Logo

American Heart Association

  23
  0


Final ID: MP992

Myocardial Inflammation and Complete Heart Block in Anti-NXP-2 Dermatomyositis: An Unrecognized Cardiac Manifestation

Abstract Body (Do not enter title and authors here): Introduction: Dermatomyositis (DM) is a rare autoimmune myopathy with multisystem involvement including skin and skeletal muscle. Cardiac conduction abnormalities are rarely reported in DM and polymyositis, with only a few documented cases. Data linking specific autoantibodies to cardiac involvement is limited. We report the first case of complete heart block (CHB) in a patient with anti-NXP-2 positive DM.
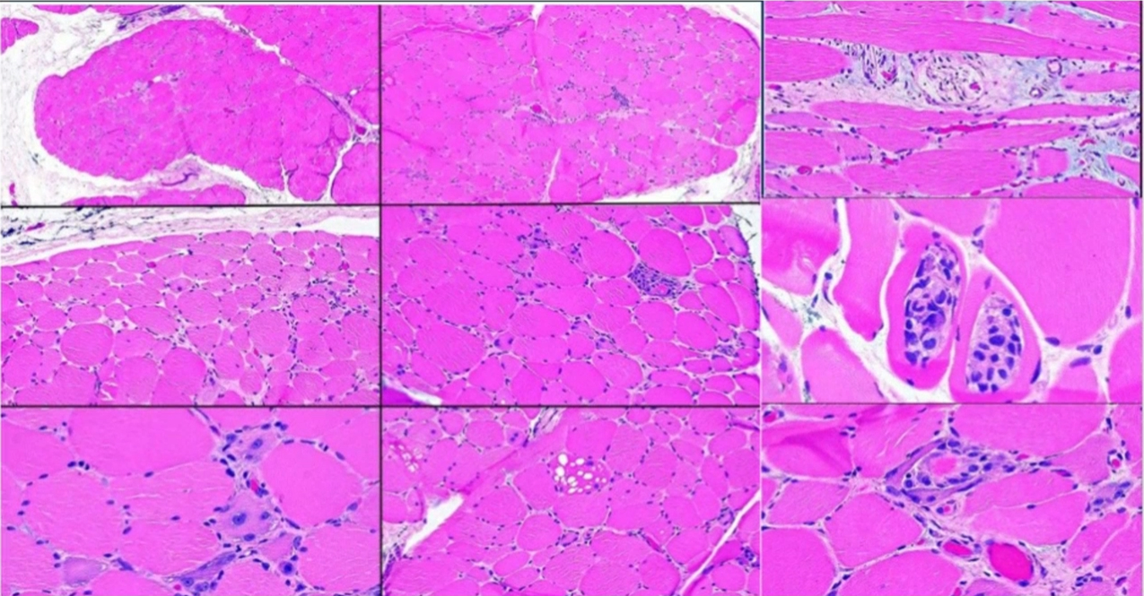
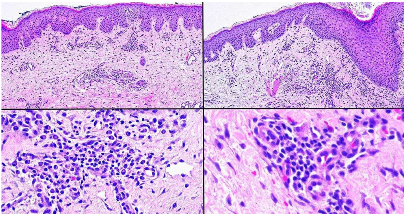
Case Description: A 68-year-old man with chronic obstructive pulmonary disease and alcohol use disorder presented with one month of progressive proximal muscle weakness, papular rash with areas of erythema and healing ulcers over the trunk and extremities, and dysphagia. During evaluation, he developed CHB with bradycardia (heart rate 20-30), requiring emergent transvenous pacing. Shortly after placement, he recovered to stable 1:1 atrioventricular conduction with a right bundle branch block and a left anterior fascicular block, without recurrence or further need for pacing. Echocardiography showed mildly reduced ejection fraction; coronary angiography was non-obstructive. Cardiac MRI revealed normal ventricular morphology with diffusely elevated T1 values, mildly increased T2 signal in the septum, and a mildly elevated extracellular volume—findings consistent with diffuse myocardial inflammation (Figure 1). Laboratory tests revealed troponin 114 ng/L, aldolase 176 U/L, creatine kinase 9,916 U/L, C-reactive protein 11 mg/dL, and anti-nuclear antibody 1:320 (centromere pattern); myositis panel was positive for anti-NXP-2 antibodies. Electromyography confirmed myopathy. Muscle biopsy revealed chronic active necrotizing myopathy with perifascicular atrophy (Figure 2); skin biopsy showed leukocytoclastic vasculitis (Figure 3). High-dose steroids were initiated and given the uncertain natural history of CHB in this rare subset, a shared decision was made to implant a leadless Medtronic Micra™ AV pacemaker. Further abdominal imaging revealed a small pancreatic head lesion; outpatient malignancy workup is ongoing.
Discussion: This first documented case of CHB in anti-NXP-2 DM suggests a rare and underrecognized cardiac manifestation of this antibody subset. It supports prior histopathologic evidence of conduction system inflammation in inflammatory myopathies and underscores the importance of cardiac surveillance and multidisciplinary care. Further studies are needed to define the prevalence and clinical impact of cardiac involvement across DM serologic subsets.
  • Ahmad, Rimsha  ( Westchester Medical Center , Valhalla , New York , United States )
  • Aglan, Amro  ( Westchester Medical Center , Elmsford , New York , United States )
  • Michaud, Liana  ( Westchester Medical Center , Valhalla , New York , United States )
  • Iwai, Sei  ( WESTCHESTER MEDICAL CENTER , Chappaqua , New York , United States )
  • Fuisz, Anthon  ( WEST CHESTER MEDICAL CENTER , Valhalla , New York , United States )
  • Ranjan, Pragya  ( Westchester Medical Center , NY , New York , United States )
  • Pan, Stephen  ( Westchester Medical Center , Valhalla , New York , United States )
  • Author Disclosures:
    Rimsha Ahmad: DO NOT have relevant financial relationships | Amro Aglan: DO NOT have relevant financial relationships | Liana Michaud: DO NOT have relevant financial relationships | Sei Iwai: No Answer | Anthon Fuisz: No Answer | Pragya Ranjan: No Answer | Stephen Pan: DO have relevant financial relationships ; Consultant:Pfizer:Active (exists now) ; Consultant:BridgeBio:Active (exists now) ; Speaker:Astra Zeneca:Active (exists now) ; Speaker:Alnylam:Active (exists now)
Meeting Info:

