Logo

American Heart Association

  45
  0


Final ID: MP87

Primary Cardiac Synovial Sarcoma arising from the Right Ventricle

Abstract Body (Do not enter title and authors here): Introduction:
Primary cardiac synovial sarcoma (PCSS) is an extremely rare cardiac tumor, representing less than 1% of all primary cardiac tumors and approximately 5% of cardiac sarcomas.

Case Report:
55-year-old male with a past medical history of hypertension, hyperlipidemia, autism spectrum disorder presented to the emergency department for evaluation of progressive dyspnea on exertion. It was not associated with chest pain, fevers, chills, cough, lower extremity edema, orthopnea, paroxysmal nocturnal dyspnea or night sweats.

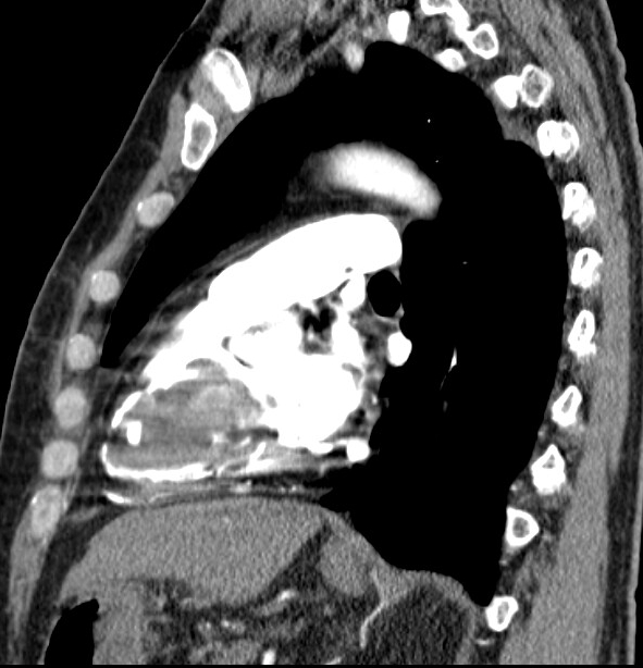
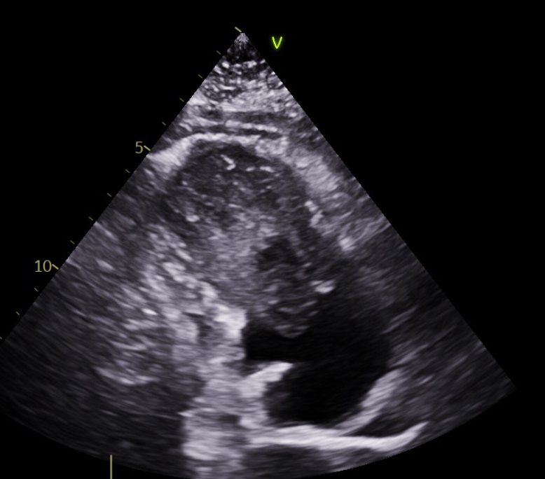
An electrocardiogram showed normal sinus rhythm with nonspecific T-wave changes. His blood pressure was normal. Initial blood work showed mild hyperbilirubinemia, thrombocytopenia, elevated BNP and D-dimer. A CT angiogram of pulmonary artery showed a 7.5 x 4.6 cm mass arising from the right ventricle (RV). A transthoracic echocardiogram (TTE) showed right atrial (RA) and RV dilation with a large mobile heterogeneous mass taking up most of the ventricular cavity and prolapsing into the right atrium during systole, obstructing flow through the tricuspid valve with 45% of Left ventricular ejection fraction (LVEF). A cardiac MRI confirmed heterogenous RV mass with late gadolinium enhancement, attached to inferior wall of the RV causing significant compromisation RV function.

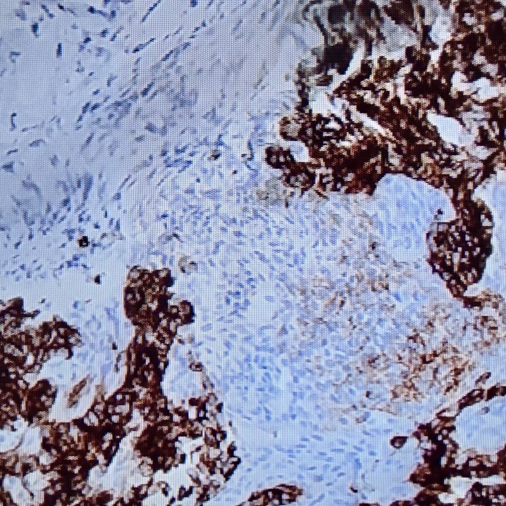
Patient underwent a TTE guided endomyocardial biopsy which confirmed diagnosis of biphasic synovial sarcoma with SS18 rearrangement. The patient was started on doxorubicin and ifosfamide. However, he had adverse reaction from ifosfamide. PET scan did not show any evidence of local or distant metabolically active metastasis. At this point patient’s liver function test has improved. After multidisciplinary discussion patient was planned to continue doxorubicin therapy as an outpatient pending final surgical decision after recovery from acute rehabilitation. RV mass reduced in size on subsequent TTE. Patient is currently under evaluation of surgical resection or advance therapy.

Discussion:
Due to the rarity of PCSS, there are currently no established guidelines for its standard management. This case highlights the safety and feasibility of performing a TTE guided endomyocardial biopsy of a RV mass. Additionally, it also highlights efficacy of combining neo-adjunctive therapy to reduce the tumor burden in hemodynamically stable patients. This strategy may improve the likelihood of successful surgical resection and help stabilize patients for subsequent advanced therapies.
  • Patel, Tirth  ( Jefferson Health , Philadelphia , Pennsylvania , United States )
  • Muhammadzai, Hamza  ( Jefferson Health , Philadelphia , Pennsylvania , United States )
  • Storozynsky, Eugene  ( Jefferson Health , Philadelphia , Pennsylvania , United States )
  • Author Disclosures:
    Tirth PATEL: DO NOT have relevant financial relationships | Hamza Muhammadzai: DO NOT have relevant financial relationships | Eugene Storozynsky: No Answer
Meeting Info:

Scientific Sessions 2025

2025

New Orleans, Louisiana

Session Info:

Clinical Case: Cardio-Onc

Saturday, 11/08/2025 , 09:15AM - 10:25AM

Moderated Digital Poster Session

More abstracts on this topic:
A Meta-analysis of the Right Ventricle Changes in Cancer Therapy-Induced Cardiotoxicity - The Forgotten Ventricle in Cardio-Oncology

De Oliveira Fischer Bacca Caroline, Huntermann Ramon, Gomes Rodrigo, Alexandrino Francisco, Yoshie Sato Mariane, De Sant Anna Melo Edielle

A Case of Concomitant Wild-Type Transthyretin and Systemic Light Chain Amyloidosis Involving Separate Organs

Chiu Leonard, Afrough Aimaz, Nadeem Urooba, Jebakumar Deborah, Grodin Justin

You have to be authorized to contact abstract author. Please, Login
Not Available