Logo

American Heart Association

  50
  0


Final ID: MP2554

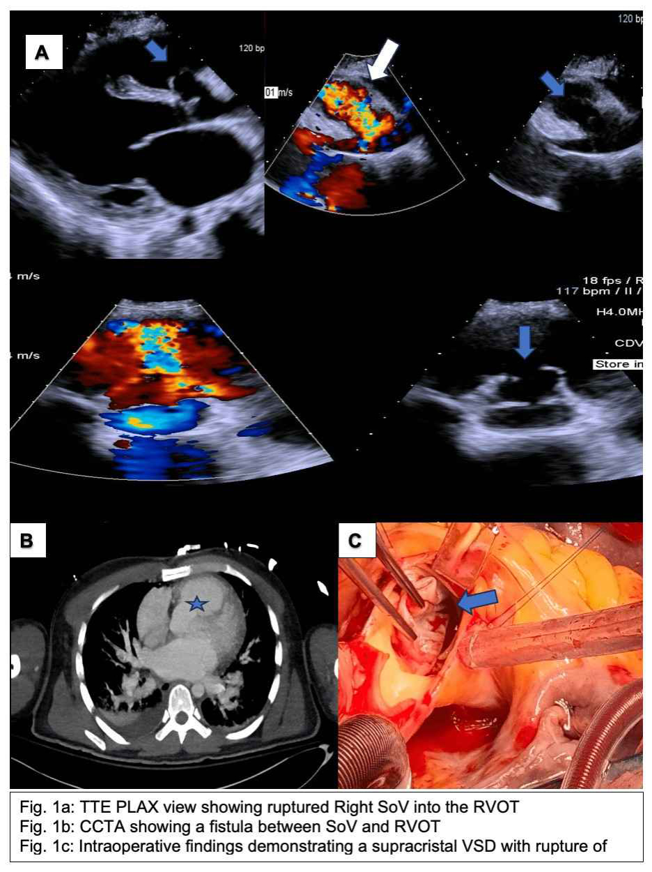
WHEN THE LIVER POINTS TO THE HEART: A RARE PRESENTATION OF SINUS OF VALSALVA RUPTURE

Abstract Body (Do not enter title and authors here): INTRODUCTION/BACKGROUND: Sinus of Valsalva aneurysms are very rare congenital heart disease. Most cases of ruptured sinus of Valsalva aneurysms (RSVA) are associated with other congenital defects. We present a case of Sinus of valsalva aneurysm (SoVA) rupture with underlying supracristal VSD (sVSD).
CASE PRESENTATION:A 27-year-old male with a past medical history significant for a VSD (diagnosed at childhood but lost to follow up at 18 years of age) who was admitted to the intensive care unit for management of undifferentiated shock, acute renal failure and acute liver failure. Upon initial evaluation, vital signs showed blood pressure of 130/34 mmHg, heart rate 118 bpm, SpO2 100% on 3L NC. An emergent transthoracic echocardiogram with color doppler showed unrestricted left to right flow from the RSoV to RVOT in systole and diastole with concern for ruptured SoV aneurysm. A non-contrast CT scan of the chest also showed a dilated pulmonary trunk with a connection between the SoV and RVOT. Patient underwent primary closure of the VSD, as well as a patch repair of a large fistula between R sinus of Valsalva and RVOT. Patient steadily improved with normalization of renal function and hepatic function. DISCUSSION: Aneurysm of the sinus of Valsalva (SoV) is a rare acquired or congenital anomaly predominantly affecting the right and the noncoronary sinuses, with an estimated prevalence of 0.09% of the population. Most sinus of Valsalva aneurysms arise from the right or the noncoronary sinuses. The most common site of rupture of SOV aneurysm is into the right ventricle followed by right atrium, left ventricle, and the left atrium. Hemodynamically, the flow through VSD produces Venturi effect “windsock effect. This left to right shunt caused by the supracristal VSD weakens the elastic lamina of the aortic sinus creating the SOV aneurysm. Overtime due to continuous negative pressure a SOVA develops on the right aortic root, which can rupture into the right ventricular outflow tract as seen in our case. CONCLUSION: Sinus of Valsalva aneurysm rupture is a rare but potentially fatal complication and should be considered on the differential in a young individual with underlying sVSD presenting with hemodynamic collapse.
  • Akhigbe, Esiemoghie  ( The Ohio State University , Columbus , Ohio , United States )
  • Krishnan, Vinay  ( The Ohio State University , Columbus , Ohio , United States )
  • Rajpal, Saurabh  ( The Ohio State University , Columbus , Ohio , United States )
  • Author Disclosures:
    Esiemoghie Akhigbe: DO NOT have relevant financial relationships | Vinay Krishnan: DO NOT have relevant financial relationships | Saurabh Rajpal: No Answer
Meeting Info:

Scientific Sessions 2025

2025

New Orleans, Louisiana

Session Info:
More abstracts on this topic:
A Case of Double Chambered Right Ventricle Associated with Ventricular Septal Defect- an Overlooked Congenital Heart Disease

Wang Roy, Gorantla Asher, Budzikowski Adam, Graham-hill Suzette, Bukharovich Inna, Abdulfattah Ammar, Palmer Wayne-andrew, Chandrakumar Harshith, Schaible Michael, Allison Elizabeth, Thambireddy Monica, Nnadi Ekenedilichukwu, Nevolina Anna

CARDIAC TUMORS EVOLUTION IN PATIENTS WITH TUBEROUS SCLEROSIS

Hotta Viviane, Ribeiro Anna Christina, Quadro Matos Maria Rosa, Tanaka Ana Cristina, Soliani Marilia, Oishi Gardenia, Rocha Ruiza, Miura Nana, Fernandes Fabio

More abstracts from these authors:
Machine learning analysis of serum proteome in the diagnosis of COVID-19 myocarditis

Gordon Kyle, Liu Shan-lu, Daniels Curt, Rajpal Saurabh, Madiai Francesca, Gumina Richard, Gordon Cade William, Roman Ana, Watson Samuel, Tong Matthew, Addison Daniel, Jones Daniel, Oltz Eugene, Lozanski Gerard

Expect the Unexpected: Type A Aortic Dissection in Pregnant Patient with Marfan Syndrome

Stucky Lauren, Rajpal Saurabh, Lastinger Lauren

You have to be authorized to contact abstract author. Please, Login
Not Available