Logo

American Heart Association

  78
  0


Final ID: MP1943

Paradoxical Embolism from a Port-a-Catheter-Associated Thrombus Striking a Patent Foramen Ovale: A Rare Cause of TIA

Abstract Body (Do not enter title and authors here): Background:
Paradoxical embolism through a patent foramen ovale (PFO) is a recognized cause of cryptogenic stroke and transient ischemic attacks (TIAs), especially in patients with intracardiac right-to-left shunting. Indwelling central venous catheters may lead to thrombus formation, but direct embolic events from catheter-associated thrombi interacting with a PFO are exceedingly rare and underrecognized.
Case:
A 39-year-old woman with a history of thalassemia, anemia, agoraphobia, anxiety, gastric bypass surgery, liver dysfunction, and multiple prior C-sections, a port-a-cath for recurrent blood transfusions presented with acute altered mental status, confusion, agitation, and restlessness. CT head showed subtle findings concerning for infarction in the right temporal and parietal lobes, although MRI brain was unremarkable. Her neurologic status returned to baseline. A transthoracic echocardiogram (TTE) with bubble study revealed right-to-left atrial shunting, raising suspicion for PFO. She was discharged with cardiology and neurology follow-up.
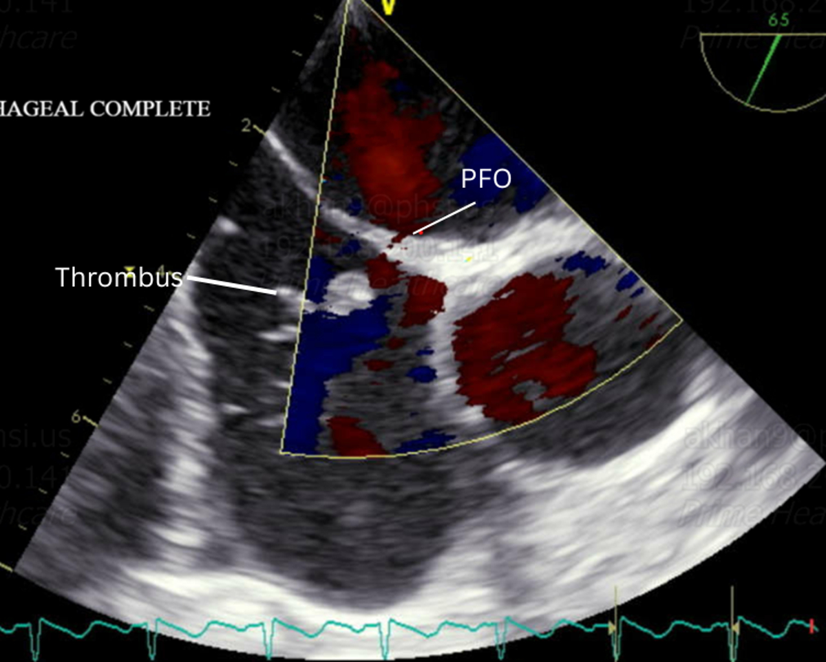
At follow-up, she remained emotionally distressed and convinced she had suffered a stroke. Repeat TTE raised concern for an intracardiac mass. A transesophageal echocardiogram (TEE) revealed a port-a-catheter tip in the right atrium with a large, mobile thrombus attached to its distal end. A small PFO with intermittent right-to-left shunting was also identified. The thrombus moved like a pendulum, intermittently striking the interatrial septum at the PFO. It is likely that embolization of a portion of the thrombus through the PFO led to a TIA. Interventional Radiology administered catheter-directed tPA to facilitate clot dissolution.
Discussion:
This case highlights a rare but clinically significant mechanism of paradoxical embolism originating from a central venous catheter, diagnosed through high clinical suspicion and confirmatory imaging.
Conclusion:
In patients with neurologic symptoms and indwelling catheters, paradoxical embolism should be considered. TEE plays a vital role in detecting thrombi and intracardiac shunts. Early recognition and targeted therapy may prevent recurrence of embolic events.
  • Khan, Abdul Allam  ( Landmark Medical Center , Woonsocket , Rhode Island , United States )
  • Price, Benjamin  ( Landmark Medical Center , Woonsocket , Rhode Island , United States )
  • James, Alex  ( Landmark Medical Center , Woonsocket , Rhode Island , United States )
  • Thukral, Jatin  ( Landmark Medical Center, Woonsocket , Cumberland , Rhode Island , United States )
  • Elgabry, Ibrahim  ( Landmark Medical Center , Woonsocket , Rhode Island , United States )
  • Author Disclosures:
    Abdul Allam Khan: DO NOT have relevant financial relationships | Benjamin Price: No Answer | Alex James: No Answer | Jatin Thukral: DO NOT have relevant financial relationships | IBRAHIM ELGABRY: No Answer
Meeting Info:

Scientific Sessions 2025

2025

New Orleans, Louisiana

Session Info:

Layers of Complexity: Managing Pericardial Infection, Hemorrhage and Inflammation

Monday, 11/10/2025 , 10:45AM - 11:55AM

Moderated Digital Poster Session

More abstracts on this topic:
Acute Right Ventricular Systolic Dysfunction Diagnosed by Transesophageal Echocardiography in Patients Post-Cardiac Arrest and Undifferentiated Shock: The Role of Clot in Transit Detection

Dieiev Vladyslav, Salinas Pedro

Anticoagulation versus Antiplatelets Across Subgroups of Embolic Stroke of Undetermined Source: A Meta-Analysis of Seven Randomized Controlled Trials

Ghannam Malik, Elkind Mitchell, Tirschwell David, Poli Sven, Kamel Hooman, Yaghi Shadi, Al-qudah Abdullah, Alshaer Qasem, Kronmal Richard, Ntaios George, Longstreth W, Furie Karen, Saver Jeffrey, Kasner Scott

More abstracts from these authors:
A Perfect Storm: Simultaneous Pulmonary Embolism, STEMI, and Stroke via Paradoxical Embolism in a Hospitalized Patient on DVT Prophylaxis

Khan Abdul Allam, Thukral Jatin, Elgabry Ibrahim, Lamp Garron

Racial Disparities in Major Adverse Cardiovascular Events Among Dementia Patients: A National Inpatient Sample Analysis (2016-2021)

Thukral Jatin, Agrawal Siddharth, Kaur Harbit, Maheta Darshilkumar, Thukral Nikhil, Alkasabrah Omar, Joshi Dhruvi, Sindhwani Ninaad, Moudgil Pyush

You have to be authorized to contact abstract author. Please, Login
Not Available