Logo

American Heart Association

  56
  0


Final ID: Sa3134

Intraoperative Anaphylaxis in the Setting of Undiagnosed Alpha-Gal Syndrome: A Heart Team Clinical Conundrum

Abstract Body (Do not enter title and authors here): Alpha-gal syndrome (AGS) is a potentially life-threatening allergic reaction to galactose-alpha-1,3-galactose, a carbohydrate found in non-primate mammalian tissue. While reactions classically occur after ingestion of mammalian tissue as food, they may also occur following exposure to animal-derived medications such as heparin or bioprosthetic materials (tissue or valves).

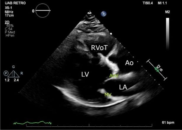
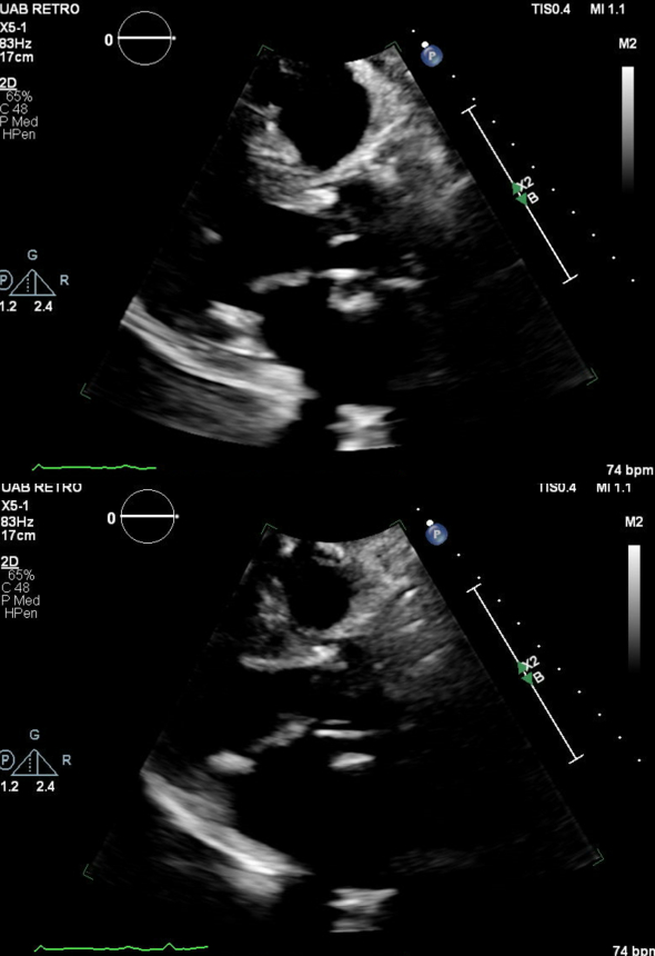
A 74-year-old male developed severe intraoperative vasoplegia following surgical aortic valve replacement, ascending aortic replacement, and coronary artery bypass grafting. He was separated from cardiopulmonary bypass without issue, but cardiopulmonary collapse occurred with transfusion of protamine, fresh frozen plasma, and platelets. He was treated for presumed anaphylaxis with inotropes, steroids, and angiotensin II. While this collapse was initially attributed to transfusion reaction, subsequent investigation revealed a diagnosis of AGS. He was treated with diet restrictions and omalizumab outpatient and his bioprosthetic valve has demonstrated no signs of early failure.

Following sensitization to alpha-gal, the severity and clinical timing of an IgE-mediated hypersensitivity reactions vary according to the individual and exposure. In this case, the intraoperative heparin bolus likely contributed to the patient’s hemodynamic compromise. In addition to life-threatening anaphylaxis, AGS may also have deleterious, long-term effects to the cardiovascular system. It may decrease the lifespan of bioprosthetic valves through repeated cycles of inflammation, calcification, and scarring. Damage may be mitigated by utilization of immune decellularized semi-synthetic bioprosthetic valves or alpha-gal knockout animals as donors for heart valves. AGS may also accelerate atherosclerosis and coronary artery disease through repeated cycles of inflammation. There is no cure for AGS, but the incidence of iatrogenic reactions in cardiac patients may be reduced through use of non-heparin anticoagulants intraoperatively, prophylaxis with steroids and antihistamines prior to heparin blousing, or utilization of decellularized bioprosthetic materials as previously mentioned.

AGS should be considered in anaphylactic patients who receive intra-procedural heparin. The manifestation of alpha-gal-related allergies is uniquely inconsistent in timing and severity. Long-term clinical and echocardiographic surveillance are warranted to monitor for accelerated coronary disease and early bioprosthetic failure.
  • Henderson, Joshua  ( University of Alabama at Birmingham , Birmingham , Alabama , United States )
  • Author Disclosures:
    Joshua Henderson: DO NOT have relevant financial relationships
Meeting Info:

Scientific Sessions 2025

2025

New Orleans, Louisiana

Session Info:

Clinical Mechanisms and Models: Advancing Our Understanding of Valve Pathophysiology

Saturday, 11/08/2025 , 02:30PM - 03:30PM

Abstract Poster Board Session

More abstracts on this topic:
Anticoagulation versus Antiplatelets Across Subgroups of Embolic Stroke of Undetermined Source: A Meta-Analysis of Seven Randomized Controlled Trials

Ghannam Malik, Elkind Mitchell, Tirschwell David, Poli Sven, Kamel Hooman, Yaghi Shadi, Al-qudah Abdullah, Alshaer Qasem, Kronmal Richard, Ntaios George, Longstreth W, Furie Karen, Saver Jeffrey, Kasner Scott

A Remedy for the Heart and the Hemoglobin: Improvement in Anemia Post Transcatheter Aortic Valve Replacement

Matta Raghav, Roy Aanya, Hammad Bayan, Draffen Arvind, Natsheh Zachary, Tiu Daniel, Tiu David, Salem Edward, Balami Jesse, Kalagara Swetha, Gupta Neil, Uraizee Omar, Sahgal Savina, Mishra Atreya, Ene Adriana, Hattab Aleyah, Arora Aarushi, Sufyaan Humam, Dau Trang, Silberstein Jonathan, Yu Julia, Torres Kayla, Seshadri Suhas, Navarro Laura, Singam Manisha, Ismail Mariam, Rana Riya, Habeel Samer, Liu Simon, Chaganti Srinidhi, Gurbuxani Vidur, Dwyer Kaluzna Stephanie, Groo Vicki, Carlson Andrew, Shroff Adhir, Bhayani Siddharth, Khan Azmer, Bhattaram Rohan, Zhang Runze, Shah Pal

You have to be authorized to contact abstract author. Please, Login
Not Available