Logo

American Heart Association

  38
  0


Final ID: MP1937

A Trickling Hourglass: A Case of Purulent Pericarditis and Liver Abscess Caused by Parvimonas micra

Abstract Body (Do not enter title and authors here): Introduction
Parvimonas is a part of the oral and gastrointestinal flora. It is a rare cause of purulent pericarditis and liver abscess. The literature has reported isolated cases of pericardial abscesses and liver abscesses caused by other anaerobes and E. coli. We report a rare case of concomitant pericardial and liver abscess caused by Parvimonas micra.
Case Report
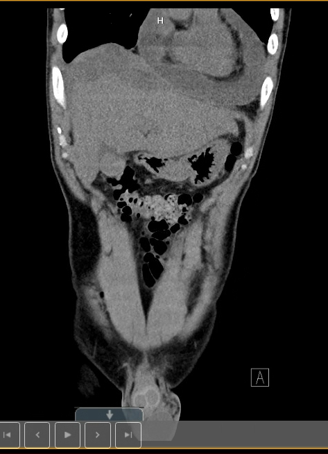
Our case is a 51-year-old male with a past medical history of multiple sclerosis who presented to the emergency department with vomiting, chest pain, and shortness of breath. The EKG on admission was concerning for ST elevation in the inferolateral leads, but it resolved without any intervention. He had normal troponins. 2-D echocardiogram showed moderate to large circumferential pericardial effusion with mobile echodensities along the RV without evidence of cardiac tamponade physiology. CT of the abdomen and pelvis also revealed low attenuation in the left hepatic lobe that was concerning for liver abscess with free fluid in the pelvis. Pericardiocentesis was done and yielded 500 ml of straw-colored fluid. An ultrasound-guided pigtail catheter was inserted for the liver abscess, which drained 70 ml of purulent fluid. Cultures from the pericardial fluid yielded Parvimonas mica. The patient was treated empirically with piperacillin-tazobactam and was later switched to ceftriaxone. However, a repeat echocardiogram done a few days later showed reaccumulation of purulent pericardial effusion, which required a pericardial window. The patient also developed bilateral pleural effusions after the pericardial window. Drainage of right pleural fluid yielded 950 ml of neutrophilic predominant fluid. Afterwards, he improved clinically and was discharged with a four-week course of IV ceftriaxone followed by PO Augmentin for another four weeks.
Discussion
In our case, the patient initially presented with chest pain and electrocardiographic findings of inferolateral ST elevation and was found to have purulent pericarditis and a liver abscess. Literature reports rare cases of liver abscess and purulent pericarditis in isolation caused by Parvimonas micra; however, in our case, the patient had concomitant pericardial and liver abscess from Parvimonas micra. One case reported both abscesses in the same patient caused by B. fragilis, Hungatella hathewayi, and Fusobacterium nucleatum. Our patient also had reaccumulation of pericardial abscess requiring creation of a pericardial window during the hospital course.
  • Chaudhary, Noman Ahmed  ( University at Buffalo-Catholic Health System , Buffalo , New York , United States )
  • Ali, Ahmed  ( University at Buffalo-Catholic Health System , Buffalo , New York , United States )
  • Author Disclosures:
    Noman Ahmed Chaudhary: DO NOT have relevant financial relationships | Ahmed Ali: No Answer
Meeting Info:

Scientific Sessions 2025

2025

New Orleans, Louisiana

Session Info:

Layers of Complexity: Managing Pericardial Infection, Hemorrhage and Inflammation

Monday, 11/10/2025 , 10:45AM - 11:55AM

Moderated Digital Poster Session

More abstracts on this topic:
Association of Demographic and Clinical Factors with SARS-CoV-2 Anti-Nucleocapsid Antibody Response Among Previously Infected US Adults: The C4R Study

Demmer Ryan, Bell Taison, Anderson Michaela, Allen Norrina, Schreiner Pamela, Bowler Russell, Schwartz David, Lee Joyce, Xanthakis Vanessa, Rock Jean, Bievenue Rachel, Wu Chaoqi, Pirzada Amber, Doyle Margaret, Regan Elizabeth, Make Barry, Kanaya Alka, Kandula Namratha, Morganroth S, Coresh Joe, Isasi Carmen, Raffield Laura, Kim John, Elkind Mitchell, Howard Virginia, Ortega Victor, Woodruff Prescott, Cole Shelley, Henderson Joel, Mantis Nicholas, Oelsner Elizabeth, Sun Yifei, Balte Pallavi, Cushman Mary, Boyle Rebekah, Tracy Russell, Styer Linda

A Rare Case of Adalimumab-Induced Cardiac Tamponade in a Patient with Psoriatic Arthritis

Raval Akhinav, Tran Minh, Saini Ishveen, Rea Mark

You have to be authorized to contact abstract author. Please, Login
Not Available