Logo

American Heart Association

  79
  0


Final ID: MP1085

Extracellular miR-150 Released by hAMSC in Response to Ischemia/Reperfusion Injury Identifies a Novel Target for Myocardial Repair

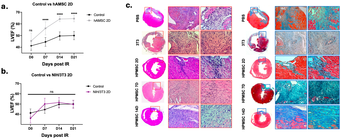
Abstract Body (Do not enter title and authors here): Introduction. Human amniotic mesenchymal stem cells (hAMSC) possess substantial therapeutic potential in hepatic, oncological, and degenerative disorders; however, their role in cardiovascular diseases in the context of acute myocardial infarction still remains unexplored. Methods and results. We investigated the contribution of hAMSC in a murine model of myocardial ischemia/reperfusion (I/R). C57BL/6 mice were subjected to 40 minutes transient ligation of the left anterior descending coronary artery, followed by intravenous administration of 2x10^5 hAMSC at 2, 7, or 14 days post-I/R. Cardiac function and molecular signaling involving the MIAT/miR-150/Hoxa4 axis were evaluated. Mice receiving hAMSC two days after I/R exhibited significant cardioprotection, evidenced by an improved left ventricular ejection fraction (LVEF) at 21 days post-injection (64.5 ± 2.7 vs. 50.0 ± 3.6), and a marked reduction in myocardial necrosis and fibrosis. Immunohistochemical analysis of cardiac tissue using a human-specific anti-hAMSC antibody, SSEA-4, revealed minimal cellular engraftment, limiting the assessment of direct cell-mediated effects. Interestingly, hAMSC-treated hearts showed elevated levels of miR-150 and concomitant downregulation of Hoxa4, consistent with its cardioprotective role. This effect is likely mediated by suppression of MIAT effect, a lncRNA known to upregulate Hoxa4 by sponging miR-150. To assess the functional role of miR-150, we employed CRISPR-Cas9 to generate miR-150-deficient hAMSC. Notably, these modified cells lost their cardioprotective effects when administered to I/R-injured mice (56.45 ± 4.94 vs 44 ± 5.29). Further analysis revealed that miR-150 is present in extracellular vesicles (EVs) secreted by hAMSC in response to I/R stimuli. Administration of purified EVs reproduced the cardioprotective effects observed with intact hAMSC (57.33 ± 2.51 vs 49.66 ± 3.50), underscoring a paracrine mechanism mediated by the miR-150 cargo. Following the above, engineered lipid nanoparticles containing miR150 also exerted the same levels of protection (55 ± 2 vs 44.58 ± 3.73). Conclusions: hAMSC promote cardiac repair following acute myocardial infarction through mechanisms involving the MIAT/miR-150/Hoxa4 axis. These findings highlight the therapeutic relevance of hAMSC-derived EVs and suggest that miR-150-based interventions, such as exosome therapy or nanoparticle delivery, may serve as effective alternatives to conventional cell-based treatments.
  • Alcharani, Nunzio  ( Fundacion Univ Francisco de Vitoria , Pozuelo De Alarcon , Spain )
  • Tesoro, Laura  ( Fundacion Univ Francisco de Vitoria , Pozuelo De Alarcon , Spain )
  • Hernandez Navarro, Ignacio  ( Fundacion Univ Francisco de Vitoria , Pozuelo De Alarcon , Spain )
  • Cook, Alberto  ( UNIVERSIDAD ALCALA , Alcala De Henares Madrid , Spain )
  • Gonzalez-cucharero, Claudia  ( Hospital Ramon y Cajal , Madrid , Spain )
  • Jimenez-guirado, Beatriz  ( Fundacion Univ Francisco de Vitoria , Pozuelo De Alarcon , Spain )
  • Zamorano, Jose  ( Hospital Ramon y Cajal , Madrid , Spain )
  • Saura, Marta  ( UNIVERSIDAD ALCALA , Alcala De Henares Madrid , Spain )
  • Iglesias, Maite  ( Fundacion Univ Francisco de Vitoria , Pozuelo De Alarcon , Spain )
  • Zaragoza, Carlos  ( Fundacion Univ Francisco de Vitoria , Pozuelo De Alarcon , Spain )
  • Author Disclosures:
    Nunzio Alcharani: DO NOT have relevant financial relationships | Carlos Zaragoza: DO NOT have relevant financial relationships | Laura Tesoro: DO NOT have relevant financial relationships | Ignacio Hernandez Navarro: DO NOT have relevant financial relationships | Alberto Cook: DO NOT have relevant financial relationships | Claudia Gonzalez-Cucharero: DO NOT have relevant financial relationships | Beatriz Jimenez-Guirado: No Answer | Jose Zamorano: DO NOT have relevant financial relationships | Marta Saura: DO NOT have relevant financial relationships | Maite Iglesias: DO NOT have relevant financial relationships
Meeting Info:

Scientific Sessions 2025

2025

New Orleans, Louisiana

Session Info:

Mechanisms of Vascular Repair

Saturday, 11/08/2025 , 12:15PM - 01:25PM

Moderated Digital Poster Session

More abstracts on this topic:
A multi-proteomic Risk Score Predicts Adverse Cardiovascular Outcomes in Patients with Angina and Non-obstructive Coronary Artery Disease

Huang Jingwen, Lodhi Rafia, Lodhi Saleha, Eldaidamouni Ahmed, Hritani Wesam, Hasan Muhammet, Haroun Nisreen, Quyyumi Arshed, Mehta Puja, Leon Ana, Ko Yi-an, Yang Huiying, Medina-inojosa Jose, Ahmed Taha, Harris Kristen, Alkhoder Ayman, Al Kasem Mahmoud

Clonal Fate Mapping of Sinoatrial Node Progenitors

Kethana Khushi, Black Brian, Galang Giselle, Chouhan Gagandeep, Mandla Ravi, Sinha Tanvi, Devine Walter, Mohan Rajiv, Soe Amanda, Vedantham Vasanth

More abstracts from these authors:
Novel Biomarkers of Tricuspid Valve regurgitation (TR). Insights from a novel and minimally invasive large-animal model of TR

Gonzalez-cucharero Claudia, Hernandez Navarro Ignacio, Tesoro Laura, Alcharani Nunzio, Zamorano Jose, Saura Marta, Zaragoza Carlos

Endothelial ILK deficiency promotes cardiac dysfunction via pro-inflammatory extracellular vesicle signaling.

Cook Alberto, Delgado-marin Maria, Moreta Silvia, Jimenez-guirado Beatriz, Tesoro Laura, Zaragoza Carlos, Saura Marta

You have to be authorized to contact abstract author. Please, Login
Not Available