Logo

American Heart Association

  64
  0


Final ID: MP1385

Unmasking an Inferior Sinus Venosus Defect Following Mitral Valve Surgery: A Rare Cause of Postoperative Hypoxemia

Abstract Body (Do not enter title and authors here): Case Presentation:
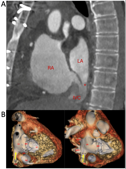
A 67-year-old woman with history of remote surgical atrial septal defect (ASD) repair in childhood and severe mitral regurgitation presented for surgical mitral valve (MV) repair. Pre-operative transesophageal echocardiography (TEE) revealed flail P2 scallop of the MV and no evidence of intracardiac shunt. She underwent redo sternotomy with chordal-sparing bioprosthetic MV replacement on cardiopulmonary bypass (CPB) via femoral cannulation. After coming off CPB, she experienced hypoxemia despite supplemental oxygen. Chest X-ray revealed no acute pulmonary pathology. Initial transthoracic echocardiogram (TTE) showed normal biventricular function, well-seated and normal position and function of the mitral bioprosthesis. TEE showed no evidence of transseptal shunting but revealed a communication between the inferior vena cava (IVC) and left atrium (LA) with continuous right to left shunting (Fig 1). CT angiography of the chest demonstrated an inferoposterior interatrial communication associated with an overriding IVC, consistent with an inferior sinus venosus defect (ISVD) (Fig 2a).
Review of historical records from her childhood surgery revealed that she was born with an interatrial communication and anomalous right pulmonary venous drainage into the right atrium – likely ISVD – that was repaired with primary suture closure of the defect that also re-routed the pulmonary venous drainage into the LA. Based on this history and CT findings, trauma from the IVC cannula likely caused reopening of the ISVD at the suture site, creating a right-to-left shunt at the precise location of the IVC override into the LA (Fig 2b).
Given patient preference to avoid redo sternotomy, she underwent percutaneous transcatheter closure of the defect using a 12 mm Amplatzer vascular plug (AVP II) with immediate resolution of the hypoxemia following implantation (Fig 3). She returned to her functional baseline with preserved exercise tolerance on follow up with no recurrence of hypoxemia.

Discussion:
This case highlights the importance of extensive record review and the role of cross-sectional imaging in evaluating cardiac anatomy prior to surgical intervention in a patient with a history of congenital heart disease. Moreover, a high index of suspicion is needed to diagnose ISVD, which may not be seen on TTE or routine TEE views.
  • Young, Kirsten  ( Cedars Sinai Medical Center , Los Angeles , California , United States )
  • Shan, Rongzi  ( Cedars Sinai Medical Center , Los Angeles , California , United States )
  • Venkatesh, Prashanth  ( Cedars Sinai Medical Center , Los Angeles , California , United States )
  • Author Disclosures:
    Kirsten Young: DO NOT have relevant financial relationships | Rongzi Shan: DO NOT have relevant financial relationships | Prashanth Venkatesh: No Answer
Meeting Info:

Scientific Sessions 2025

2025

New Orleans, Louisiana

Session Info:

Clinical Case: Congenital and Inherited Heart Disease

Sunday, 11/09/2025 , 09:15AM - 10:10AM

Moderated Digital Poster Session

More abstracts on this topic:
Histone Modifications are Associated with Altered Lipid Metabolism in the Cerebral Cortex of Neonatal Swine Following Uncomplicated Cardiopulmonary Bypass

Smood Benjamin, Catalano Michael, Melchior Richard, Chen Jonathan, Gaynor James, Kilbaugh Todd, Mavroudis Constantine, Aronowitz Danielle, Yoo Edwin, Sidoli Simone, Shoffler Clarissa, Abbasian Dina, Petucci Chris, Arany Zoltan, Ko Tiffany

Adult Congenital Heart Disease and Atrial Fibrillation: A Double Burden on Cardiovascular Outcomes

Menassa Yara, Nahle Tarek, Lim Chanho, Hassan Abboud, Liu Yingshuo, Assaf Ala', El Hajjar Abdel Hadi, Noujaim Charbel, Dagher Lilas, Mekhael Mario, Rao Swati, Bsoul Mayana, Kreidieh Omar, Pandey Amitabh, Borgi Jamil, Marrouche Nassir, Atasi Mohammad Montaser, Jia Yishi, Feng Han, Abou Khalil Michel, Massad Christian, Bidaoui Ghassan, Younes Hadi

More abstracts from these authors:
Electrocardiographic Right Ventricular Hypertrophy Enhances Contemporary Risk Stratification in Predicting All-Cause Mortality in Mitral Transcatheter Edge-to-Edge Repair

Young Kirsten, Skaf Sabah, Makar Moody, Chakravarty Tarun, Makkar Raj, Mirocha James, Siegel Robert, Chonde Meshe, Chyu Kuang-yuh, Wangmang Felix, Richards Donald, Dhillon Manvir, Torbati Tina, Shechter Alon, Kaewkes Danon, Patel Vivek, Koren Ofir

Looking Beyond Respirophasic Ventricular Interdependence: A Case Report of Constrictive Pericarditis Masquerading as Cirrhosis

Shan Rongzi, Share Michael, Ayoub Walid, Lee Andrew, Kwan Alan

You have to be authorized to contact abstract author. Please, Login
Not Available