Logo

American Heart Association

  54
  0


Final ID: MP1902

Navigating Dual Threats: A Case of Left Ventricular Thrombus and Acute Ischemic Stroke

Abstract Body (Do not enter title and authors here): Background: Left ventricular thrombus (LVT) is a known and serious complication of myocardial infarction (MI) and cardiomyopathy, associated with systemic embolism including stroke. The standard management includes anticoagulation (AC) to prevent thromboembolic complications. However, when a patient simultaneously presents with an acute ischemic stroke, initiating AC poses a significant clinical dilemma due to the potential for hemorrhagic conversion (HC).
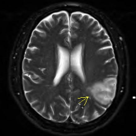
Case: A 56-year-old male with type 2 diabetes, presented with altered mental status, speech difficulty, and slurred speech. Vital signs were stable on admission. Labs showed hyperglycemia and elevated high-sensitivity troponin (peak: 3359 ng/L). EKG revealed sinus tachycardia at 109 bpm, T wave inversions in Leads 3, avF and inferior Q waves. Imaging consistent with an acute infarction in the posterior left MCA territory without hemorrhage. Transthoracic echocardiography demonstrated severely reduced ejection fraction (25–30%) with regional wall motion abnormalities and a well-defined apical thrombus.
Cardiology diagnosed non-ST elevation MI with decompensated heart failure and LVT. Heparin infusion was started and was closely monitored due to very high risk of HC. Neurological status remained stable on heparin and then transitioned to apixaban prior to discharge. The patient remained neurologically stable and discharged with plans for outpatient coronary angiography and follow-up with neurology and cardiology.
Methods: Case report highlighting complexities of balancing ischemic prevention and bleeding risk in concurrent LVT and middle cerebral artery infarct.
Results: This case required balancing the high embolic risk of untreated LVT against the risk of HC of a large-vessel stroke. The team employed a multidisciplinary approach involving cardiology, neurology, and critical care to guide timing and selection of AC. Heparin used initially for its short half-life and reversibility, then transitioned to apixaban for long-term management.
Conclusion: In patients with concurrent LVT and acute ischemic stroke, AC timing must be cautiously individualized. This case supports a multidisciplinary, stepwise approach—delaying initiation during the highest risk period, using short-acting agents first, and considering direct oral AC's when clinically appropriate. As evidence for DOAC use in LVT continues to evolve, this case adds to the growing support for their safety and efficacy in select high-risk patients.
  • Vemuri, Sravan  ( St. Agnes Medical Center , Clovis , California , United States )
  • Shahzad, Ayesha  ( St. Agnes Medical Center , Clovis , California , United States )
  • Boparai, Sukhman  ( St. Agnes Medical Center , Clovis , California , United States )
  • Sanam, Kumar  ( St. Agnes Medical Center , Clovis , California , United States )
  • Author Disclosures:
    Sravan Vemuri: DO NOT have relevant financial relationships | Ayesha Shahzad: DO NOT have relevant financial relationships | Sukhman Boparai: No Answer | Kumar Sanam: No Answer
Meeting Info:

Scientific Sessions 2025

2025

New Orleans, Louisiana

Session Info:

Clinical Case: Critical Care Cardiology

Monday, 11/10/2025 , 09:15AM - 10:25AM

Moderated Digital Poster Session

More abstracts on this topic:
A Retrospective Analysis of the Association of Rehab Time on Discharge Disposition and Length of Stay in Hospitalized Patients with Ischemic Stroke or Intracerebral Hemorrhage

Eperjesi Sarah, Yutrzenka Kayla, Marginean Horia, Crawford Erin, Lesko Alexandra, Clark Diane

Anticoagulation versus Antiplatelets Across Subgroups of Embolic Stroke of Undetermined Source: A Meta-Analysis of Seven Randomized Controlled Trials

Ghannam Malik, Elkind Mitchell, Tirschwell David, Poli Sven, Kamel Hooman, Yaghi Shadi, Al-qudah Abdullah, Alshaer Qasem, Kronmal Richard, Ntaios George, Longstreth W, Furie Karen, Saver Jeffrey, Kasner Scott

You have to be authorized to contact abstract author. Please, Login
Not Available