion rapidly re-accumulated, requiring a pericardial window procedure with drainage of fibrinous, loculated fluid over 2 days, improving her symptoms. She was discharged on colchicine and NSAIDs, however she returned 5 days later with recurrent symptoms and fever. The culture of the previous fluid showed Cutibacterium acne. Histopathology of pericardial biopsy revealed fibrinoid pericarditis. She was treated with ceftriaxone, and transitioned to doxycycline for 14 days, along with 14 days of ibuprofen and 3 months of colchicine. At 3-month follow-up, she was asymptomatic with no effusion recurrence.
Conclusion:
As bacterial pericarditis cases rise, the initial work-up should include investigating bacterial etiology. This raises the question of antibiotic coverage for patients presenting with pericardial effusion until bacterial etiology is excluded and also advocate for elective pericardiocentesis in bacterial effusions without tamponade physiology.
  • Wasef, Natale  ( Sanford Cardiovascular Institute , Sioux Falls , South Dakota , United States )
  • Benjamin, Patrick  ( Sanford USD medical center , Sioux Falls , South Dakota , United States )
  • Stys, Adam  ( Sanford Cardiovascular Institute , Sioux Falls , South Dakota , United States )
  • Author Disclosures:
    Natale Wasef: DO NOT have relevant financial relationships | Patrick Benjamin: DO NOT have relevant financial relationships | Adam Stys: No Answer
Meeting Info:

Scientific Sessions 2024

2024

Chicago, Illinois

Session Info:

Heart Failure Must See CV (Clinical Vignettes)

Monday, 11/18/2024 , 10:30AM - 11:30AM

Abstract Poster Session

More abstracts on this topic:


A Case of Possible IgG4-Related Constrictive Pericarditis Masquerading as Idiopathic Pericarditis: A Rare and Elusive Diagnosis

Nandyal Shreyas, Sharma Bharosa, Gajjar Rohan, Varma Revati, Ezegwu Olisa, Amdetison Gedion Yilma, Tottleben Jon

A Novel Multivariate Scoring System for Diagnosing Post-Myocardial Infarction Pericarditis Following Percutaneous Coronary Intervention

Bolaji Olayiwola, Omoru Okiemute, Upreti Prakash, Echari Blanche, Shoar Saeed, Basit Jawad, Alraies M Chadi

More abstracts from these authors:
The value of Coronary Artery Disease Polygenic Risk Score (CAD PRS) and Coronary Artery Calcium Score (CACS) in the prediction of Atherosclerotic Cardiovascular Diseases (ASCVD)

Wasef Natale, Larson Eric, Stys Adam, Rajpurohit Naveen, Petrasko Marian, Stys Tom, Biskupski Patrick, Alsaiqali Mahmoud, Stys Krystina, Hajek Catherine, Bartaria Shubhi, Gu Shaopeng, Guo Xiuqing, Rotter Jerome

A Silent Storm: Incidental Discovery of IVC and Right Atrium Thrombus in a Patient with Uterine Stromal Sarcoma

Wasef Natale, Fatima Tehreem, Stys Adam

You have to be authorized to contact abstract author. Please, Login
Not Available