Logo

American Heart Association

  63
  0


Final ID: MP2119

Incidental Detection and Coil Embolization of a Calcified Left Main Coronary Aneurysm with Severe Proximal LAD Compression Using Coronary CTA

Abstract Body (Do not enter title and authors here): Introduction:
Left main coronary artery (LMCA) aneurysms are exceedingly rare, accounting for only 0.1% of all coronary anomalies. Their detection is often missed on conventional ischemia evaluation. This case illustrates how coronary CT angiography (CTA) can identify complex coronary pathology, including aneurysms and mechanical compression of adjacent vessels. Large LMCA aneurysms pose significant clinical challenges due to their potential for thromboembolism, rupture, and compression of adjacent coronary vessels. Early identification through advanced imaging modalities is crucial for optimal patient outcomes and procedural planning.
Description of Case:
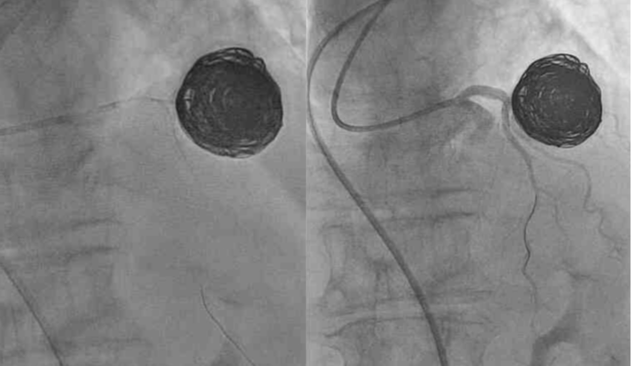
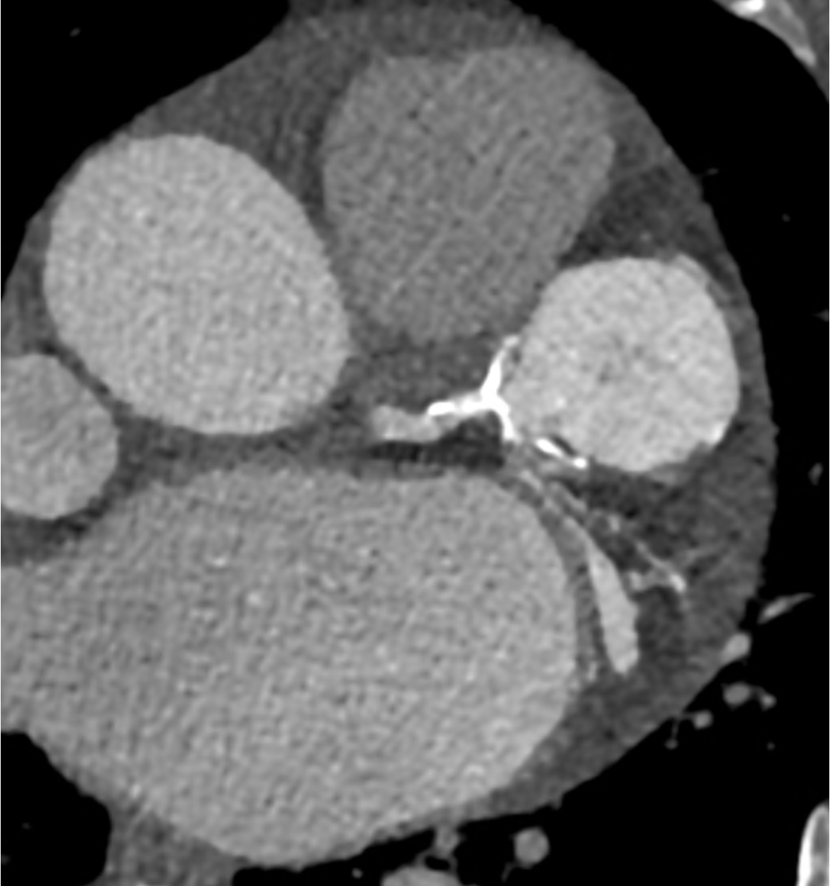
A 78-year female with a history of hypertension, hyperlipidemia, HIV, and rheumatoid arthritis presented with atypical chest pain. Coronary CTA was performed, revealing an incidental calcified saccular aneurysm, with a size of 33.9 x 33.4 mm, arising from the distal LMCA with intra-aneurysmal calcifications and thrombus (Figure 1). The aneurysm caused mild luminal compression of the proximal LAD (p-LAD). Coronary arteries were non-obstructive. Invasive coronary angiogram was done and the patient underwent coiling embolization to exclude the aneurysm with no periprocedural complications (Figure 2). The patient tolerated the procedure and is planned to have both clinical and non-invasive imaging follow-up. In this patient, CTA enabled prompt diagnosis and guided further intervention.
Discussion:
This case illustrates coronary CTA's paradigmatic role transcending conventional ischemia-focused diagnostics. Contemporary evidence demonstrates CTA's superior anatomical characterization capabilities, enabling comprehensive assessment of complex coronary pathology including aneurysmal morphology, calcification burden, and spatial relationships with adjacent structures The three-dimensional reconstructive capacity facilitates precise procedural planning by quantifying aneurysm dimensions, determining optimal coil sizing, and predicting potential procedural complications. This case underscores CTA's evolving utility in guiding interventional decision-making for rare coronary anomalies, demonstrating enhanced diagnostic precision and therapeutic stratification beyond traditional functional assessment paradigms.
  • Narashim, Aditya  ( LUNDQUIST INSTITUTE , Torrance , California , United States )
  • Iskander, Beshoy  ( LUNDQUIST INSTITUTE , Torrance , California , United States )
  • Alapati, Prakhyat  ( LUNDQUIST INSTITUTE , Torrance , California , United States )
  • Ichikawa, Keishi  ( LUNDQUIST INSTITUTE , Torrance , California , United States )
  • Krishnan, Srikanth  ( LUNDQUIST INSTITUTE , Torrance , California , United States )
  • Budoff, Matthew  ( LUNDQUIST INSTITUTE , Torrance , California , United States )
  • Author Disclosures:
    Aditya Narashim: DO NOT have relevant financial relationships | Beshoy Iskander: No Answer | Prakhyat Alapati: DO NOT have relevant financial relationships | Keishi Ichikawa: No Answer | Srikanth Krishnan: DO have relevant financial relationships ; Consultant:HeartFlow:Active (exists now) | Matthew Budoff: DO have relevant financial relationships ; Researcher:Lilly:Active (exists now) ; Speaker:Boehringer-Ingleheim:Active (exists now) ; Speaker:Lilly:Active (exists now) ; Speaker:Novo Nordisk:Active (exists now) ; Researcher:Novartis:Active (exists now) ; Researcher:Amgen:Active (exists now)
Meeting Info:

