Logo

American Heart Association

  61
  0


Final ID: Su2003

Plaque Eccentricity and Delayed Flow as Predictors of Vulnerable Lesions in Unstable Angina: Insights from Dynamic Angiography, IVUS, and Deep Learning for Personalized Management

Abstract Body (Do not enter title and authors here): Background: In coronary hemodynamics, laminar flow is a protective mechanism, and turbulent flow is a detrimental factor. In clinical practice, for patients with unstable angina, the necessity of intervention for moderate lesions (50-70% stenosis) is always questioned. In this study, we comprehensively evaluated the risk factors that may lead these plaques to progress to myocardial infarction using angiography, IVUS, and Deep Learning.
Hypothesis: Vulnerable lesions are usually associated with plaque eccentricity and stagnant flow, causing chest pain.
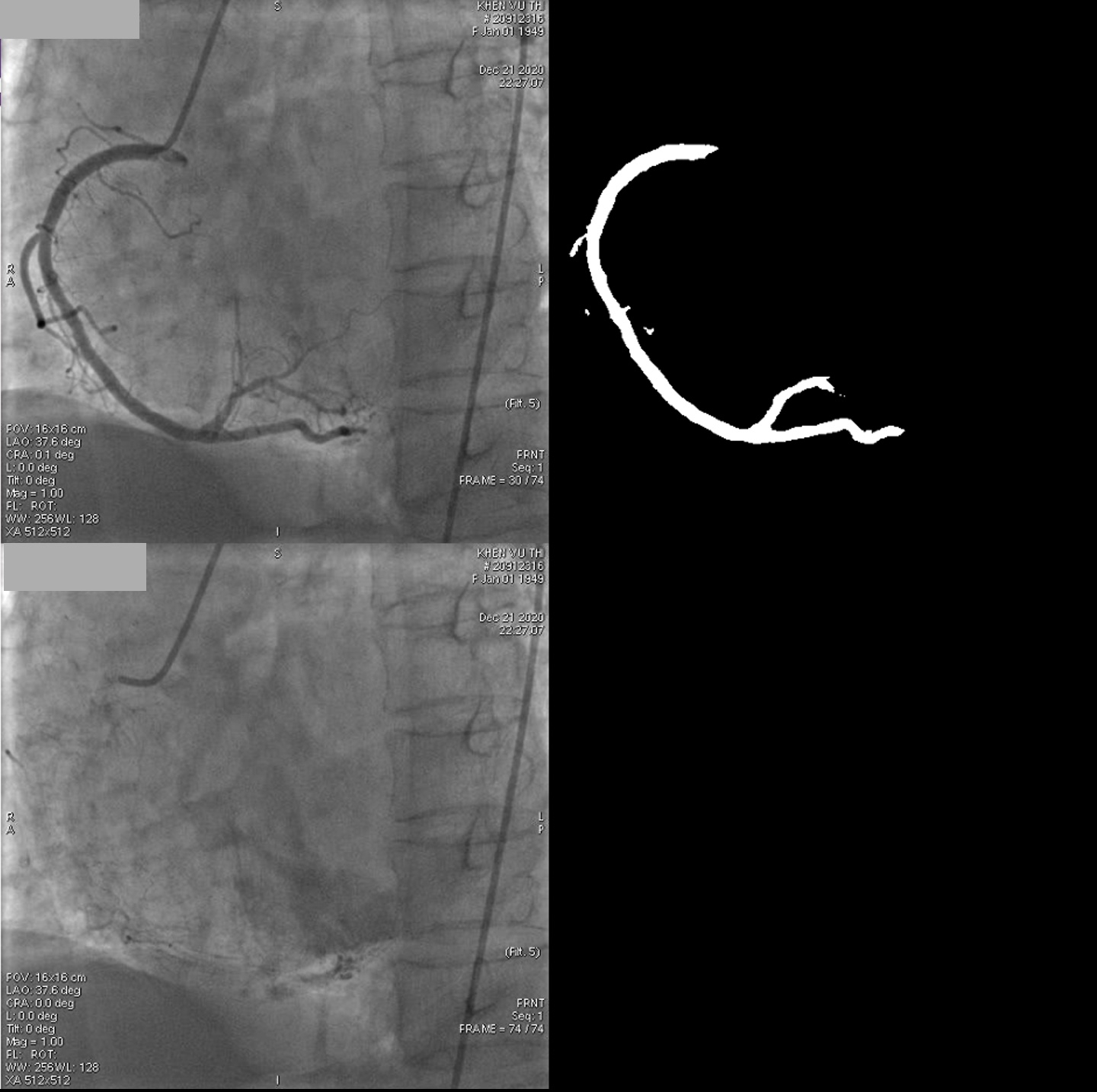
Methods: Patients with a single lesion admitted with diagnosed of unstable angina underwent the dynamic angiographic technique with IVUS support. First, the coronary artery was fully injected with contrast. After the injection stopped, the blood (white) began streaming in to replace the contrast (black). The flow characteristics and movements will be recorded through the disappearance of the contrast opacity with 15 frames/second. In aditionally, the arterial phase (AP) was calculated as the time from frames with full contrast to frames with washed-out contrast. Moreover, IVUS was performed for evaluate plaque features (eccentricity, calcification and vulnerable). At the same time, deep learning (DL) models were built based on independent datasets (225 angiogram videos). The DL program was constructed using a combination of U-Net and DenseNet-121. The segmentation model and a convolutional neural network were used to detect the starting frame, ending frame of AP.
Results: Fifty patients met inclusion criteria (72% males) with a mean age of 66.2 ± 9.5 years. IVUS analysis revealed that 84% (42 patients) had plaque eccentricity without (or minimal) calcification. Contrast stagnation was observed for a longer duration in eccentric coronary regions compared to non-eccentric plaque regions, as quantified by DL analysis of the arterial phase (24.5 +/- 1.6 frames vs 30.1+/- 1.4 frames, p < 0.05). After stenting, the stagnant flow was eliminated, and flow was restored to 25 ± 2.1 frames.
Conclusion: Plaque eccentricity along with a prolonged arterial phase (stagnant flow) are causes of chest pain in unstable angina. This is a personalized indication for PCI, even if they are moderate lesions.

