Logo

American Heart Association

  65
  0


Final ID: MP2533

Device-Related Thrombosis on Watchman Implant: A Case Study Highlighting the Importance of Hypercoagulable Workup

Abstract Body (Do not enter title and authors here): 68-year-old female with history of non-valvular atrial fibrillation who was unable to tolerate anti-coagulation due to multiple episodes of GI bleeds. She underwent left atrial appendage occlusion with a WATCHMAN (Boston Scientific). A 45 day post watchman implant did not reveal a leak and showed appropriate occlusion. Three months post-implantation, routine transesophageal echocardiography (TEE) revealed a small thrombus on the device. Patient was placed back on Rivaroxaban for 3 months. Repeat TEE showed resolution of the thrombus, and was taken of AC. One month after her last TEE (7 months after implantation); The patient presented to the emergency department with acute onset of right-sided hemiparesis and aphasia.

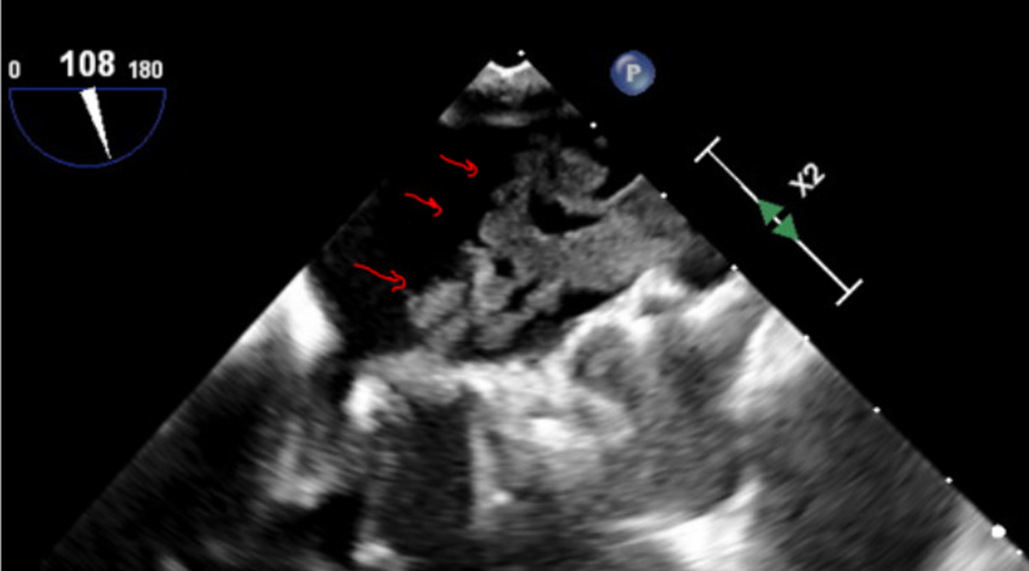
Initial work up
ECG showed rate controlled atrial fibrillation, with no change from prior ECGs. No significant elevations in cardiac biomarkers. Computed tomography angiography showed an acute left middle cerebral artery occlusion, confirmed by MRI. Emergency thrombectomy was performed. Urgent TEE was obtained; showed a massive frond like thrombus that encompassed the left atrium and originated on the Watchman device. The thrombus originated at the site of the occluder device. Given the recurrence of thrombus, patient underwent a hypercoagulable workup which was consistent with Anti-phospholipid antibody syndrome(APS) (Lupus anticoagulant elevated). Patient was recommended to switch to warfarin as treatment for APS and ASA. Repeat TEE 6 months later show improvement in the size of the thrombus (1.33 cm by 0.76 cm). Thankfully, there were no more episodes for GI bleeds or strokes during this period of time.

Device-related thrombosis risk: The incidence of device-related thrombosis following Watchman implantation is reported to be approximately 3-4%. While most cases respond to anticoagulation, some patients may develop recurrent thrombosis. It is important to understand the factors that contribute to thrombus formation. Importance of hypercoagulable workup: The patient's underlying antiphospholipid syndrome was not identified prior to device implantation. This case underscores the necessity of conducting a thorough hypercoagulable workup in patients considered for left atrial appendage occlusion devices. Regular follow-up with imaging studies is crucial for early detection and management of device-related complications. In this case, routine TEE at three months post-implantation allowed for timely detection and treatment of the initial thrombus.
  • Yellapu, Vikas  ( ST. LUKE'S CARDIOLOGY , Bethlehem , Pennsylvania , United States )
  • Amaratunga, Eluwana  ( ST. LUKE'S CARDIOLOGY , Bethlehem , Pennsylvania , United States )
  • Desai, Spandan  ( ST. LUKE'S CARDIOLOGY , Bethlehem , Pennsylvania , United States )
  • Ankola, Mihir  ( St Luke's University Health Network , Easton , Pennsylvania , United States )
  • Plamenac, Jovan  ( ST. LUKE'S CARDIOLOGY , Bethlehem , Pennsylvania , United States )
  • Thacker, Purujit  ( ST. LUKE'S CARDIOLOGY , Bethlehem , Pennsylvania , United States )
  • Author Disclosures:
    Vikas Yellapu: DO NOT have relevant financial relationships | Eluwana Amaratunga: No Answer | Spandan Desai: DO NOT have relevant financial relationships | Mihir Ankola: DO NOT have relevant financial relationships | Jovan Plamenac: No Answer | Purujit Thacker: No Answer
Meeting Info:

Scientific Sessions 2025

2025

New Orleans, Louisiana

More abstracts on this topic:
Administration of the Recombinant Activated Protein C Rescues the Cardiac Vulnerability to Ischemic Insults in Aging through Modulating Inflammatory Response during Ischemia and Reperfusion

Slotabec Lily, Rouhi Nadiyeh, Seale Blaise, Wang Hao, Filho Fernanda, Adenawoola Michael, Li Ji

A novel risk score predicts the prevalence of left atrial low-voltage areas and rhythm outcome in patients undergoing long-standing persistent atrial fibrillation ablation

Ooka Hirotaka, Nakao Sho, Kusuda Masaya, Ariyasu Wataru, Kudo Satoshi, Fujii Subaru, Mano Toshiaki, Matsuda Yasuhiro, Masuda Masaharu, Okamoto Shin, Ishihara Takayuki, Nanto Kiyonori, Tsujimura Takuya, Hata Yosuke, Uematsu Hiroyuki

More abstracts from these authors:
Differential Outcomes of TAVR With and Without Percutaneous Coronary Intervention During Same Hospitalization

Ankola Mihir, Viqar Aamir, Yellapu Vikas, Shirani Jamshid

COVID-19 Impacted Septal Reduction Therapies in Hypertrophic Cardiomyopathy

Desai Spandan, Roma Nicholas, Pattoli Megan, Durkin Matthew, Shah Kashyap, Amaratunga Eluwana, Magid Lindsey, Yellapu Vikas, Shirani Jamshid

You have to be authorized to contact abstract author. Please, Login
Not Available