Scientific Sessions 2025

2025

New Orleans, Louisiana

Session Info:

Non-Invasive Imaging of the Coronary Arteries: Plaque, Stenosis and Risk

Monday, 11/10/2025 , 09:15AM - 10:25AM

Moderated Digital Poster Session

More abstracts on this topic:
A Prescription Trend Analysis of Antihypertensive Pharmacotherapy across Different Specialties in India

Vishavadia Krunal, Solanki Sandip, Kulkarni Girish, Prajapati Hiren

A Machine Learning-Derived Socio-Environmental Risk Score More Accurately Predicts Cardiovascular Events and Better Addresses Health Inequities than Social Deprivation Index

Chen Zhuo, Nasir Khurram, Al-kindi Sadeer, Rajagopalan Sanjay, Ponnana Sai Rahul, Dazard Jean-eudes, Zhang Tong, Dong Weichuan, Okyere Robert, Sirasapalli Santosh, Deo Salil, Khraishah Haitham

More abstracts from these authors:
Progression of Left Atrial Volume Is Associated with Mitral Annular Calcification: Findings from MESA

Iskander Beshoy, Ichikawa Keishi, Kambalapalli Soumya, Punnanithinont Natdanai, Krishnan Srikanth, Roy Sion, Lakshmanan Suvasini, Kinninger April, Budoff Matthew

Atherosclerotic Plaque Progresses Over Time in Healthy Individuals Without MACE, Risk Factors, or Interventions

Aldana Jairo, Kinninger April, Krishnan Srikanth, Ichikawa Keishi, Budoff Matthew, Karlsberg Ronald

You have to be authorized to contact abstract author. Please, Login
Not Available