Logo

American Heart Association

  86
  0


Final ID: Sa1012

Delayed Post-Infarction Ventricular Septal Defect: A Case Report Highlighting Diagnostic Challenges and Choice of Surgical Management

Abstract Body (Do not enter title and authors here): Background: Post-Myocardial Infarction Ventricular Septal Defect (PIVSD) is a rare and life-threatening mechanical complication following acute myocardial infarction (MI). It presents with symptoms ranging from sudden dyspnea, chest pain, and hemodynamic instability to cardiogenic shock. This case report highlights the importance of early identification and management of PIVSD.
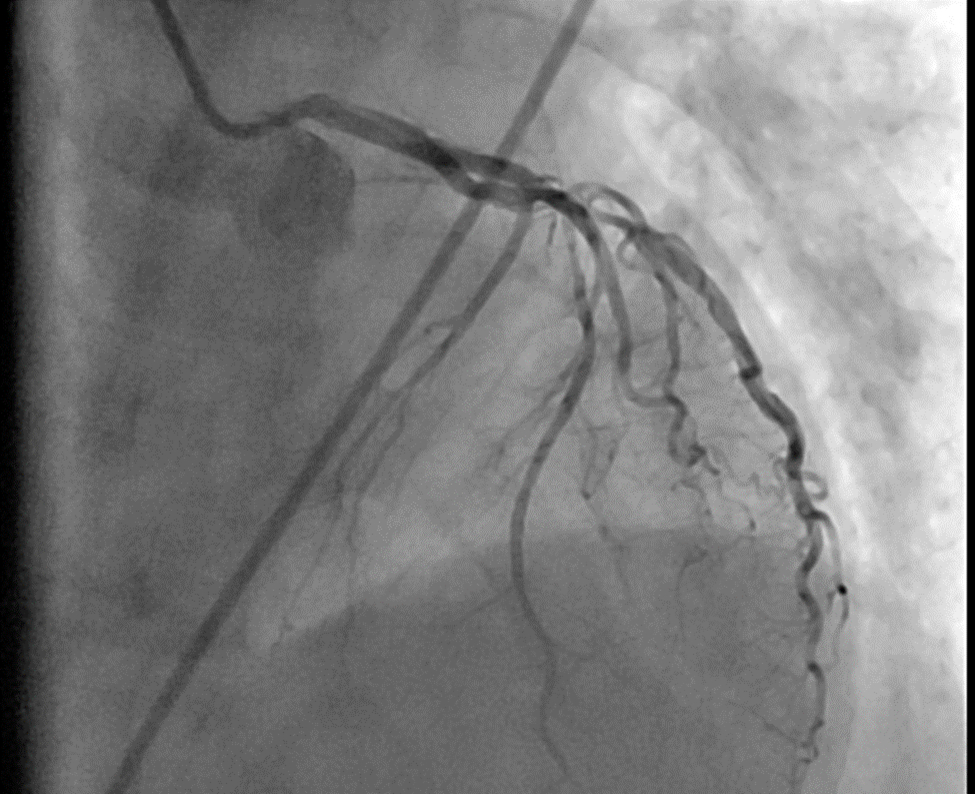
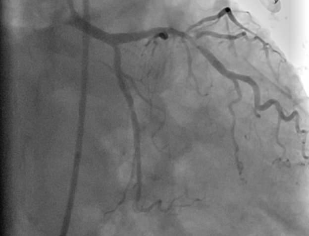
Case Summary: This case report presents the case of a 70-year-old female who presented to a community hospital in Pakistan in January 2024 with chest pain and progressive dyspnea that started seven days after an MI diagnosis. Her echocardiogram revealed an apical VSD, while coronary angiography confirmed dual-vessel coronary artery disease. Subsequently, she underwent elective subacute surgical repair of a 3x3 cm apical VSD along with coronary artery bypass grafting (CABG) and intra-aortic balloon pump placement. Postoperatively, she developed a ventricular thrombus, which was managed with anticoagulation. Follow-up echocardiography demonstrated marked clinical improvement.
Conclusion: This case highlights the diagnostic challenges of PIVSD and emphasizes the importance of considering early surgical intervention for improved outcomes, while acknowledging the role of delayed repair in achieving better scar tissue management and a higher successful surgery rate. Moreover, sudden hemodynamic compromise following MI warrants suspicion of PIVSD.
  • Naseer, Javeria  ( Tahir Heart Institute , Rabwah , Punjab , Pakistan )
  • Haiy, Ata Ul  ( King Edward Medical University , Lahore , Pakistan )
  • Anns, Khizer  ( Aga Khan University , Karachi , Sindh , Pakistan )
  • Mumtaz, Mubashir  ( UPMC Harrisburg , Harrisburg , Pennsylvania , United States )
  • Nuri, Muhammad  ( Tahir Heart Institute , Rabwah , Punjab , Pakistan )
  • Author Disclosures:
    Javeria Naseer: DO NOT have relevant financial relationships | Ata Ul Haiy: DO NOT have relevant financial relationships | Khizer Anns: No Answer | Mubashir Mumtaz: No Answer | Muhammad Nuri: No Answer
Meeting Info:

Scientific Sessions 2025

2025

New Orleans, Louisiana

Session Info:

Stories and Science: The Art and Evidence of Critical Care Cardiology

Saturday, 11/08/2025 , 10:30AM - 11:30AM

Abstract Poster Board Session

More abstracts on this topic:
A 50% or Greater Reduction in LDL-Cholesterol Is Associated with Improved Long-Term Outcomes and Lower Health Care Utilization After Myocardial Infarction - a SWEDEHEART study

Reitan Christian, Watanabe Alexandre, Bash Lori, Galvain Thibaut, Arnet Urs, Jernberg Tomas

A Bridge from Sweet to Sour: A Case of Recurrent Myocardial Stunning in Diabetic Ketoacidosis

Satish Vikyath, Pargaonkar Sumant, Slipczuk Leandro, Schenone Aldo, Maliha Maisha, Chi Kuan Yu, Sunil Kumar Sriram, Borkowski Pawel, Vyas Rhea, Rodriguez Szaszdi David Jose Javier, Kharawala Amrin, Seo Jiyoung

You have to be authorized to contact abstract author. Please, Login
Not Available