Scientific Sessions 2025

2025

New Orleans, Louisiana

Session Info:

Inflammation as a Driver of Arrhythmic Risk: Pathophysiology and Therapeutic Implications

Saturday, 11/08/2025 , 10:45AM - 12:00PM

Moderated Digital Poster Session

More abstracts on this topic:
Intermittent Complete Heart Block as a Manifestation of Noncompaction Cardiomyopathy in a Young Adult

Haque Mashkurul, Larson Aubriannah, Sharma Vikram

Clinical impact of new severe tricuspid regurgitation following device lead extraction

Arunachalam Karikalan Suganya, M Ezzedine Fatima, Desimone Christopher, Sugrue Alan, Padang Ratnasari, El Masry Hicham, Lee Justin, Deshmukh Abhishek, O'shea Michael, Vemulapalli Hema Srikanth, Mulpuru Siva, Killu Ammar, Siontis Konstantinos, Kowlgi Gurukripa, Cha Yong, Madhavan Malini

More abstracts from these authors:
Impact of Timing of Atrial Fibrillation Ablation on Outcomes in Patients with HFpEF and HFrEF

Eisa Mahmoud, Elfert Khaled, Shadi Mahmoud, Rao Mohan, Lee Justin, Ul Abideen Asad Zain, Del-carpio Munoz Freddy, Siontis Konstantinos, Link Mark, Deshmukh Abhishek, Desimone Christopher, Elbenawi Hossam, Iftikhar Momina, Elshaer Ahmed, Almaadawy Omar, Eltony Muhammad, Aglan Amro, Ahmed Mahmoud, Mohamed Kareem

Systematic Review and Meta-Analysis on CardioMEMS for Enhanced Heart Failure Management: Examining Randomized Controlled Trials and Observational Studies

Weldehana Amha, Tessema Abel, Fentie Meseker, Zewde Samrawit, Yeneneh Beeletsega, Siraw Bekure, Fuisz Anthon

You have to be authorized to contact abstract author. Please, Login
Not Available