  • Vu, Loc  ( Tan Tao University , Long An , Viet Nam )
  • Ho, Dung  ( Thong Nhat Hospital , Hochiminh City , Viet Nam )
  • Ngo, Khiem  ( UTRGV , Harlingen , Texas , United States )
  • Le, Minh  ( IGPM, Taipei Medical University , Houston , Texas , United States )
  • Huynh, Thuan  ( Thong Nhat Hospital , Hochiminh City , Viet Nam )
  • Nguyen, Quan  ( Cardiovascular Research Lab , Merrillville , Indiana , United States )
  • Tran, Trien  ( Methodist Hospital , Merrillville , Indiana , United States )
  • Le, Bao Huy  ( Methodist Hospital , Laporte , Indiana , United States )
  • Truyen, Thien Tan Tri Tai  ( Nam Can Tho University , Can Tho , Viet Nam )
  • Nguyen, Thach  ( Methodist Hospital , Laporte , Indiana , United States )
  • Author Disclosures:
    Loc Vu: DO NOT have relevant financial relationships | Thach Nguyen: DO NOT have relevant financial relationships | Dung Ho : DO NOT have relevant financial relationships | Khiem Ngo: DO NOT have relevant financial relationships | Minh Le: DO NOT have relevant financial relationships | Thuan Huynh: No Answer | Quan Nguyen: DO NOT have relevant financial relationships | Trien Tran: DO NOT have relevant financial relationships | Bao Huy Le: No Answer | Thien Tan Tri Tai Truyen: DO NOT have relevant financial relationships
Meeting Info:

Scientific Sessions 2025

2025

New Orleans, Louisiana

Session Info:
More abstracts on this topic:
A Health Coach-Based Multi-Level Personalized Strategy Lowers LDL-Cholesterol and Enhances Lipid Control in Veterans with Atherosclerotic Cardiovascular Disease – The VA Lipid Optimization Reimagined Quality Improvement Project at VA New York Harbor Healthcare System

Chen Tina, Ingerman Diana, Haley Leah, Salovaara Priscilla, Nicholson Andrew, Illenberger Nicholas, Natarajan Sundar

A Novel Approach to Manage Hypercholesterolemia: The Veterans Affairs Lipid Optimization Reimagined Quality Improvement (VALOR-QI) Program

Djousse Luc, Leesch Tharen, Pena David, Gaziano Michael, Ward Rachel, Wellman Helen, Yel Nedim, Santos Abigail, Delgrande Jen, Fink Abigail, Colson Kristin, Pan Eddie

More abstracts from these authors:
Quantifying the Coronary Artery Slow Flow Phenomenon: Insight from Dynamic Angiography and Deep Learning

Vu Loc, Le Pham Thao Vy, Nguyen Hieu, Lam Vinh Sieu, Ho Dung, Nguyen Thach, Mai Minh, Huynh Thuan, Nguyen Chinh, Pham Thanh Tam, Pham Huan, Nguyen Hien, Truyen Thien Tan Tri Tai, Ngo Khiem

Superiority of Ultrahigh-Resolution Photon-Counting Computed Tomography in Follow-up In-Stent Restenosis

Nguyen Chinh, Nguyen Thach, Tran Cuong, Ngo Minh Tuan, Bui Bich, Nguyen Duong Quoc Anh, Dang Hoang Tuyen, Ngo Khiem, Vu Loc, Ho Dung

You have to be authorized to contact abstract author. Please, Login
Not Available